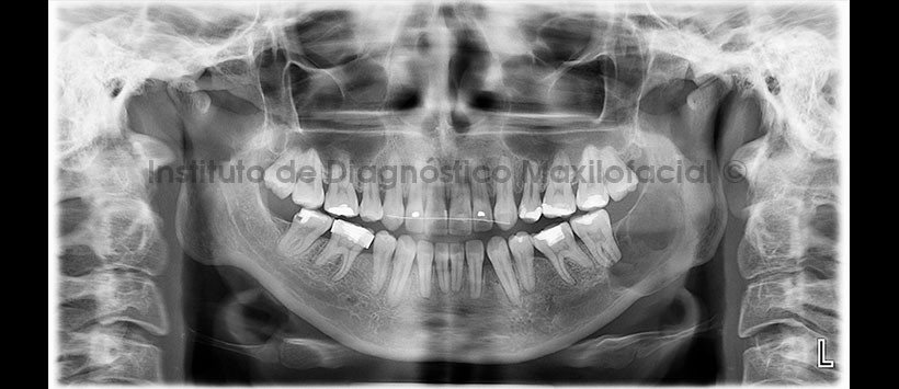
Paciente femenino de 34 años es referido al Instituto de Diagnóstico Maxilofacial para seguimiento de lesión en mandíbula. Se muestra la radiografía panorámica inicial (Figura 1), en el cual se visualizó un “hallazgo radiográfico” de una lesión mandibular de límites definidos localizado en cuerpo y rama mandibular. La paciente refiere que el examen anatomopatológico determinó el diagnostico de Granuloma Central de Células Gigantes (GCCG)
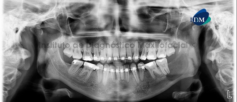
A la evaluación de la radiografía Panorámica de seguimiento a los 5 meses (Figura 2) se observa que la lesión tuvo un leve aumento en el tamaño, ocasionando el adelgazamiento y desplazamiento de la cortical basal mandibular.
En la tomografía computarizada de haz cónico (TCHC), en los cortes multiplanares (Figura 3), cortes transaxiales (Figura 5) y cortes tangenciales (Figura 6)) se aprecia la lesión de un volumen de 6,9 cm3 (Figura 4), localizado en cuerpo y rama mandibular, que se extiende en sentido céfalo-caudal de la cima del reborde alveolar hasta el reborde basal mandibular y en sentido mesio-distal de la raíz mesial de la pieza 37 hasta el tercio inferior de la rama mandibular. La lesión ocasiona el desplazamiento y adelgazamiento de las tablas ósea vestibular, así como el desplazamiento y erosión de la tabla ósea lingual, se evidencia también el desplazamiento caudal del conducto dentario inferior
En las reconstrucciones en 3D (Figura 7, 8, 9) se aprecia la lesión osteolítica ocasionando el desplazamiento, adelgazamiento y erosión de las tablas óseas.
Paráfrasis
El granuloma de células gigantes (GCG) es una lesión ósea benigna poco común, representa menos del 7% de todas las lesiones benignas de los maxilares. La Organización Mundial de la Salud define al GCG como una lesión intraósea que consiste en tejido fibroso celular que contiene múltiples focos de hemorragia, agregaciones de células gigantes multinucleadas y ocasionalmente trabéculas de hueso tejido. La etiología de GCG sigue siendo controvertida. Sin embargo, se cree que es un proceso reactivo, inflamatorio, infeccioso o neoplásico.
El GCG afecta tanto a niños como a adultos. El 75% de los pacientes con GCG afecta a pacientes menos de 30 años. Es dos veces más frecuente en mujeres que en hombres. Suele aparecer en el maxilar anterior, pero también se puede ver en la mandíbula anterior o posterior. La lesión puede aparecer como radiolucidez unilocular o multilocular con márgenes bien o mal definidos; diversos grados de expansión y erosión de las placas corticales. La reabsorción de la raíz ha sido reportada en muchos casos.
El GCG se divide en dos categorías según su comportamiento clínico: agresivo y no agresivo. La forma no agresiva se observa con mayor frecuencia con un patrón característico de crecimiento lento y una hinchazón indolora. La forma agresiva se caracteriza por una o más de las siguientes características; dolor, parestesia, reabsorción de la raíz, expansión rápida, reabsorción cortical y altas tasas de recurrencia después del curetaje quirúrgico. La forma agresiva se encuentra principalmente en pacientes más jóvenes. El tratamiento común de GCG es la cirugía. El curetaje simple, el curetaje con osteotomía periférica, la resección en bloque y la criocirugía son opciones de tratamiento quirúrgico. Se recomiendan márgenes quirúrgicos de 5 mm que se extienden a tejidos sanos para evitar recurrencias. Recientemente se han descrito tratamientos no quirúrgicos y sus beneficios pueden ser dignos de consideración. Estos son; interferón alfa subcutáneo, calcitonina sistémica y en aerosol nasal, inyección de corticosteroides y exposición a la radiación. Particularmente en niños, el abordaje quirúrgico puede resultar en pérdida de dientes, deformidad facial, incluyendo defectos de discontinuidad, o déficits nerviosos sensoriales. En tales casos, los tratamientos no quirúrgicos serían más preferibles.
Referencias:
- Bayar OF, Ak G. Treatment of giant cell granuloma with intralesional corticosteroid injections: a case report. Journal of Istanbul University Faculty of Dentistry. 2015;49(3):45-50.
Enlace aquí - Duque Serna Francisco Levi, Franco Lina María, Ardila Medina Carlos Martín. Granuloma central de células gigantes: presentación de diez casos. AMC. 2012; 16(5): 628-636.
Enlace aquí - Mohanty S, Jhamb A. Central giant cell lesion of mandible managed by intralesional triamcinolone injections. A report of two cases and literatura review. Med Oral Patol Oral Cir Bucal. 2009 Feb 1;14 (2):98-102.
Enlace aquí
Autores: C.D Luis Alberto Cueva, Mg. Esp. Andrés Agurto Huerta











