Paciente femenina de 32 años de edad acude al instituto de Diagnóstico maxilofacial – IDM (surco) para evaluación imagenológica de terceros molares.
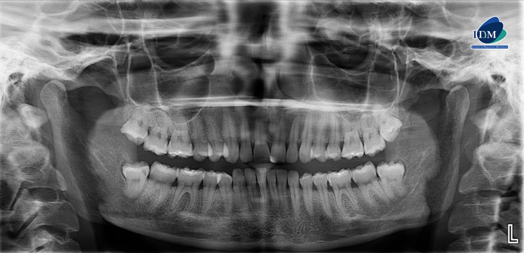
En la radiografía panorámica (Figura 1), se observa pieza 33 con pérdida del lumen del conducto radicular a nivel del tercio medio y apical.
Radiografia Panorámica
A la evaluación de la tomografía volumétrica (cone beam) en los cortes axiales (Figura 2) y transaxiales (Figura 3) se observa la bifurcación del conducto radicular a nivel del tercio medio radicular.
CORTES AXIALES
CORTES TRANSAXIALES
En la reconstrucción 3D se representa la bifurcación radicular de pieza 33 (Figura 4).
RECONSTRUCCIÓN 3D
Conclusión imagenológica:
- Bifurcación radicular de pieza 33
Parafrisis
La anatomía radicular del canino mandibular es con frecuencia configurada por una sola raíz y un conducto radicular. La tomografía computarizada de haz cónico (cone beam) se ha utilizado en el último siglo ampliamente en muchos estudios que investigan la configuración de las raíces y los conductos debido a sus ventajas. Es por ello que se han incrementado notablemente las evidencias que muestran variaciones en su morfología, como la presencia de dos raíces y dos conductos radiculares en caninos mandibulares (1,2).
La prevalencia de dos raíces en caninos mandibulares es del 5,7%, con predilección por el sexo femenino (87,5%), sin embargo, es mucho más raro encontrar esta bifurcación radicular de forma bilateral (1).
La detección de una raíz adicional o de un conducto radicular en caninos mandibulares influye en el éxito del tratamiento del conducto radicular, pero también es crucial en la cirugía periapical, el tratamiento periodontal y el tratamiento de los dientes afectados en ortodoncia. (1).
Bibliografía:
- Piskórz M, Futyma-Gąbka K, Różyło-Kalinowska I. Prevalence of two-rooted and one- rooted mandibular canines with two root canals in Poland, assessed using CBCT: A preliminary study. Dent Med Probl. 2023 Apr-Jun;60(2):233-238. doi: 10.17219/dmp/147758. URL
- Dhuldhoya DN, Singh S, Podar RS, Ramachandran N, Jain R, Bhanushali N. Root canal anatomy of human permanent mandibular incisors and mandibular canines: A systematic review. J Conserv Dent. 2022 May-Jun;25(3):226-240. doi: 10.4103/jcd.jcd_40_22. URL

Dra. Faride Milagros Cornejo Pinto
Especialista en radiología bucal y maxilofacial
Cirujano Dentista especialista en Radiología Bucal y Maxilofacial de la Universidad Peruana Cayetano Heredia. Actualmente miembro del Staff de Radiólogos del Instituto de Diagnostico Maxilofacial - IDM
Más información



