El tumor odontogénico queratoquístico y el ameloblastoma son lesiones odontogénicas benignas de crecimiento lento que se producen principalmente en la región molar de la mandíbula. Clínicamente y radiográficamente ambas lesiones el queratoquiste y el ameloblastoma (especialmente el tipo uniquistico) son indistinguibles debido a la localización, a la prevalencia y a la edad de los pacientes.
Los tumores odontogénicos queratoquístico (TOQ) son tumores benignos localmente agresivos que ocurren en los huesos de ambas mandíbulas con una alta tasa de recurrencia. Pueden ocurrir a cualquier edad con un pico en la segunda y tercera década de vida. Las características clínicas más importantes de los (TOQ) son su potencial de comportamiento destructivo local, tasa de recurrencia y su tendencia a la multiplicidad, particularmente cuando se asocia con síndrome de carcinoma basocelular nevoide.
El ameloblastoma es una neoplasia rara, benigna, de crecimiento lento, pero localmente invasiva, de origen odontogénico que afecta a la mandíbula (80%) y al maxilar; El tratamiento conservador da lugar a una alta tasa de recurrencia. El ameloblastoma puede caracterizarse como tipos sólidos / multiquísticos, extraóseos / periféricos, desmoplásicos o uniquísticos. Los ameloblastomas de tipo uniquístico representan el 5-15% de todos los casos. La edad media de presentación de los casos asociados con un diente no erupcionado es de 16 años, frente a los 35 años en ausencia de un diente no erupcionado. Es raro que estos tumores ocurran simultáneamente en la mandíbula de un paciente. Hasta donde sabemos, hay escasos estudios previos que hayan informado de la co-ocurrencia de estos tumores.
Informes anteriores que observaron la aparición de lesiones odontogénicas simultáneas o lesiones odontogénicas y no odontogénicas simultáneas, describieron lesiones combinadas, a veces denominadas lesiones híbridas. En la misma línea éste reporte describe el caso del desafiante proceso diagnóstico de la presentación simultánea de KCOT y ameloblastoma en la mandíbula de un hombre de 45 años de edad.
El presente reporte tiene por objetivo mostrar mediante un caso tomográfico la presencia de dos lesiones completamente distintas que pueden aparecer simultáneamente, llevando a tener un enorme reto diagnóstico.
Fig 1. Radiografía panorámica inicial demuestra la presencia de dos lesiones radiolúcidas. Se identificó una lesión alrededor del ápice de la raíz del primer molar inferior derecho (flechas blancas) y se observó otra lesión en el septo interalveolar de los premolares inferior derecho (punta de flecha negra). Los diagnósticos de imagen de las dos lesiones fueron un quiste radicular y un quiste óseo simple, respectivamente.
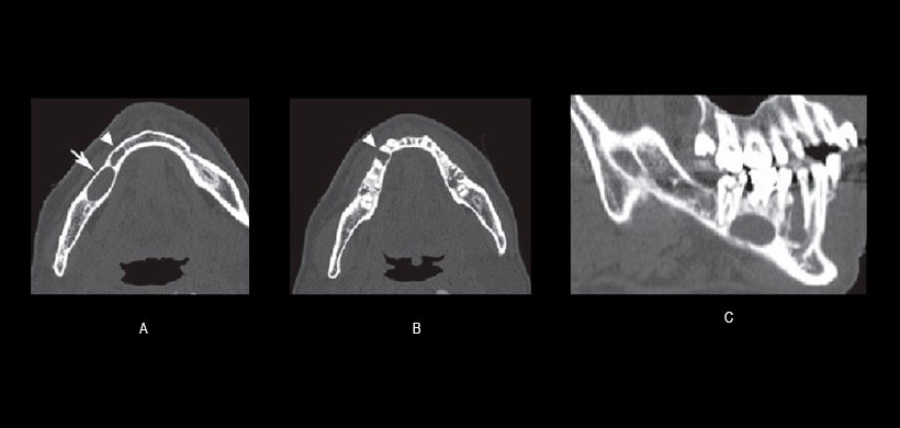
Fig 2. Imágenes de tomografía computarizada de la mandíbula del paciente. (A) Una vista axial que muestra la sección transversal de la mandíbula desde el lado derecho del paciente. Se detectó una lesión quística de 15 mm de tamaño redondo y bien definida en el ápice de la raíz del primer molar inferior derecho (flecha); Además, se identificó una lesión radiolúcida de 12 mm de tamaño en el tabique interalveolar de los premolares inferiores (punta de flecha). (B) Una vista axial demostró la divergencia radicular de los premolares inferior derecho (punta de flecha). (C) Una vista para-sagital reveló el septo dentro del ameloblastoma, así como la divergencia de los premolares inferior derecho.
Fig 3. Imágenes de tomografía computarizada de la mandíbula del paciente. (D) Imagen de referencia de la reconstrucción ortogonal. Los números asignados son equivalentes al número de imagen de cada vista ortogonal. (E) Las vistas ortogonales que representan el tumor odontogénico queratoquístico revelaron el tabique dentro del KCOT (flechas). (F) Vistas ortogonales que identifican el ameloblastoma.
Referencia:
- Gupta RK, Dugal AG, Pawar SR, Khandelwal SG, Iyengar A. A Rare Simultaneous Occurrence of Odontogenic Keratocyst and Unicystic Ameloblastoma in Mandible: A Case Report. Journal of Clinical and Diagnostic Research : JCDR. 2016;10(8):ZD01-ZD04. doi:10.7860/JCDR/2016/18271.8224.





