Paciente de sexo femenino de 57 años de edad acude al Instituto de Diagnóstico Maxilofacial para evaluación imagenologica de las articulaciones temporomandibulares debido a la presencia de dolor en la articulación de lado izquierdo, sobretodo al momento de la apertura bucal.
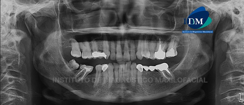
A la evaluación de la radiografía panorámica se visualiza neumatizacion alveolar de ambos senos maxilares, ausencias de piezas dentarias, presencia de pilares de puentes protésicos en las piezas 13, 15, 37 y 34, material de obturación de conductos en las piezas 26, 27, 37 y 47 así como múltiples restauraciones coronarias. Así mismo se evidencia un aplanamiento del contorno de ambos condilos mandibulares y la presencia de una imagen de densidad dentaria proyectada por delante del condilo mandibulares lado izquierdo. (Figura 1)
A la evaluación topográfica de articulación temporomandibular en apertura máxima, se evidencia leve aplanamiento del contorno de condilo mandibular de lado derecho así como una leve disminución del espacio interarticular. Sin embargo en el lado izquierdo se evidencia un proceso degenerativo con aumento de la densidad osea en ambos condilos temporomandibulares que a su vez condiciona la formación de un osteofito el cual esta fracturado y desplazado hacia el sector anterior. Además se evidencia un contacto por parte de ambas superficies oseas evidenciando la ausencia del espacio articular. (Figura 2 y Figura 3).
A la evaluación de la reconstrucciones 3D, se evidencia la morfología condilar así como la presencia del osteofito desplazado de una manera mas ilustrativa. (Figura 4, Figura 5 y Figura 6)
Conclusión: Osteoartrosis y oseteoartritis articular
Paráfrasis:
La Osteoartrosis / Osteoartritis es una enfermedad crónica no inflamatoria caracterizada por un deterioro progresivo de las superficies articulares, con remodelación osea adyacente y usualmente es el resultado de desordenes internos,, mayoritariamente asociados a desplazamiento discal sin reducción. El termino osteoartrosis enfatiza la naturaleza degenerativa de la enfermedas, mientras que la osteoartritis hace referencia al componente inflamatorio que acompaña al proceso degenerativo y se asocia clínicamente a la presencia de dolor.
Esta entidad se caracteriza por un deterioro de las superficies articulares, las cuales presentan signos degenerativos como :
- Alteración de la forma
- Aplanamiento de superficies
- Erosión o aspecto irregular
- Esclerosis subcondral
- Formación de osteofitos
- Disminución del espacio articular
Teniendo esto en consideración, la tomografía volumétrica de haz cónico es la herramienta ideal para evaluar solo las estructuras oseas correspondientes de la articulación temporormandibular.
Bibliografia:
- Concha G, “Imágenes por resonancia magnetica de la articulacion temporomandibular” Revista HCUCh 2007; 18: 121 -30
Enlace aquí - Meghan M, Regina B, Kyriacos A, “Temporomandibular Joint Disorders: A review of Etiology, Clinical management, and Tissue engineering Strategies” Ind j Oral maxillofac Impplants 2013 Nov – Dec; 28 (6): 393 – 414
Enlace aquí
Dpto. de Investigación IDM








