Paciente sexo femenino de 55 años acude al Instituto de Diagnóstico por Imágenes para evaluación imagenológica previa a la confección de guía quirúrgica.
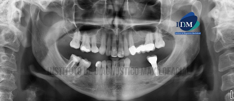
A la evaluación panorámica se aprecia neumatización alveolar de ambos senos maxilares, reabsorción ósea alveolar bimaxilar, edentulo parcial bimaxilar, múltiples restauraciones coronarias, pilares de puente protésico en piezas 23 y 26, implantes con prótesis sobre implante en pieza 37 y finalmente material de obturación de conductos en pieza 48. (Figura 1 )
Sin embargo en la evaluación mediante tomografía volumétrica de haz cónico (Figura 2 y Figura 3) se evidencio, que en ambas zonas parasinfisiarias, la presencia de dos agujeros mentonianos en ambos lados con desembocadura en la tabla ósea vestibular.
En las reconstrucciones 3D (Figura 4, Figura 5 y Figura 6) se pudo evidenciar dichas variantes anatómicas del agujero mentoniano de manera ilustrativa así como el recorrido por parte del nervio dentario inferior.
Conclusión:
- Variante anatómica del agujero mentoniano (Doble)
Paráfrasis:
La presencia de estas variaciones anatómicas relacionadas con el agujero mentoniano ha sido reportada en algunos casos y no es frecuentemente valorada en los procedimientos clínicos. Alteraciones sensoriales, tales como parestesias en el labio inferior o en las mejillas, pueden ocurrir como resultado de la presión en el agujero mentoniano. Estas variaciones anatómicas pueden ser detectadas en la práctica clínica a través de los exámenes de diagnóstico por imágenes.
La tomografía computarizada se ha establecido como una técnica de imagen útil capaz de proporcionar información detallada de las estructuras maxilofaciales, lo que permite una evaluación minuciosa de su topografía y de las variaciones anatómicas, tales como el agujero mentoniano accesorio. El objetivo de este artículo es describir un caso con agujeros mentonianos dobles que solo pudieron ser observados en las imágenes de tomografía computarizada. El uso de la tomografía computarizada de haz cónico se ha incrementado en la odontología, así las variaciones anatómicas que pueden tener influencia sobre el diagnóstico y planificación del tratamiento pueden ser conocidas.
El conocimiento de los forámenes mentonianos adicionales puede contribuir a una adecuada técnica de anestesia y evitar errores diagnósticos de lesiones óseas y daño eventual de los nervios y vasos durante procederes quirúrgicos en la región
- Fernández JE. Foramen mentoniano accesorio: Presentación de un caso y revisión de la literatura. Rev Arg de Anat Clin; 2016, 8(3): 151-156.
Enlace aquí - T Ventorini, F Sampaio, F Haiter-Neto, D Queiroz: Double mental foramina Rev Cubana Estomatol 2013; 50 (49
Enlace aquí
Dpto. de Investigación IDM








