En 1987, Padayachee y Van Wyk describieron dos pacientes con lesiones quísticas mandibulares multiloculares que eran similar al quiste botrioide pero con un elemento glandular. Un año más tarde se notificaron 8 casos adicionales, con características histopatológicas similares. Llamaron a esta lesión como quiste odontogénico glandular, ya que el epitelio de la pared del quiste contenía sólo mucina sin la implicación del tejido salival. Este término fue más tarde adoptado por la Organización Mundial de la Salud.
Histopatológicamente, esta entidad se caracteriza por ser un quiste con un revestimiento no queratinizado de la pared del epitelio.
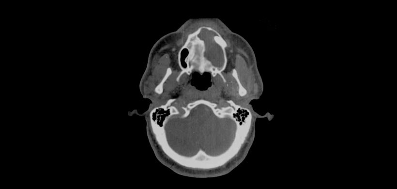
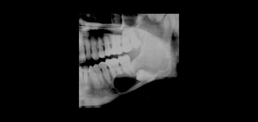
Radiográficamente, el quiste odontogénigo glandular aparece como una lesión radiolucida uni o multilocular. (Fig 1) Desde 1987, sólo 51 casos de estos quistes han sido bien documentados radiográficamente en la literatura inglesa.
El objetivo de este trabajo fue describir cinco nuevos casos de esta lesión y comprobar sus características radiográficas.
Estos cinco casos fueron del periodo 1993 al 2002, los cuales a su vez fueron diagnosticados histológicamente y radiográficamente además de analizar 51 casos de la literatura.
Como resultado hubieron 31 25 pacientes de ambos sexos, de edad 14-90 años (media 50 años), en los cuales se hallaron 56 casos con esta lesión. Donde solo el 80% involucraba la mandíbula y el maxilar en un 20%; la mayoría de las lesiones se localizaron en la zona anterior de la mandíbula.
Radiográficamente, el 52% de las lesiones eran uniloculares y el 48% eran multiloculares; el 94,5% mostró bordes bien definidos. La información sobre la integridad de la cortical estaba disponible en sólo 24 casos: 50% mostró una perforación, un 8,3% erosión de las corticales y 8,3% adelgazamiento de estas mismas. (Fig 2) En cuanto a la reabsorción radicular se encontró en un 22% y en un 24% el desplazamiento de los dientes.(Fig 3)
Mediante este estudio se pudo llegar a la conclusión que el quiste odontogénico glandular (quiste sialodontogenico) tiene un comportamiento potencialmente agresivo, con la expansión y la perforación de las corticales.
También se menciona que es recomendable el uso de la tomografía volumétrica de haz cónico para este tipo de lesión especialmente las de gran tamaño, y más aún si son multiloculares o implican algún tipo de alteración respecto a dientes y/o estructuras adyacentes.
- Manor R, Anavi Y, Kaplan I, Calderon S. “Radiological features of glandular odontogenic cyst” Dentomaxillofacial Radiology 2003; 32: 73 – 79
Enlace aquí
Autor: CD Eduardo Calle Velezmoro, Mg. Esp. Andrés Agurto Huerta





