108 – Quiste dentígero infectado en seno maxilar – Reporte de caso

Indice del articulo

El quiste dentígero, es una forma de quiste odontogénico que  se desarrolla debido a la acumulación de líquido dentro del espacio folicular de un diente no erupcionado después de que su corona se haya formado completamente.

Este quiste es el segundo quiste de origen odontogénico más común, junto al quiste radicular. Los dientes más involucrados son, las terceras molares, los caninos  y los segundos premolares. Por lo general, no hay síntomas asociados a estos quistes, a menos que este se infecte y en ocasiones  un quiste dentígero puede expandirse, causando asimetría facial.

Como con otros quistes, el quiste dentígero expande las corticales  y puede involucrar otras estructuras e incluso dientes, causando destrucción  a medida que se expande.

Radiográficamente, los quistes dentígeros muestran típicamente una radiolucidez unilocular con limites definidos y bordes corticalizados asociados con la corona de un diente no erupcionado, pero un quiste infectado muestra esos mismos limites mal definidas.

El presente reporte de caso es de una paciente de 21 años de edad fue Departamento de Cirugía Oral y Maxilofacial debido a que hace 3 meses tenía un aumento de volumen en el lado derecho del rostro con una extravasación de pus de la fosa nasal derecha.  La lesión había ido aumentando lentamente de tamaño, sin antecedentes de trauma, dolor, parestesia  o adenopatías. También hubo una ligera asimetría facial causada por la hinchazón e intraoralmente el examen mostro una  expansión de la corteza bucal derecha obliterando así el vestíbulo bucal junto con la ausencia del tercer molar superior derecho.

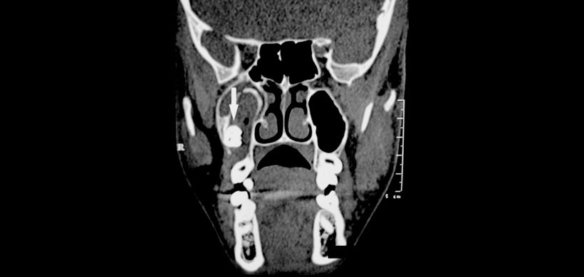
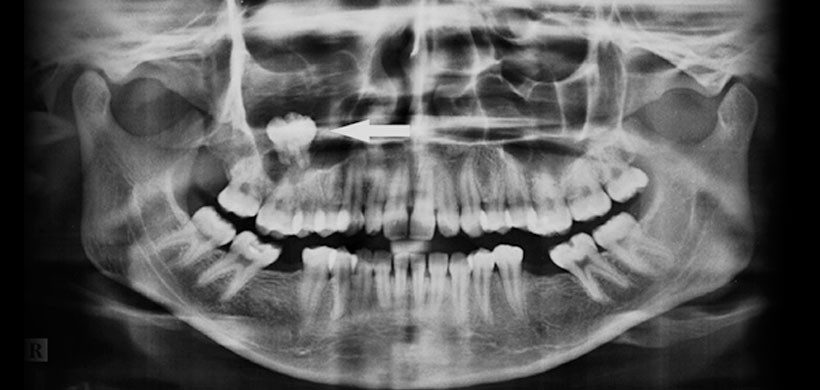
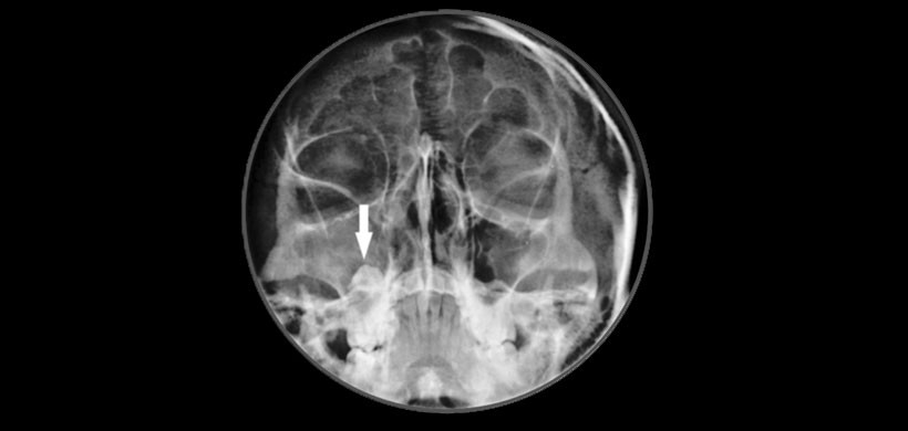
Se optó primero por realizarle una radiografía panorámica la cual muestra una radiolucides  que involucra el seno maxilar derecho junto con el tercer molar impactado (figura 1). Posteriormente se realizó una radiografía de senos paranasales para determinar que la piezas 18 este dentro del seno maxilar derecho (Figura 2) y finalmente se pudo comprobar mediante la tomografía computarizada y a su vez determinar el tamaño de la lesión así como las estructuras óseas y dentarias afectadas. (Figura 3)

Tras el examen imagenológico se realizó la cirugía de remoción de esta lesión quística para su análisis anatomopatoloico final.

Para concluir podemos mencionar que si bien las imágenes 2D sirven de mucha ayuda en la detección de lesiones, las imágenes en 3D son la herramienta de elección para determinar la localización de la lesión así como su repercusión en las estructuras adyacentes.

Guruprasad Y, Singht D “Infected dentigerous Cystof maxillary sinus arising from an ectopic third molar” Journal of Clinical Imaging Science 2913 3; 1- 3
Enlace aquí

Autor. CD Eduardo Calle y Mg Esp. Andrés Agurto Huertas

Picture of Dr. Eduardo Calle Velezmoro
Dr. Eduardo Calle Velezmoro

Casos relacionados

Deja una respuesta

Tu dirección de correo electrónico no será publicada. Los campos obligatorios están marcados con *