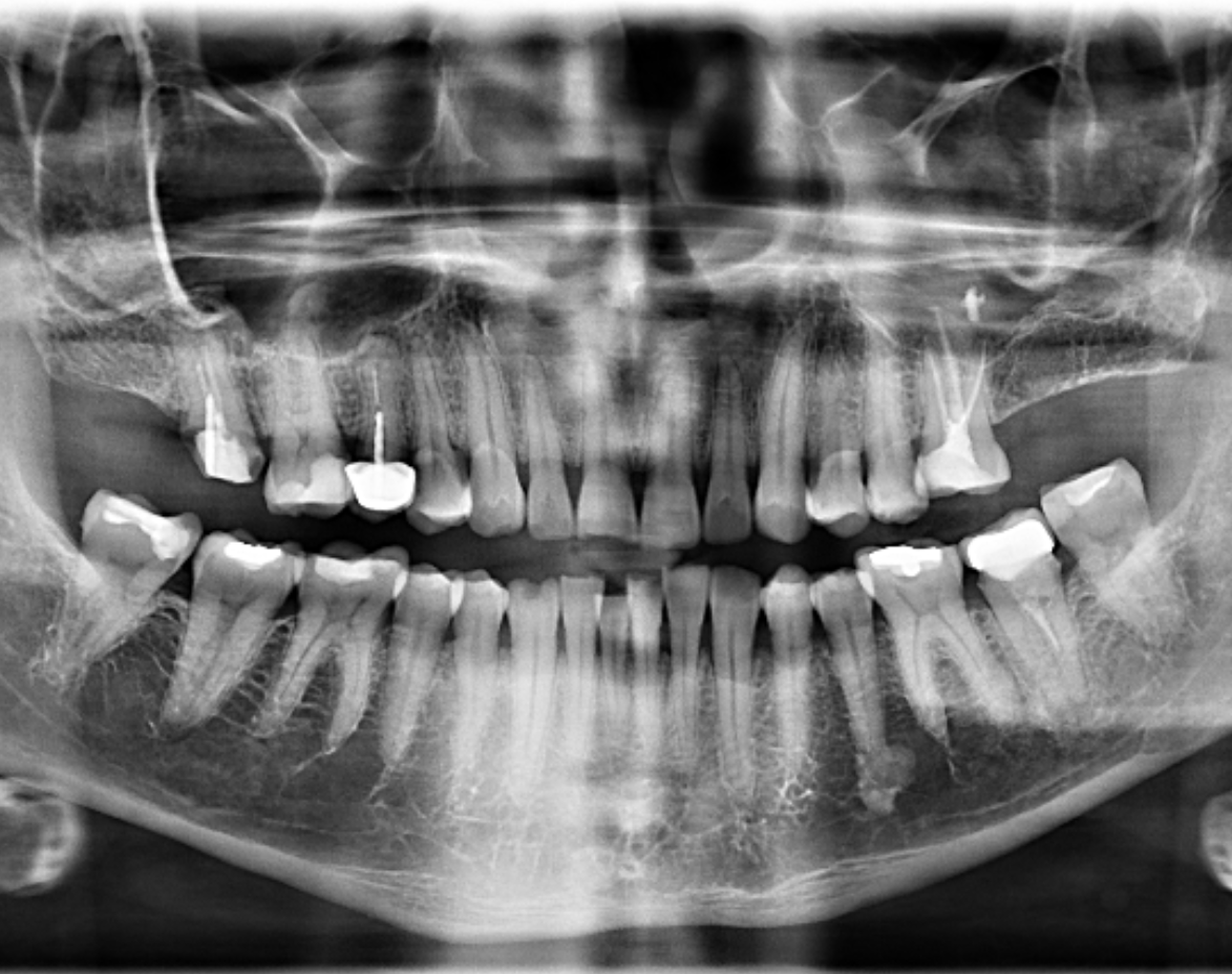
Paciente masculino de 45 años acude para una evaluación general. A la evaluación de la radiografía panorámica (Figura 1) se observa engrosamiento de la mucosa de seno maxilar izquierdo además de una imagen radiopaca proyectada en seno maxilar izquierdo; así mismo en pieza 26 se observa restauración coronaria, sellado cameral y obturación de conductos. A la evaluación de la tomografía volumétrica (cone beam) bimaxilar en los cortes axiales (Figura 2), coronales (Figura 3) y transaxiales (Figura 4) se observa que la pieza 26 presenta obturación de conductos además del engrosamiento de seno maxilar izquierdo e imagen hiperdensa de alta densidad, de
forma irregular, localizada en la mucosa de seno maxilar izquierdo.
CORTES AXIALES
CORTES TRANSAXIALES
CORTES CORONALES
En la reconstrucción 3D se corrobora la presencia de cuerpo extraño localizado en la mucosa de seno maxilar izquierdo (Figura 5).
RECONSTRUCCIÓN 3D
Conclusión imagenológica:
- Sinusitis maxilar en lado izquierdo.
- Presencia de cuerpo extraño en seno maxilar izquierdo.
Paráfrasis:
La presencia de un cuerpo extraño en el seno maxilar puede deberse a causas conocidas o desconocidas, y el paciente puede presentar diversos síntomas o, en algunos casos, permanecer asintomático. Los cuerpos extraños se definen como objetos que pueden ser ingeridos o introducidos al organismo desde el exterior, o incorporados de manera iatrogénica, y que no forman parte de la estructura anatómica normal (1). Los cuerpos extraños más frecuentes en los senos paranasales incluyen raíces dentarias fracturadas, dientes completos, materiales de impresión dental, materiales endodónticos, implantes dentales y, en ocasiones, elementos inusuales como proyectiles o fragmentos de vidrio (1,2).
Los exámenes imagenológicos de rutina son de gran utilidad, ya que permite la detección incidental de estos cuerpos extraños en la región maxilofacial, facilitando un diagnóstico temprano y un abordaje terapéutico oportuno (1).
La presencia de estos cuerpos extraños puede generar sinusitis, infecciones fúngicas, dolor facial y cefaleas, debido a la alteración del mecanismo de depuración mucociliar y a las consiguientes reacciones tisulares (1,2).
Bibliografía:
- Manigandan T, Rajalakshmi Rakshanaa TV, Judith MJ, Seethalakshmi C, Jawahar A, Priscilla Wincy WM. Rare incidental foreign body in the maxillary sinus on routine radiographic examination. Indian J Dent Res. 2023 Jan-Mar;34(1):108-110. doi: 10.4103/ijdr.ijdr_249_22. URL
- Deniz Y, Zengin AZ, Karli R. An unusual foreign body in the maxillary sinus: Dental impression material. Niger J Clin Pract. 2016 Mar-Apr;19(2):298-300. doi: 10.4103/1119-3077.164367. URL

Dra. Faride Milagros Cornejo Pinto
Especialista en radiología bucal y maxilofacial
Cirujano Dentista especialista en Radiología Bucal y Maxilofacial de la Universidad Peruana Cayetano Heredia. Actualmente miembro del Staff de Radiólogos del Instituto de Diagnostico Maxilofacial - IDM
Más información



