
104 – Dens invaginatus en un canino mandibular
Diente invaginado (DI) es una anomalía del desarrollo que resulta de las invaginaciones de la superficie coronaria o de raíz del órgano del esmalte en

Diente invaginado (DI) es una anomalía del desarrollo que resulta de las invaginaciones de la superficie coronaria o de raíz del órgano del esmalte en

La tomografía computarizada de haz cónico (TCHC) es una técnica de imagen radiológica, donde los rayos X son divergentes, formando un cono. Los equipos de

La picnodisostosis es una enfermedad rara, recesiva, autosómica perteneciente al grupo de las displasias óseas. Siendo la principal etiología la consanguinidad de los padres. Esta

Es un tumor odontogénico benigno de origen epitelial y mesenquimal caracterizado por un crecimiento lento y de contenidos dentales (Esmalte, dentina, cemento y pulpa). Se

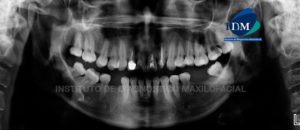
Paciente masculino de 56 años de edad acude al Instituto de Diagnóstico Maxilofacial por molestia en zona molar de lado izquierdo. A la evaluación panorámica

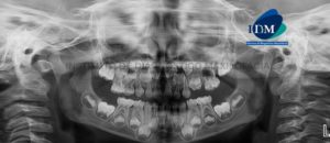
Paciente femenino de 07 años de edad, es referido al Instituto de Diagnóstico Maxilofacial – IDM para examen tomográfico por cirugía de odontoma. A la

Paciente de 26 años de edad acude al Instituto de Diagnóstico Maxilofacial para evaluación imagenológica de los incisivos superiores. A la evaluación panorámica se evidencio

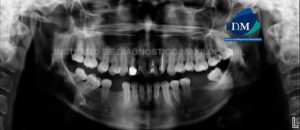
Paciente femenino de 42 años de edad, es referido al Instituto de Diagnóstico Maxilofacial – IDM para examen tomográfico de la pieza 2.6. A la

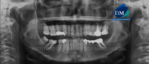
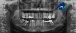
Paciente de sexo femenino de 35 años de edad acude al Instituto de Diagnóstico Maxilofacial para evaluación imagenológica de los incisivo superiores. A la evaluación

Paciente masculino de 28 años de edad, es referido al Instituto de Diagnóstico Maxilofacial (IDM) para evaluación general. A la evaluación de la tomografía volumétrica

Paciente de sexo femenino de 35 años de edad acude al Instituto de Diagnóstico Maxilofacial para evaluación imagenológica de los incisivo superiores. A la evaluación

Paciente femenino de 16 años de edad, es referido al Instituto de Diagnóstico Maxilofacial – IDM (Sede Surco) para examen tomográfico para evaluación de la

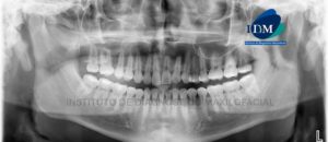
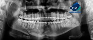
Paciente de sexo masculino 26 años de edad acude al Instituto de Diagnóstico de Maxilofacial para control post tratamiento. A la evaluación de la radiografía

Paciente masculino de 7 años de edad, es referido al Instituto de Diagnóstico Maxilofacial – IDM para examen tomográfico por presentar alteración morfológica en la

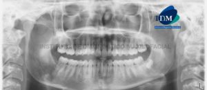
Paciente de sexo masculino con 38 años de edad, acude al Instituto de Diagnostico Maxilofacial para evaluación imagenologica de la pieza 27. A la evaluación

Paciente femenino de 67 años acude a consulta para evaluación tomográfica por lo que es referido al Instituto de Diagnóstico Maxilofacial – IDM para evaluación

Paciente femenino, 5 años de edad, es referido al Instituto de Diagnóstico Maxilofacial (IDM) para evaluación tomográfica por presencia de proceso infeccioso en el lado

Paciente de sexo femenino de 53 años de edad, acude al Instituto de Diagnóstico Maxilofacial (Sede Miraflores) por dolor a nivel de la pieza 17.

Paciente de sexo femenino de 57 años de edad acude al Instituto de Diagnóstico Maxilofacial para evaluación imagenologica de las articulaciones temporomandibulares debido a la

Paciente de sexo femenino de 57 años de edad acude al Instituto de Diagnóstico Maxilofacial para evaluación imagenologica de las articulaciones temporomandibulares debido a la
© Copyright 2025