Paciente masculino de 12 años de edad es referido al Instituto de Diagnóstico maxilofacial – IDM para evaluación tomográfica de pieza 4.3, por presentarse ausente clínicamente.
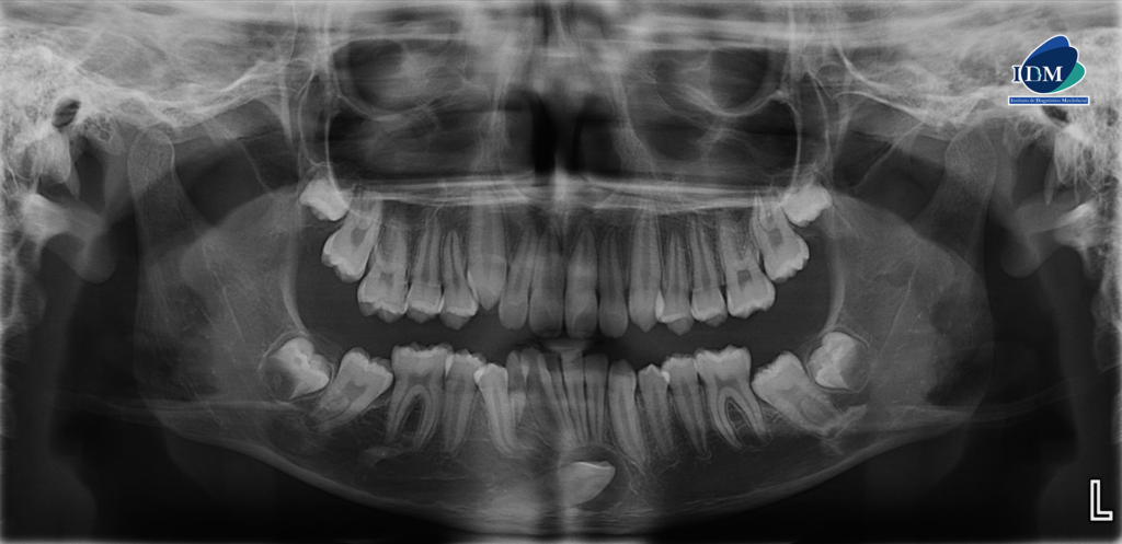
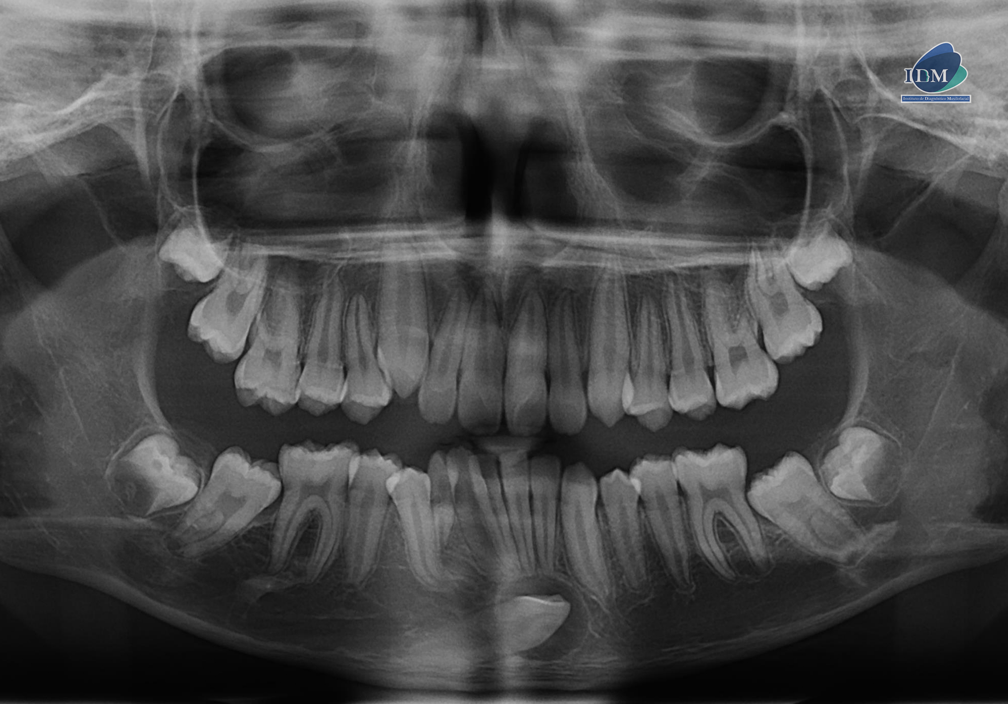
En la radiografía panorámica (Figura 1), se observa pieza 83 en persistencia; pieza 43 retenida, mesioangulada y proyectada en sínfisis mandibular, además se observó una imagen radiolúcida pericoronaria redondeada, de limites definidos y bordes corticalizados. Así mismo la pieza 48 se encontraba en evolución intraósea con presencia de imagen radiolúcida definida ubicada por debajo del limite amelodentinario.
Radiografia Panorámica
A la evaluación de la tomografía volumétrica (cone beam) en los cortes axiales (Figura 2) y transaxiales (Figura 3), se observa pieza 43 retenida, mesioangulada, localizada en sínfisis mandibular, orientada hacia la tabla ósea vestibular y con presencia de imagen isodensa pericoronaria de forma ovalada de limites definidos insertada a nivel de la unión amelocementaria, de dimensión de 9.9 x 12.15 x 13.5 mm que se extiende de mesial de 33 a distal de 42 ocasionando una leve expansión y adelgazamiento de la tabla ósea vestibular. A demás de presentar en la pieza 48 la presencia de imagen hipodensa ovalada localizada por debajo del limite amelodentinario y ubicación central.
En las reconstrucciones 3D se representa la lesión quística pericoronaria de la pieza 43 y la imagen intracoronaria de la pieza 48 (Figura 4 y 5).
CORTES AXIALES
CORTES TRANSAXIALES
RECONSTRUCCIÓN 3D
Conclusión:
- Quiste dentígero asociado a pieza 43. Reabsorción intracoronaria preeruptiva en pieza 48.
Bibliografía:
- Perez A, Lenoir V, Lombardi T. Dentigerous Cysts with Diverse Radiological Presentation Highlighting Diagnostic Challenges. Diagnostics (Basel). 2022 Aug 19;12(8):2006. doi: 10.3390/diagnostics12082006. https://pubmed.ncbi.nlm.nih.gov/36010356/
- Le VNT, Kim JG, Yang YM, Lee DW. Treatment of pre-eruptive intracoronal resorption: A systematic review and case report. J Dent Sci. 2020 Sep;15(3):373-382. doi: 10.1016/j.jds.2020.02.001. https://pubmed.ncbi.nlm.nih.gov/32952895/.

Dra. Faride Milagros Cornejo Pinto
Especialista en radiología bucal y maxilofacial
Cirujano Dentista especialista en Radiología Bucal y Maxilofacial de la Universidad Peruana Cayetano Heredia. Actualmente miembro del Staff de Radiólogos del Instituto de Diagnostico Maxilofacial - IDM
Más información



