La tomografía de haz cónico (tomografía volumétrica) es una técnica de imagen relativamente común ampliamente utilizado en la región maxilofacial. Además de las anomalías dentales, La tomografía volumétrica, sobre todo aquellos tomado en un volumen de campo mediano o amplio) permite la evaluación de las estructuras anatómicas, tales como las estructuras óseas maxilofaciales, las articulaciones temporomandibulares (ATMs), los senos paranasales, vértebras cervicales, la base del cráneo y la vía aérea faríngea.
Como resultado colateral de la toma se descubren muchos hallazgos durante el curso normal de la interpretación de un estudio y no está relacionada con el principal motivo que llevaron a realizarse la prueba. Los estudios mediante tomografía volumétrica, dada la resolución espacial alta, es capaz de visualizar diversos cambios de los tejidos óseos y a nivel de los tejidos blandos.
Los estudios tomográficos pueden revelar hallazgos normales y patológicos asociados con estructuras óseas de la columna vertebral cervical y la base del cráneo, así como algunas entidades de tejidos blandos. El reconocimiento de los principales puntos de referencia anatómicos y características radiográficas de los hallazgos incidentales como se visualiza en estudios es fundamental para el proceso de interpretación.
Además de ser un problema médico legal, la correcta interpretación de los hallazgos incidentales puede evitar resultados negativos en estos pacientes. Los hallazgos, basado en su ubicación, la naturaleza y los efectos sobre las estructuras adyacentes, puede o no requerir la derivación, intervención, más exámenes, o monitoreo de largo plazo.
El estudio hecho por Barghan, et al. evaluó la prevalencia y naturaleza de los hallazgos incidentales en y alrededor de la base del cráneo, la columna cervical, región lateral del cuello, vía aérea faríngea, y las estructuras intracraneales en estudios de tomografía volumétrica que por lo general son revisados por los dentistas y especialistas dentales. Obteniendo los siguientes resultados:
| HALLAZGO TOMOGRÁFICO | PORCENTAJE |
| Calcificación en tejidos blandos | 30% |
| Calcificaciones intracraneales | 28% |
| Alteraciones en las vértebras cervicales | 20% |
| Alteraciones en la vía aérea | 11% |
| Otros | 11% |
La presente revisión de la literatura tiene por objetivo mostrar los principales hallazgos vistos en la tomografía volumétrica, puesto que los estudios tomográficos pueden revelar hallazgos normales y patológicos asociados con estructuras óseas de la columna vertebral cervical y la base del cráneo, así como algunas entidades de tejidos blandos.
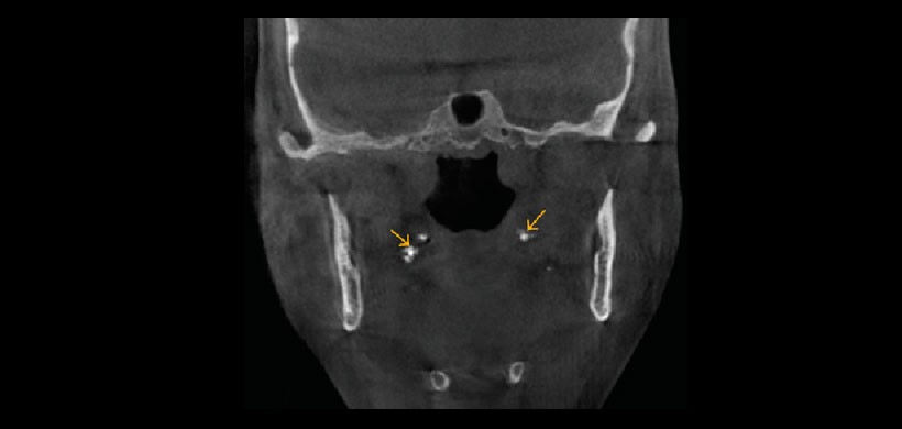
Fig 1. Tomografía volumétrica, vista coronal. Muestra la presencia d tonsilolitos (Calcificaciones en tejidos blandos, asociado a procesos infecciosos de las amígdalas palatinas, importante su evaluación para la interconsulta con el médico otorrinolaringólogo.
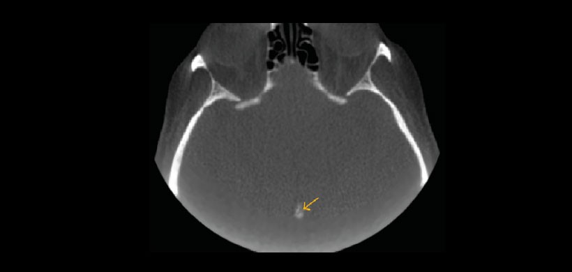
Fig 2. Tomografía volumétrica, vista axial. Muestra calcificación intracraneal a nivel de la glándula pineal.
