Esta lesión fue descrita por primera vez en 1819 por Langenback, pero fue Rollet quien introdujo el término mucocele en 1896. Esta lesión generalmente se observa en los adultos y son poco frecuentes en los bebés y los niños. El mecanismo etiológico de mucocele no se entiende completamente, pero la obstrucción del ostium del seno debido a la rinosinusitis crónica, pólipos nasales, o tumores,
posiblemente resultan en una acumulación de secreciones y una la expansión de la masa.
Las cirugías previas en senos paranasales también pueden dar lugar a obstrucción y posterior desarrollo mucocele y cuando se ve en los niños, podrían estar vinculadas con fibrosis quistica. Aunque no se entiende totalmente, ha sido la hipótesis de que la mucosa en la fibrosis quística conduce a formación de mucocele.
El presente caso es de un paciente pediátrico de 5 años de edad, el cual presentó una historia de 3 años de obstrucción nasal. En el examen físico se halló una masa de tejido blando de color rosa en el lado derecho específicamente en la
fosa nasal. Su septum nasal estaba completamente desviado hacia el lado izquierdo y había una ligera masa en dicha fosa nasal.
Se optó por realizar una aspiración con aguja de la masa y se obtuvo un líquido claro con la contracción de la masa, lo que indica que la masa era una lesión quística en lugar de una
un tejido suave.
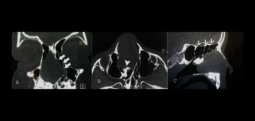
Posterior al examen clínico se realizó una tomografía computarizada de alta resolución, la cual mostró una lesión isodenza de limites definidos, al parecer originarios de la región del cornete medio y era compatible con un mucocele de cornete medio
(Figura 1A y 1B), sin embargo la lesión se limita solo en zona de senos paranasales y no involucra la base de cráneo (Figura 1C).
La presente lesión se removió mediante cirugía endoscópica de los senos, donde se encontró un extenso quiste en de la cavidad nasal, originado del cornete medio como se observó en la tomografía. Así como también la ausencia de erosión del techo del seno etomidal.
Finalmente el examen histopatológico dio como diagnostico final de mucocele sinusal, siendo realizada después de 2 meses una tomografía de control (Figura 2).
En el presente caso los estudios imagenologicos tridimensionales fueron de mucha ayuda en el campo de la otorrinolaringología, especialmente para determinar los límites y estructuras comprometidas respecto a esta lesión.
- Gaffar Aslan, Mehmet Birol Ugur and Nuray Başsüllü3 “Giant mucocele originating from the middle concha in a 5-year-old child: a case report” Sultan Qaboos Journal of Medical Case Reports 2013, 7:246
Enlace aquí
Figura 1: Tomografía computarizada de un mucocele de fosas nasales: A, corte coronal, B corte axial y C, corte sagital
Figura 2: Tomografía de control después de 2 meses de la cirugía
Autor: CD Eduardo Calle Velezmoro y MG ESP Andres Agurto Huerta




