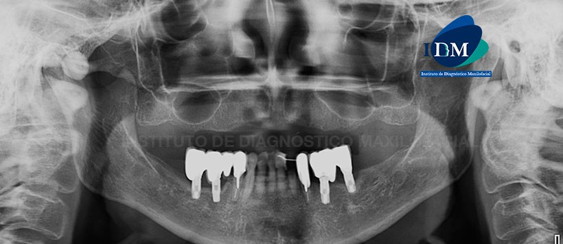
Paciente de 70 años acude al Instituto de Diagnóstico Maxilofacial para evaluación imagenológica indicada para la colocación de implantes.
A la evaluación de la radiografía panorámica se aprecia la neumatizacion alveolar de ambos senos maxilares, reabsorción osea alveolar moderada bimaxilar, ausencia de múltiples piezas dentarias, presencia de implantes y protesis sobre implantes en sector mandibular posterior, piezas 33 y 44 presentan material de obturación con espigos y coronas protésicas. Sin embargo lo mas resaltane es la imagen radiopaca de forma redondeada, de limites definidos y proyectada sobre el arco cigomático de lado derecho. (Figura 1)
Posteriormente en la tomografía volumétrica de haz cónico (en las reconstrucciones multiplanares, vistas transaxiales y tangenciales) se evidencio que dicha imagen es de forma esférica, de densidad osea (hueso cortical) la cual se origina de la parte externa del arco cigomático de lado derecho. (Figura 2, Figura 3 y Figura 4).
En las reconstrucciones 3D se evidencia esta entidad de manera ilustrativa, haciendonos referencia de su forma, ubicación y repercusión con las estructuras oseas adyacentes. (Figura 5 y Figura 6)
Colusión:
- Osteoma a nivel de arco cigomático de lado derecho.
Paráfrasis:
Los oteomas son tumores oseas benignos de crecimiento lento localizados, principalmente, en la región cráneo-maxilo-facial. Pueden ser centrales (Endostales) o periféricos (Periostales). Los osteomas centrales están localizados mas frecuentemente en huesos frontal y etmoides, mientras que los perifericos, están en los senos paranasales.
Pueden ser masas solitarias o múltiples, generalmente asintomáticas. La aparición de múltiples masas orientadas hacia la presencia de un componente sindromico como el Síndrome de Gardner.
En la actualidad estas entidades son fácilemente reconocibles mediante el uso de la tomografía volumétrica de haz cónico, debido a que esta herramienta resalta con mayor intensidad las estructuras oseas.
Bibliografía:
- Durao A; Chilvarquer I, Hayek J, Provenzan M, Kendall M Osteoma of the zygomatic arch ad mandible: Report of two cases Rev Port Estomatol Med Dent Cir Maxilofac 2012; 53 (2): 103 -107
Enlace aquí - Peña I, Llorente S, Rodriguez C, Junquera L, Vicente J Osteomas craneo-faciales: Presentacion de 3 casos y revision de la literatura Rev Esp Cir Oral y Maxilofac 2006; 28 (5): 301 – 306
Enlace aquí
Dpto. de Investigación IDM








