El término “síndrome de Eagle” o “síndrome estilohioideo”, describe una serie de síntomas causadas por la mineralización (osificación o mineralización) del proceso estilohioideo. La apófisis estiloides es una proyección ósea de la base craneal, y en ella se insertan ligamento y musculo que siguen un trayecto hasta el hueso hioides, este recorrido es de suma importancia puesto que casi al final de su recorrido se encentra la arteria carótida primitiva en estrecha relación.
Eagle un otorrinolaringólogo fue el primer en describir ésta entidad en 1937 y en su honor se denominó en adelante como “síndrome de Eagle”. La mineralización del proceso estilohioideo ocurre en el 4 % de la población y cursan en su mayoría asintomáticos; sólo un 4 % de los pacientes presentan sintomatología. La longitud normal de la apófisis estilohides varía y se acepta ampliamente una longitud de 20 a 30 mm; Valores mayores indican ya una mineralización del proceso estilohideo.
En cuanto la etiología muchos autores coinciden que es de carácter idiopática; sin embargo Steinmann propone tres teorías para explicarla: 1) Originada a partir de una hiperplasia reactiva a consecuencia de un trauma faríngeo, 2) Originada a partir de una variante anatómica y 3) Persistencia del cartílago de la apófisis estiloides.
CARACTERÍSTICAS CLÍNICAS
El síndrome es más frecuente en personas de 30 años, sin predilección por el sexo. Los síntomas varían desde: dolor continuo en la garganta y zona para-amigdalina (40%), sensación de cuerpo extraño en la faringe (55%), disfagia, otalgia, dolor de cabeza, dolores a nivel del recorrido de la arteria carótida externa e interna, dolor cervical a la rotación de la cabeza, dolor facial, vértigo y sincope
CARACTERÍSTICAS IMAGENOLÓGICAS
De acuerdo a Langlais et al, la mineralización puede clasificarse en tres tipos: 1) Elongado, 2) Pseudoarticulado y 3) Segmentado.
Las técnicas de imágenes que se utilizan para su evaluación incluye a la radiografía panorámica, posteroanterior, lateral e inversa de Towne, sin embargo como evaluación tridimensional y realizar una mejor evaluación de todo el trayecto del proceso estilohideo se puede utilizar la tomografía volumétrica para su evaluación, sobre todo al tener en cuenta el tratamiento quirúrgico que se tendrá que realizar.
La sintomatología del síndrome de Eagle puede ser común a muchas otras entidades mucho más prevalentes como trastornos temporomandibulares, terceras molares impactadas. Los exámenes radiológicos serán fundamentales para determinar la mineralización del proceso estilohideo y completar el diagnostico de “Síndrome de Eagle”
Fig 1 (A y B). Tomografía volumétrica de haz cónico y renderizado 3 D de una paciente femenina de 60 años quien refiere dolor preauricular desde hace 6 meses. El diagnóstico inicial fue de trastorno temporomandibular. Sin embargo el dolor se agrava a la rotación del cuello hacia el lado izquierdo. La tomografía muestra la mineralización segmentada del proceso estilohideo del lado izquierdo.
Fig 2. Tomografía volumétrica de haz cónico y renderizado 3 D del mismo caso anterior, en esta ocasión se muestra el lado derecho. Se evidencia una mineralización elongada del proceso estilohideo de ese lado, en menor medida que el contralateral.
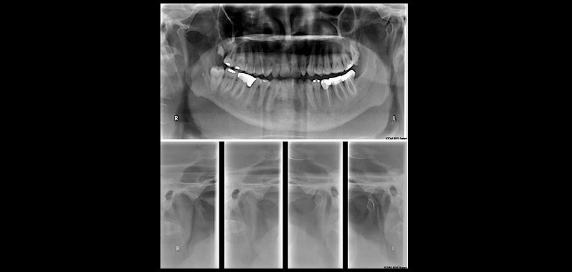
Fig 3.Radiografía panorámica y de ATM de un paciente masculino de 50 años quien manifestó dolor preauricular en el lado derecho e izquierdo desde hace 1 año, el dolor se agrava a los movimientos de rotación del cuello. La radiografía panorámica muestra una mineralización elongada de los procesos estilohiodeos de aproximadamente 65 y 60 mm respectivamente.
Referencia:
- Ranjan V, Rai S, Misra D, PanjwaniS. Eagle´s syndrome veiling as pain of odontogénico oorigin: Report of two cases with cone beam computed tomography illustration. Natl J Maxillofac Surg 2015; 6: 219-23.
Elaborado por : C.D. Luis Alberto Cueva Principe, Mg. Esp. C.D. Andrés Agurto Huerta.





