Paciente femenino de 19 años de edad, es referido al Instituto de Diagnóstico Maxilofacial – IDM (Sede Miraflores) para exámenes radiográficos para tratamiento ortodóntico y de cirugía orotognática.
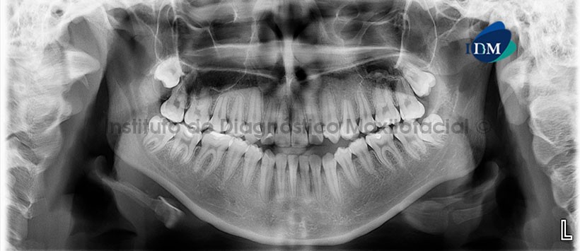
En la radiografía panorámica (Figura 1) se observa neumatización alveolar y anterior de los senos maxilares, a predominio del lado derecho. Se visualiza, además, una imagen radiolúcida de límites definidos y bordes corticalizados proyectados sobre la apófisis cigomática del hueso temporal del lado izquierdo.
En la radiografía lateral (Figura 2) se aprecia, una imagen radiolúcida, límites definidos y bordes corticalizados, multilocular proyectado a nivel de la base craneal media. Se aprecia además, la neumatización del seno esfenoidal y del seno frontal.
A la evaluación de la tomografía volumétrica (CBCT) en cortes axiales, sagital (Figura 3) y coronales (Figura 4), se evidencia la neumatización del seno esfenoidal, a predominio del lado izquierdo, compromemtiendo las apofisis clinoides anterior y posterior, se aprecia tambien la neumatización de las celdillas mastoideas del lado izquierdo (Figura 5) que se extiénde a la porción escamosa y petrosa del hueso temporal, con presencia de multiples tabicaciones.
En las reconstrucciones 3D (Figura 6, 7 y 8) se muestran en color azul los volúmenes de cavidades aéreas que representan a los senos paranasales y a las celdillas mastoideas. Se videncia neumatización de los senos maxilares, esfenoidal, frontal y de las celdillas mastoideas del lado izquierdo.
Conclusión: Neumatización de senos paranasales y de las celdillas mastoideas del lado izquierdo (Variante anatómica)
Paráfrasis
Los senos paranasales se originan de divertículos en la pared lateral de las fosas nasales y se extienden en los huesos adyacentes de los que toman su nombre.
Existe mucha variación de tamaño de los senos de unos individuos a otros. Todos los senos paranasales están presentes al nacer, pero no alcanzarán su forma y tamaño definitivo hasta pasada la adolescencia. Por este motivo, durante los primeros meses de vida, la radiología puede ser confusa, ya que muestra unos senos opacificados de morfología normal.
Los primeros que se desarrollan son los senos etmoidales y frontales.
Los senos paranasales y otras partes del hueso temporal como el sistema de celdillas aéreas mastoideas son las estructuras mejor caracterizadas para la aireación en humanos. Estas estructuras se desarrollan por una neumatización gradual del tejido sólido, que se logra mediante presión positiva en la nasofaringe a través de la abertura de la trompa de Eustaquio.
Varios factores, como las condiciones ambientales, las enfermedades genéticas y las infecciones pasadas, pueden afectar el proceso de pneumatización, que es la principal característica distintiva de estos complejos.
Referencias:
- Turkdogan FT, Turkdogan KA, Dogan M, Atalar MH. Assessment of sphenoid sinus related anatomic variations with computed tomography. The Pan African Medical Journal. 2017;27:109.
Enlace aquí - Hindi K, Alazzawi S, Raman R, Prepageran N, Rahmat K. Pneumatization of Mastoid Air Cells, Temporal Bone, Ethmoid and Sphenoid Sinuses. Any Correlation? Indian Journal of Otolaryngology and Head & Neck Surgery. 2014;66(4):429-436.
Enlace aquí - Jinfeng L, Jinsheng D, Xiaohui W, Yanjun W, Ningyu W. The Pneumatization and Adjacent Structure of the Posterior Superior Maxillary Sinus and Its Effect on Nasal Cavity Morphology. Medical Science Monitor : International Medical Journal of Experimental and Clinical Research. 2017;23:4166-4174.
Enlace aquí
Autores: C.D Luis Alberto Cueva, Mg. Esp. Andrés Agurto Huerta










