
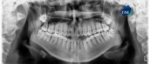
144 – Canino retenido ectópico en zona nasomaxilar
Paciente femenino de 27 años de sexo femenino acude al Instituto de Diagnóstico Maxilofacial para evaluación preoperatoria de cirugía ortognática. A la evaluación de la

Paciente femenino de 27 años de sexo femenino acude al Instituto de Diagnóstico Maxilofacial para evaluación preoperatoria de cirugía ortognática. A la evaluación de la

Paciente femenino, 54 años de edad, es referido al Instituto de Diagnóstico Maxilofacial – IDM (Sede Miraflores) para evaluación tomográfica por dolor en zona de

Paciente masculino de 17 años de edad acude al Instituto de Diagnóstico Maxilofacial debido a que clínicamente no se visualiza la pieza 35. Para lo

Paciente femenino, 56 años de edad, es referido al Instituto de Diagnóstico Maxilofacial – IDM (Sede Miraflores) para evaluación tomográfica de control postquirúrgico de cirugía

Paciente de sexo femenino de 38 años de edad acude al Instituto de Diagnóstico Maxilofacial para evaluación de la pieza 36, debido a la perdida

La evaluación mediante imágenes de las variantes anatómicas de los senos paranasales es importante en la evaluación de los factores que predisponen a los cambios

Paciente masculino, 17 años de edad, es referido al Instituto de Diagnóstico Maxilofacial (IDM) para evaluación tomográfica de premolar retenido. En la radiografía panorámica (Figura

Paciente masculino de 61 años acude al Instituto de Diagnostico Maxilofacial para evaluación general de las piezas dentarias. A la evaluación panorámica se aprecia a

Paciente femenino de 19 años de edad, es referido al Instituto de Diagnóstico Maxilofacial – IDM (Sede Miraflores) para exámenes radiográficos para tratamiento ortodóntico y

En 1987, Padayachee y Van Wyk describieron dos pacientes con lesiones quísticas mandibulares multiloculares que eran similar al quiste botrioide pero con un elemento glandular.

Paciente femenino de 34 años es referido al Instituto de Diagnóstico Maxilofacial para seguimiento de lesión en mandíbula. Se muestra la radiografía panorámica inicial (Figura

La tomografía de haz cónico (tomografía volumétrica) es una técnica de imagen relativamente común ampliamente utilizado en la región maxilofacial. Además de las anomalías dentales,

El quiste óseo traumático, también conocido como un simple o cavidad ósea idiopática, es una lesión ósea benigna que comprende una cavidad vacía o semi-vacía

Paciente de 36 años acude al Instituto de Diagnóstico Maxilofacial para su evaluación por motivo de haber recibido un golpe en zona mandibular. A la

La displasia cemento-óseo (DCO) es la lesión fibro-ósea más común de los maxilares y se localiza generalmente adyacente o próximo a las piezas dentarias. DCO se representa

El oído medio (ME) estructura pequeña que consiste principalmente en la membrana timpánica (TM), tres huesecillos (martillo, yunque y estribo), sus ligamentos de soporte y

El término “síndrome de Eagle” o “síndrome estilohioideo”, describe una serie de síntomas causadas por la mineralización (osificación o mineralización) del proceso estilohioideo. La apófisis

Paciente de sexo femenino de 50 años de edad es referida al Instituto de Diagnóstico Maxilofacial (IDM) para su evaluación y diagnóstico. A la evaluación

Esta lesión fue descrita por primera vez en 1819 por Langenback, pero fue Rollet quien introdujo el término mucocele en 1896. Esta lesión generalmente se

Los defectos óseos Stafne (DOS) son variantes anatómicas a nivel óseo que fueron descritos por primera vez por Stafne quien en su oportunidad mostró 35
© Copyright 2025