Paciente de 26 años de edad acude al Instituto de Diagnóstico Maxilofacial para evaluación imagenológica de los incisivos superiores.
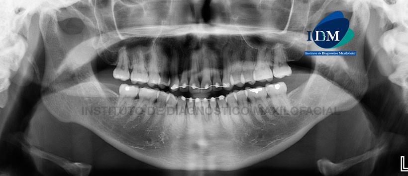
A la evaluación panorámica se evidencio la ausencia de las terceras molares, alambre de contención en el sector dentario anterior, cálculos pulpares en sector dentario posterior y múltiples restauraciones coronarias. Siendo lo mas reslatante la aparente obliteración total del conducto radicular perteneciente a la pieza 21. (Figura 1)
Posteriormente se le realizo una tomografía volumétrica de haz cónico de campo pequeño (En los cortes axiales, transaxiales y tangenciales) donde no si visualiza el conducto radicular en toda la extensión de la pieza 21. Así mismo se pudo apreciar una disminución de la longitud radicular de esta pieza, en relación a su contraparte (Pieza 1.1), dando un indicio de una leve reabsorción radicular externa. (Figura 2, Figura 3 y Figura 4)
En las reconstrucciones 3D (Figura 5, figura 6 y figura 7) se evidencia de manera ilustrativa la morfología y estructura tanto interna como externa de la pieza 21 así como su relación con las estructuras oseas y dentarias adyacentes.
Conclusión: Conducto calcificado
Paráfrasis:
La metamorfosis o conductos calcificados es una respuesta pulpar al trauma caracterizada por el rápido depósito de tejido duro en el espacio del canal. En la mayoría de los casos, la calcificación parece ser grave coronalmente, disminuyendo hacia el ápice de la raíz. Los dientes con calcificación pulpar severa y obliteración del conducto radicular pueden complicar la preparación de la cavidad de acceso y la identificación y conformación del conducto radicular, lo que conduce a una eliminación innecesaria de dentina y percances iatrogénicos como perforaciones.
En la actualidad se recomienda el uso intraoperatorio de FOV pequeño, para la identificación y localización intra-cita de los canales calcificados; sin embargo, corroborando siempre con las diferentes técnicas clínicas para la localización exacta del conducto calcificado.
Bibliografia:
- 1.- Spyros F, Miltiadous M “Intraoperative use of CBCT for identification and localitation of calcified canals: A clinical technique”. Hindawi 2017
Enlace aquí - 2.- Palacios A, Aguilar R, Guizar J “Desviacion de conducto radicular localizado con CBCT reporte de caso” Revista DM 2018; 75 (1): 45 – 49
Enlace aquí
Dpto. de Investigación IDM









