
186 – Conducto radicular lateral en pieza 1.2
Paciente de sexo femenino de 50 años de edad acude al Instituto de Diagnóstico Maxilofacial para evaluación imagenológica de la pieza 12. A la evaluación

Paciente de sexo femenino de 50 años de edad acude al Instituto de Diagnóstico Maxilofacial para evaluación imagenológica de la pieza 12. A la evaluación

Paciente de sexo femenino de 45 años de edad acude al Instituto de Diagnóstico Maxilofacial para evaluación imagenológica integral. A la evaluación de la radiografía

Paciente femenino de 55 años de edad, es referido al Instituto de Diagnóstico Maxilofacial (IDM) para evaluación integral. En la radiografía panorámica (Figura 1) se

Paciente masculino con 19 años de edad, es referido al Instituto de Diagnóstico Maxilofacial (IDM) para evaluación tomográfica por presencia de lesión en maxilar superior

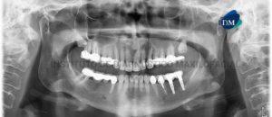
Paciente de 70 años acude al Instituto de Diagnóstico Maxilofacial para evaluación imagenológica indicada para la colocación de implantes. A la evaluación de la radiografía

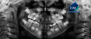
Paciente de 9 año de sexo masculino acude al Instituto de Diagnóstico Maxilofacial para evaluación imagenológica debido a un accidente pre quirúrgico con un cuerpo

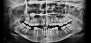
Paciente masculino, 62 años de edad, acude al Instituto de Diagnóstico Maxilofacial (IDM)- Sede Surco, para evaluación dentaria. En la radiografía panorámica (Figura 1) se

Las patologías de crecimiento y desarrollo asociadas a la región craneofacial son muy diversas, dentro de ellas consideraremos a las fisuras o hendiduras orofaciales que

La imagenología de senos nasales ha progresado de manera ordenada a medida que cada generación ha ido avanzando gradualmente. Esta generación ha cambiado completamente la

El Tumor Odontogénico Queratoquístico (TOQ) representa del 3 al 11% de los quistes que se encuentran en los maxilares. El TOQ es un quiste odontogénico

El Papiloma invertido de la cavidad nasal y senos paranasales es un tumor epitelial benigno de etiología desconocida siendo un subtipo del papiloma de Schneider.

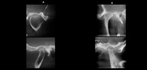
La técnica de Cone Beam se ha transformado en la herramienta primaria de diagnóstico por imágenes más utilizada en el campo del estudio de ATM,

El tumor odontogénico queratoquístico y el ameloblastoma son lesiones odontogénicas benignas de crecimiento lento que se producen principalmente en la región molar de la mandíbula.

La sialoadenitis secundaria en relación a la sialolitiasis es más frecuente en la glándula submandibular que en otras glándulas, siendo infecciones agudas como también crónicas.

El síndrome de Gorlin-Goltz (SGG) fue descrito en 1960 por los autores a los que debe su nombre, Gorlin y Goltz. Inicialmente describieron la triada

El término fascitis necrotizante fue descrito inicialmente por Wilson En los años 50. Siendo una enfermedad de propagación rápida de los tejidos blandos, que incluye

El quiste dentígero, es una forma de quiste odontogénico que se desarrolla debido a la acumulación de líquido dentro del espacio folicular de un diente

La Tomografía Computada de Haz Cónico supera varias limitaciones de la radiografía convencional. Los cortes pueden ser seleccionados para evitar ruido anatómico (como son la

El presente estudio fue hecho con el fin de evaluar la frecuencia de la microfisuras a zona de dentina después de los procedimientos de llenado

Las cavidades, depresiones y defectos óseos mandibulares a menudo se han descrito en relación con el desarrollo de las glándulas salivales. Fueron descritos por primera
© Copyright 2025