Los defectos óseos Stafne (DOS) son variantes anatómicas a nivel óseo que fueron descritos por primera vez por Stafne quien en su oportunidad mostró 35 casos. Estos defectos radiográficamente son radiolúcido de límites definidos bien circunscritos, generalmente localizados a nivel lingual en el sector posterior de la mandíbula por debajo del conducto dentario inferior. Los DOS afectan principalmente a los hombres en la quinta o séptima década de vida.
Se ha reportado una prevalencia que va entre 0,10% y 0,48%. Por lo general el defecto contiene tejido de la glándula salival ectópico y no requieren tratamiento. Se hace referencia que las cavidades óseas tienen una etiología idiopáticas, pero se acepta ampliamente que se produce a las glándulas salivales ectópicas.
La variante del defecto en el sector anterior de la mandíbula, en la región de canino-premolar, se informó por primera vez en 1957, reportado por Richard y Ziskind. La prevalencia de esta variante va de 0.009% a 0.300% Las características radiográficas y clínicas de la variante anterior del defecto son similares a la variante posterior.
El diagnóstico del defecto óseo de Stafne convencional es sencillo debido a su ubicación única en las radiografías; Sin embargo, las variantes anteriores pueden ser mal diagnosticados y confundirse con otras entidades patológicas debido al lugar poco usual, se debe diferenciar de posibles tumores benignos (Queratoquistico, ameloblastoma uniquistico), quistes odontogénicos como (quiste radicular, el periodontal lateral), metástasis ósea.
El diagnostico puede ser realizado por radiografías convencionales pero es necesario ampliar el estudio con una tomografía volumétrica (CBCT), aunque éste examen no permite al médico examinar los tejidos blandos se puede recurrir a la Resonancia magnética (RM) con las ventajas de obtener múltiples planos de formación de imágenes y diferentes secuencias de eco y se evita al paciente a la radiación ionizante, sus principales desventajas son el costo y la distorsión del campo de artefactos. La Sialografía también se puede considerar debido al contenido de la glándula salival dentro del defecto pero su uso en la variante anterior está limitado debido a los numerosos conductos de Rivinus que son de menor diámetro, por tanto, haciendo el procedimiento más difícil de realizar.
El propósito de este artículo es describir las características radiográficas y tomográficas de la variante anterior del defecto ósea de Stafne de la mandíbula. También se discuten los métodos de diagnóstico, y las opciones de tratamiento.
Fig 1. Radiografía panorámica de un paciente de 56 años de edad quien acudió al consultorio a realizarse una evaluación integral, se muestra una imagen radiolúcida ovalada bien definido justo por debajo de los ápices de los premolares, el defecto fue un hallazgo.
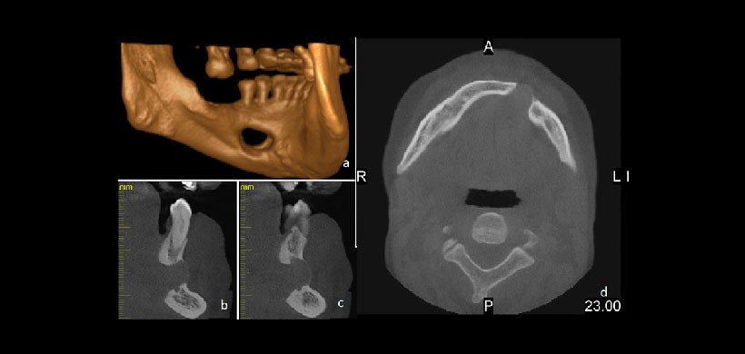
Fig 2. Las imágenes tomadas a partir del examen tomografía volumétrica (CBCT). (A) Representación tridimensional. El defecto parece haber erosionado la corteza bucal. (B, C) Las imágenes en sección transversal de la zona del defecto que muestra la relación del nervio alveolar inferior y los ápices de los dientes con el defecto. (D) Vista axial que muestra la expansión bucal causada por el defecto. A, anterior; L, izquierda; P, posterior; R, derecha.
Fig 3.Cirugía exploratoria que muestra el tejido blando lobular que es completamente diferente de un epitelio quística que cubre toda la radiotransparencia dejando a los ápices de los dientes intactos.
Fig 4. La biopsia confirmo el contenido glandular del defecto óseo.
Referencia:
- Taysi M, Ozden C, Cankaya B, Olgac V, Yıldırım S. Stafne bone defect in the anterior mandible. Dentomaxillofac Radiol 2014; 43: 20140075.
Elaborado por : C.D. Luis Alberto Cueva Principe, Mg. Esp. C.D. Andrés Agurto Huerta.






