Paciente femenino, 74 años de edad, es referido al Instituto de Diagnóstico Maxilofacial (IDM) para evaluación tomográfica por presencia de imagen radiolúcida en zona radicular de pieza 2.1
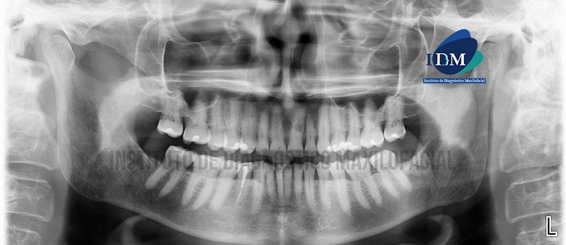
En la radiografía panorámica (Figura 1) se observa leve facetamiento de los contornos condilares; remanentes radiculares de pieza 38; pieza 44 restauraciones coronarias, espigo y obturación de conductos; presencia de imagen radiolúcida proyectada a nivel del tercio medio radicular.
A la evaluación de la tomografía volumétrica (CBCT) cortes axiales (Figura 2), transaxiales (Figura 3) y tangenciales (Figura 4), se aprecia pérdida de estructura coronaria de pieza 2.1 con obliteración de la cámara pulpar y del conducto radicular a nivel del tercio cervical radicular, además se aprecia la presencia de una imagen hipodensa localizado a nivel del tercio medio radicular de limites definidos y bordes irregulares que compromete todas las superficies a predominio de la pared mesial.
En las reconstrucciones 3D se observan con detalle la pérdida de estructura dentaria interna a nivel del tercio medio radicular (Figura 5, 6 y 7).
Conclusiones:
- Signos tomográficos compatibles con reabsorción radicular interna.
Paráfrasis
La reabsorción radicular interna (RRI) es una afección inflamatoria que resulta en la destrucción progresiva de la dentina intra-radicular a lo largo de los tercios medio y apical de las paredes del conducto radicular debido a la acción osteoclástica. Es relativamente raro en la ocurrencia, y la etiología y la patogénesis de la lesión no han sido completamente establecidos en comparación con la reabsorción radicular externa.
La exactitud diagnóstica de la reabsorción radicular interna se basa en el examen radiográfico convencional, siendo ésta limitada por el hecho de que las imágenes producidas sólo proporcionan una representación bidimensional del objeto tridimensional. La imagen radiográfica es incapaz de revelar la ubicación y la naturaleza del defecto de reabsorción, así como el grosor de la dentina del conducto radicular restante. Además, las estructuras anatómicas podrían superponerse y la imagen podría ser distorsionada. La introducción de la tomografía computarizada de haz cónico (CBCT) en endodoncia ha mejorado el diagnóstico radiográfico y el manejo de las lesiones por reabsorción. CBCT proporciona información como el tamaño, la forma y la naturaleza de la lesión, incluyendo perforaciones de raíz.
Referencias:
- Abdullah, D., Eziana Hussein, F., & Abd Ghani, H. (2017). Management of Perforating Idiopathic Internal Root Resorption . Iranian Endodontic Journal, 12(2), 257–260.
Enlace aquí - Kothari, H. J., & Kumar, R. (2013). Endodontic management of a mandibular second premolar with perforating internal resorption by using MTA and cone beam computed tomography as a diagnostic aid. Journal of conservative dentistry : JCD, 16(4), 380-4.
Enlace aquí
Dpto. de Investigación IDM









