Paciente femenino, 5 años de edad, es referido al Instituto de Diagnóstico Maxilofacial (IDM) para evaluación tomográfica por presencia de proceso infeccioso en el lado izquierdo del maxilar superior.
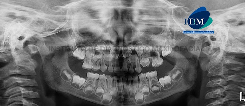
En la radiografía panorámica (Figura 1) se observa alteración en la morfología de piezas 6.4 y 6.5. A nivel de la pieza 6.5 se aprecia un proceso osteolítico periapical. No se visualizan los gérmenes dentarios de las piezas 2.4 y 2.5. También se visualiza presencia de aparentes dentículos a nivel interadicular de piezas 6.1 y 6.2 a nivel coronario del germen de la pieza 2.2
A la evaluación de la tomografía volumétrica (CBCT) cortes axiales (Figura 2), transaxiales (Figura 3, 4 y 5) y tangenciales (Figura 6), se aprecia la presencia de dentículos delimitado por un halo hipodenso localizado a nivel del borde incisal del germen dentario de pieza 2.2 y a nivel de la tabla ósea vestibular. Se evidencia la alteración morfológica de piezas 6.4 y 6.5 caracterizada por evaginación asociado a cúspide supernumeraria de pieza 6.4, invaginación en pieza 6.5 y aumento del tamaño dentario. Presencia de caries en pieza 6.5 asociado a proceso osteolítico peri-radicular con aumento de la densidad ósea circundante (osteítis condensante) (Figura 7). Como hallazgo se observa también contenido isodenso en el antro del seno maxilar izquierdo.
En las reconstrucciones 3D se observan con detalle las alteraciones morfológicas y el proceso infeccioso (Figura 8, 9 y 10).
Conclusiones:
- Piezas 6.4 y 6.5 macrodoncia, presencia de cúspides supernumerarias, dens evaginatus en pieza 6.4 y dens invaginatus en pieza 6.5, asociado a agenesia de los gérmenes dentarios de piezas 2.4 y 2.5.
- Proceso osteolítico peri-radicular de pieza 6.4 con osteítis condensante.
- Probable sinusitis odontogénica del seno maxilar izquierdo.
- Presencia de odontoma compuesto a nivel coronario de pieza 2.2
Paráfrasis
Las anomalías dentales son una variación de la estructura dentaria. Tiene origen multifactorial y muy comúnmente son un hallazgo clínico o radiológico, dependiente la afectación del tiempo de la odontogénesis las alteraciones comprometerán a la dentición primaria, permanente o a ambas.
El Dens invaginatus, es una anomalía que se genera durante etapas tempranas, se produce como consecuencia de una invaginación del epitelio interno del órgano del esmalte, dentro de la papila dental, su incidencia varia de 0.25 a 6.9% tanto en dientes deciduos o en permanentes.
El Dens evaginatus es un rasgo dental poco usual que se presenta en forma de un tubérculo, en la cara oclusal de los dientes posteriores, se caracteriza por una capa de esmalte que recubre el núcleo de dentina que contiene una evaginación de tejido pulpar.
La agenesia dental es la ausencia de uno o mas dientes, es una anomalía de desarrollo común en ambas denticiones, resultado de un trastorno de la lamina dental que impide la formación del germen dental, su prevalencia varia de 3.5 a 6.5%.
Referencias:
- 1.- Masías R. Prevalencia de anomalías dentales en forma, tamaño y número en pacientes de 3 a 6 años de edad con dentición decidua que asistieron a la clínica docente de la UPC durante los años 2012-2014 [tesis en internet], [Lima]: Universidad Peruana de Ciencias aplicadas (UPC) 2018. Disponible en:
Enlace aquí - Giancinti M, et al. Dens invaginatus. Caso Clínico. Electronic Journal of Endodontics Rosario 2008; 2: 239-242.
Enlace aquí
Dpto. de Investigación IDM












