Paciente de sexo masculino 26 años de edad acude al Instituto de Diagnóstico de Maxilofacial para control post tratamiento.
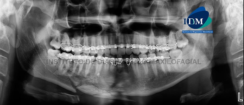
A la evaluación de la radiografía panorámica se visualizan fracturas con desplazamiento de ambos condilos mandibulares, neumatizacion de ambos senos maxilares, múltiples trazos de fractura a nivel de zona sinfisiaria y parasinfisiaria con desplazamiento de fragmentos, lecho alveolar de la pieza 38, arco de fijación bimaxilar y ausencia de la pieza 32. (Figura 1)
Se decidió ampliar estudio con tomografía volumétrica de haz cónico (de campo amplio) donde se pudo visualizar fractura completa de ambos condilos mandibulares con desplazamiento de estos hacia la parte interna, así mismo hubo fractura con desplazamiento hacia la parte interna de la apofisis corornoides de lado izquierdo. Si bien en la radiografía panoramica se pudo visualizar los trazos de fractura en zona sinfisiaria y parasinfisiaria de lado derecho, en la tomografía se encontró que dicha fractura había comprometido mas la zona vestibular ocasionado un desplazamiento en bloque de la tabla osea vestibular juntos con los segmentos radiculares de las piezas 45 y 46 . (Figura 2, Figura 3 y Figura 4)
En las reconstrucciones 3D se realizo una reformación panorámica (Figura 5) para tener una visualizacion general 3D de dicha lesion. Asi mismo se pudo visualizar de manera ilustrativa las alteraciones previamente descritas, las cuales brindan un mejor entendimiento tridimensional de las regiones anatómicas comprometidas. (Figura 6, Figura 7, Figura 8 y Figura 9)
Conclusión:
- Fractura completa de ambos cóndilos mandibulares con desplazamiento hacia la parte interna
- Fractura completa de apófisis corornoides de lado izquierdo con desplazamiento interno
- Fracturas múltiples de sínfisis y parasínfisis mandibular de lado derecho con desplazamiento de fragmentos (Hueso medular, hueso cortical y segmentos radiculares), a predominio de tabla osea vestibular.
Paráfrasis:
El trauma maxilofacial es potencialmente mortal debido a su asociación con lesiones espinales, intracraneales, desplazamiento de estructuras oseas sobre tejidos blandos, etc. Con la mejora de la tecnología de TC, la tomografía multidetector se ha convertido en el estándar de atención para la evaluación de pacientes con trauma facial agudo. Sin embargo debido a la alta intensidad en la radiación que esta emite sumado a la falta de detalle en las estructuras oseas hacen que la tomografía volumétrica de haz cónico sea la herramienta ideal en la evaluación de los traumatismos faciales a nivel de tejidos duros.
Así mismo las reconstrucciones 3D que la CBCT nos brinda, permiten al clínico tener un mejor panorama y entendimientos de las estructuras oseas afectadas.
Bibliografia:
- Grehushkim V, Boroda K, Chaudhry A, Eisenberg J, Reevaluating the utility of maxillary sinus opacification as a screening tool for facial bone fracture a decade after its original analysis. Cureus 2016; 8(2): 487
Enlace aquí - Dsouza N, Mainprize J, Edwards G, Binhammer P, Antonyshyn O. Teaching facial fractue repair: A novel of surgical skills trainign using three-dimensional biomodels. Plast Surg (Oakv) 2015, 23 (2): 81 – 86
Enlace aquí
Dpto. de Investigación IDM











