La displasia cemento-óseo (DCO) es la lesión fibro-ósea más común de los maxilares y se localiza generalmente adyacente o próximo a las piezas dentarias. DCO se representa como una lesión benigna que surge a partir de células indiferenciadas del ligamento periodontal. Esta lesión se clasifica en tres subtipos de acuerdo a sus características clínicas y radiológicas: periapicales, focales, y floridas.
La displasia cemento-ósea periapical (DCOP) se produce con mayor frecuencia en la mandíbula y en el sector anterior en personas mayores de 30 años. Hay una tendencia significativa hacia pacientes de sexo femenino y aproximadamente el 70% de los casos afecta a personas de raza negra. Clínicamente ésta entidad se caracteriza por ser asintomática y los dientes afectados son vitales, éste dato clínico es de suma importancia ya que muchas veces puede ser confundida con procesos periapicales que radiográficamente se observan sobre todo cuando la entidad se encuentra en una etapa inicial.
Esta lesión aparece generalmente por un hallazgo de rutina en las radiografías tomadas por otras razones. Radiográficamente la DCOP pasa por tres estadios: Radiolúcido, mixto y radiopaco. La mayoría de los casos de las lesiones se encuentran en estadío mixto en el cual se observa una imagen radiopaca de densidad ósea y tienen una periferia radiolúcida de una anchura variable se encuentra bien definida. En la primera etapa o etapa osteolítica, se observan zonas de reabsorción circulares o elípticas adyacentes a los ápices dentarios. En la segunda etapa o etapa cementoblastica (también llamada fase radiolúcida-radiopaco o mixta), se observan pequeñas calcificaciones en el interior de la lesión. La etapa final o etapa madura es una lesión completamente radiopaco. Es raro que una DCOP pueda convertirse en lo suficientemente grande como para producir una expansión detectable de las tablas óseas.
El diagnóstico de la DCOP se puede hacer sobre la base de las características clínicas y radiológicas apropiados. Las radiografías en 2 D generalmente son suficiente, sin embargo muchas veces tenemos una tomografía volumétrica hecha por otras razones en el cual la DCOP es un hallazgo y por ende es importante conocer sus características tomográficas. Por lo general, no se requiere tratamiento y sólo un adecuado seguimiento regular.
En este artículo se describe un caso de DCOP cuyo diagnóstico fue hecho por tomografía volumétrica, que mostró una visualización detallada de los diferentes aspectos de la lesión en múltiples planos.
Fig 1. Reformación panorámica de la tomografía volumétrica, muestra una lesión multifocal que se extiende desde la cara medial del incisivo lateral inferior derecho hacia la parte distal del incisivo lateral inferior izquierdo.
Fig 2. A. Vista axial de la tomografía volumétrica, muestra leve expansión de la tabla ósea bucal (flechas blancas) y la discontinuidad de la cortical lingual (flecha roja). B. Otra vista axial muestra las mismas características que las imágenes antes descritas. C Cortes transaxiales de la tomografía volumétrica, muestran la discontinuidad de la cortical lingual.
Fig 3. Reconstrucción 3D de la tomografía volumétrica. A. La vista frontal muestra la erosión de la cortical bucal de la lesión. B. La vista lingual muestra que la lesión erosiona la cortical lingual.
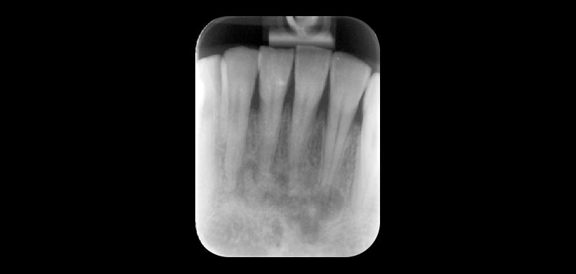
Fig 4. Radiografía periapical, muestra una imagen mixta (radiolúcida-radiopaca) de la lesión, se encuentra en los ápices de los incisivos inferiores. La lámina dura que rodean las zonas apicales de los dientes afectados se pierde.
Referencia:
- Eskandarloo, A., & Yousefi, F. (2013). CBCT findings of periapical cemento-osseous dysplasia: A case report. Imaging Science in Dentistry, 43(3), 215–218.
Enlace aquí
Elaborado por : C.D. Luis Alberto Cueva Principe, Mg. Esp. C.D. Andrés Agurto Huerta.






