101 – La microtomografía en el diagnóstico del odontoma complejo

Indice del articulo

Es un tumor odontogénico benigno de origen epitelial y mesenquimal  caracterizado por un crecimiento lento y de contenidos dentales (Esmalte, dentina, cemento y pulpa). Se considera una malformación de tipo tumoral (hamartoma), no una verdadera neoplasia, en la que todos los tejidos dentales están representados.

Basado en radiográfica y las características microscópicas, los odontomas se subdividen en los tipos compuesto y complejos. El tipo compuesto se caracteriza por tener  estructuras en forma de dientes dispuestos de manera ordenada y el tipo complejo se caracteriza por tejidos dentales en un patrón desordenado.

El diagnóstico se puede establecer radiográficamente, pero la tomografía computarizada de haz cónico (CBCT) ha jugado un papel importante en el diagnóstico y en la identificación de las lesiones, lo que ayuda en la planificación del tratamiento. Sin embargo la  alta resolución que brinda la  microtomografía computarizada (Micro-CT) se utiliza cada vez más en temas de investigación. Esta nueva tecnología permite el análisis tridimensional con una mejor resolución espacial en comparación con CBCT.  Además, una gran ventaja de la micro-CT es que al realizar una adquisición de una muestra patológica, esta no necesita especial preparación; la única demanda es que es lo suficientemente pequeño para ser montado en el escáner. Una amplia gama de muestras pueden ser examinadas directamente incluidos los tejidos mineralizados, tales como los dientes y los huesos y materiales tales como cerámicas, polímeros, y biomateriales. Los datos proporcionados por la micro-TC incluyen la evaluación de la concentración mineral de los dientes con gran precisión, y la evaluación de la densidad mineral, todo ello sin la muestra destruida a diferencia del examen histopatológico

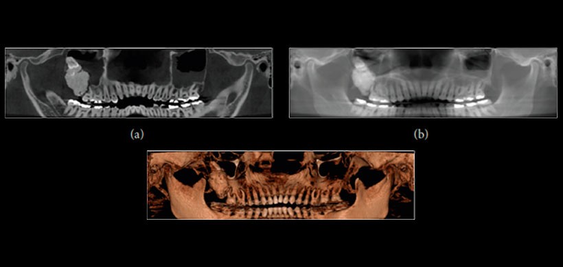
El presente reporte es un paciente de sexo masculino que  fue remitido al Departamento de Cirugía Oral y Maxilofacial, Universidad de Montes Claros, con la principal queja de dolor en la región posterior de la maxilar derecho. Las reformaciones panorámicas y los cortes obtenidos de la CBCT mostraron una masa radiopaca irregular rodeada por una distinta llanta radiolúcida asociada con el tercer molar superior derecho, en estrecha relación con el seno maxilar.  (Figura 1 y Figura 2) Posterior a la cirugía, se realizó un escaneo de micro – CT de la muestra obtenida y se obtuvo la adquisición usando una máquina SkyScan 1172 (Bruker SkyScan , Aartselaar , Bélgica ). En la cual se observó material en la periferia de la lesión ( Figuras 3 ( b) y 3 ( c) , flechas blancas ), que es compatible con esmalte de los dientes y áreas hipodensas (Figuras 3 (b) y 3 (C), flechas negras)  compatibles con el tejido de la pulpa siendo el diagnóstico definitivo  de odontoma complejo .

La micro -CT permitió la evaluación de la muestra similar a la histopatología, sin destrucción del tejido. Siendo este tipo de tecnología una poderosa herramienta no solo en investigaciones futuras sino también en el diagnóstico de algunas patologías.

  1. Santos L, Lopes L, Roque G, Oliveira V y Freitas D. “Complex Odontoma: A Case Report with Micro – Computed Tomography Findings” Hindawi Publishing Corporation 2016
    Enlace aquí

Figura 1: Reformaciones panorámicas de la tomografía volumétrica de haz cónico

Figura 2: Cortes axiales, sagitales y coronales de la tomografía volumétrica de haz cónico

Figura 3 : (a) Histopatología del odontoma. (b – c) imágenes micro – TC del odontoma complejo. (b) Sin zoom. (C) Con el zoom .


Autor. CD Eduardo Calle Velezmoro, Mg Esp. Andrés Agurto Huerta

Picture of Dr. Eduardo Calle Velezmoro
Dr. Eduardo Calle Velezmoro

Casos relacionados

Deja una respuesta

Tu dirección de correo electrónico no será publicada. Los campos obligatorios están marcados con *