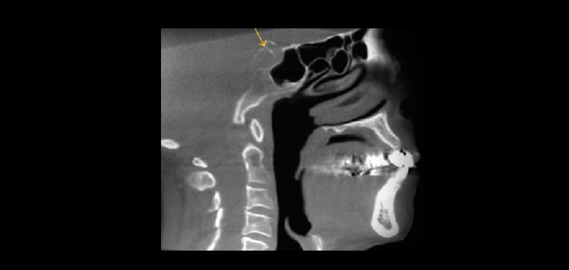
Fig 3. Tomografía volumétrica, vista sagital. Muestra calcificaciones vasculares por encima de la silla turca.
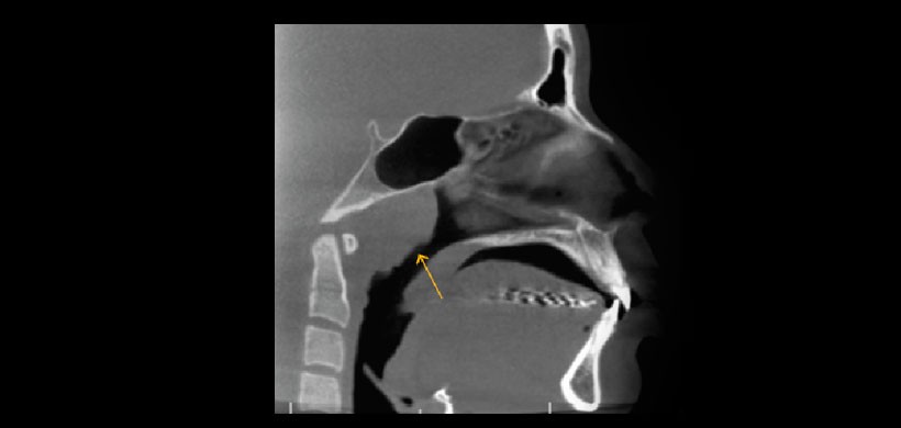
Fig 4. Tomografía volumétrica, vista sagital. Muestra hipertrofia adenoidea que produce el estrechamiento de la nasofaringe.
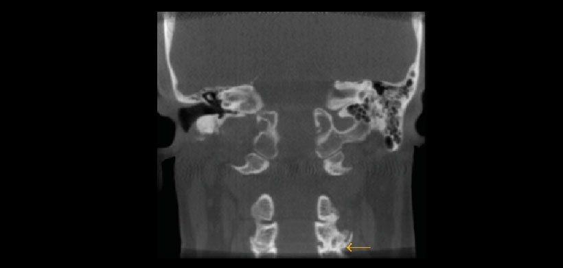
Fig 5. Tomografía volumétrica, vista coronal. Muestra cambios degenerativos (osteoartritis) a nivel de C3 y C4 con formación de osteofito.
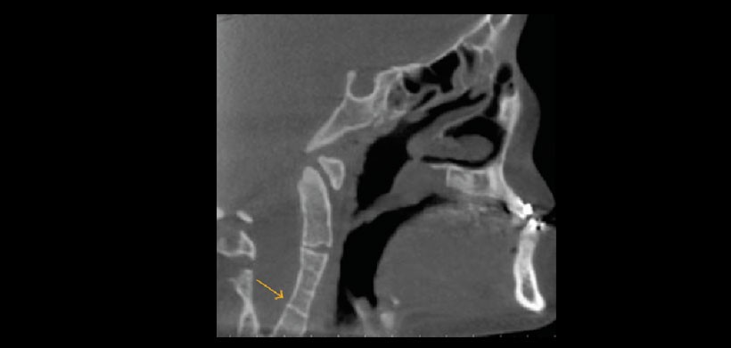
Fig 6. Tomografía volumétrica, vista saital. Muestra fusión de vértebras cervicales (C3 y C4).
Referencia:
- Barghan, S., Tahmasbi Arashlow, M., & Nair, M. K. (2016). Incidental Findings on Cone Beam Computed Tomography Studies outside of the Maxillofacial Skeleton. International Journal of Dentistry, 2016, 9196503. http://doi.org/10.1155/2016/9196503
Elaborado por : C.D. Luis Alberto Cueva Principe, Mg. Esp. C.D. Andrés Agurto Huerta.








