La Tomografía Computada de Haz Cónico supera varias limitaciones de la radiografía convencional. Los cortes pueden ser seleccionados para evitar ruido anatómico (como son la superposición del hueso cigomático en las raíces de molares superiores), así como establecer la relación espacial de raíces de piezas multirradiculares y determinación de naturaleza y tamaño real de lesiones periapicales. Se apuntan algunas aplicaciones como:
DETECCIÓN DE PERIODONTITIS APICAL
La CBCT es capaz de detectar lesiones endodónticas existentes antes que una radiografía convencional, según estudios descritos por Patel S.; los cuales sugieren fuertemente que los hallazgos radiológicos encontrados con la CBCT representarían el estado real de los tejidos periapicales y que la radiografía convencional subestimaría la incidencia de periodontitis apical, por ejemplo.
PLANIFICACIONES PRE QUIRÚRGICAS
CBCT es ampliamente recomendada en la planificación de cirugía endodóntica, permitiendo determinar con exactitud relaciones anatómicas como raíz apical con el conducto alveolar inferior, agujero mentoniano y seno maxilar, entre otros.
EVALUACIÓN DE TRAUMAS DENTOALVEOLARES
La CBCT en una sola toma de imagen permite visualizar (en sus varios cortes multiplanares) la severidad de un trauma dentoalveolar, sin distorsión geométrica ni ruido anatómico y al contrario, para localizar una fractura ósea o radicular se requieren múltiples radiografías periapicales obtenidas bajo distintas angulaciones y aun así no ser detectada. Además la CBCT es un examen extraoral más confortable para pacientes recientemente traumatizados.
ANÁLISIS DE ANATOMÍA DE CONDUCTOS RADICULARES
Las radiografías convencionales no siempre revelan con precisión la cantidad de conductos radiculares y accesorios presentes; sin embargo con la CBCT se puede obtener el número exacto de los mismos adquiriendo gran relevancia en dientes con anatomía inusual como dens in dente, dilaceraciones, entre otros.
CONTROL DE LA OBTURACIÓN ENDODÓNTICA
CBCT al igual que CT, está sujeta a la presencia de artefactos, producidos por elementos radiopacos como son espigas metálicas o algunos rellenos endodónticos. Aun así, en CBTC son mucho menores que en CT.
Es importante el conocimiento de las aplicaciones de la tomografía volumétrica teniendo en cuenta las limitaciones de las radiografías 2D, para un correcto diagnóstico, tratamiento y evitar posibles complicaciones, se adjuntaron imágenes representativas de múltiples casos en el que se hace notar las ventajas de una tomografía volumétrica.
Fig 1. Tomografía computarizada de haz cónico, vista sagital y coronal. Se muestra una lesión apical compatible con una periodontitis apical DE LA PIEZA 1.1.
Fig 2. Tomografía computarizada de haz cónico, vista sagital y coronal. Se muestra la obturación de conducto y la extravasación de material hacia la lesión.
Fig 3. Tomografía computarizada de haz cónico. Vista Tangencial, transaxial y axial, se evidencia Fractura radicular visualizada en segundo premolar superior izquierdo.
Fig 4. Tomografía computarizada de haz cónico. Reformación 3 D, vista axial, sagital y coronal de una pieza dentaria con alteración en la anatomía y morfología (Dens in dent) de la pieza 2.2.
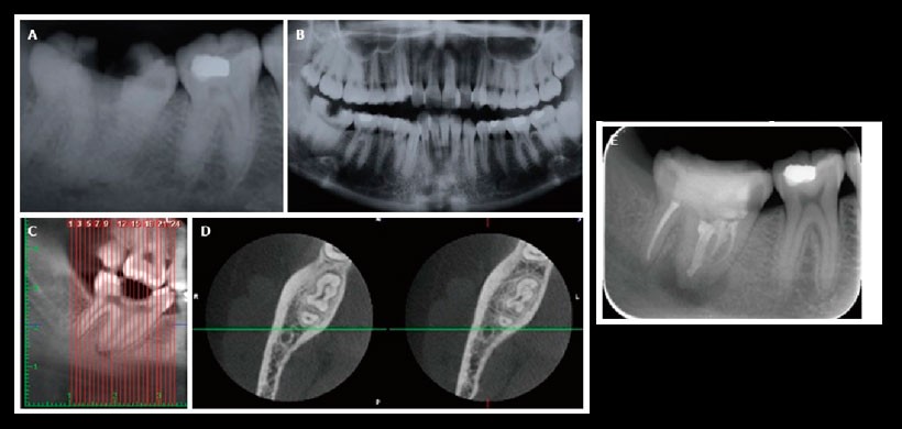
Fig 5. La valoración radiológica del segundo molar mandibular derecho. A: En la radiografía periapical, se detectó la presencia de caries y una lesión periapical en un diente mandibular derecho fusionado con el segundo molar; B: se visualiza una aparente fusión de la pieza 4.7 con la pieza 4.8 C. Reformación panorámica de la CBCT D. Vista axial, mostraron que el segundo molar mandibular y el tercer molar estaban fusionados; E: El diente fue re-evaluado seis meses más tarde con la radiografía periapical luego del tratamiento de conductos.
Referencia:
- Yılmaz F, Kamburoglu K, Yeta NY, Öztan MD. Cone beam computed tomography aided diagnosis and treatment of endodontic cases: Critical analysis. World Journal of Radiology. 2016;8(7):716-725. doi:10.4329/wjr.v8.i7.716.
Enlace aquí
Elaborado por : C.D. Luis Alberto Cueva Principe, Mg. Esp. C.D. Andrés Agurto Huerta.







