El objetivo del presente estudio fue evaluar los factores (referidos a la CBCT) que influyen en la toma de decisión en tratamientos para extracción de los terceros molares.
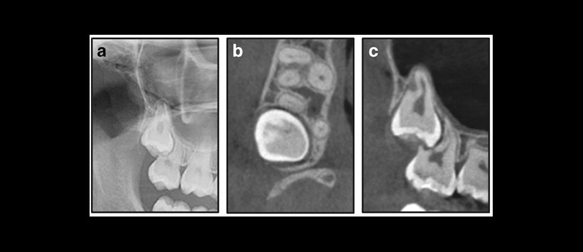
Para lo cual 111 terceros molares impactados, examinados clínicamente (incluyendo una panorámica), en 86 pacientes (edad media 26 años, rango 15-55) fueron remitidos para CBCT bajo sospecha de patología / reabsorción radicular en el segundo molar, según la información de la imagen panorámica. (Figura 1 y Figura 2)
Los siguientes parámetros se evaluaron a partir del archivo del paciente, incluida la radiografía. Imágenes:
(1) angulación del tercer molar
(2) plan de tratamiento inicial basado en el examen clínico y la imagen panorámica
(3) diagnósticos basados en información de CBCT
(4) decisión de tratamiento después de que haya disponible información adicional de CBCT
(5) complicaciones pre / postoperatorias
(6) tratamiento del segundo molar maxilar.
Para cual se obtuvo como resultado: 70 casos (63.1%) fueron sometidos a tratamiento, mientras que 41 (36.9%) no recibieron tratamiento. El cambio en el plan de tratamiento se registró en 65 casos (58,6%) después de CBCT. En 12 casos (10.8%), el tratamiento cambió de la extracción del tercero a la extracción del segundo molar, mientras que 25 (22.5%) fueron programados para remoción en el plan de tratamiento inicial; pero después de CBCT, la decisión no fue para tratar.
Si la resorción externa de la raíz involucraba la pulpa del segundo molar, había Riesgo 17 veces mayor de que se extraiga este diente en lugar del tercer molar
Los hallazgos en CBCT a menudo cambiaron el plan de tratamiento. La reabsorción radicular externa observada en CBCT fue el principal factor decisivo para eliminar el segundo en lugar de la tercera molar.
Equipo Investigación IDM




