El término fascitis necrotizante fue descrito inicialmente por Wilson En los años 50. Siendo una enfermedad de propagación rápida de los tejidos blandos, que incluye la fascia superficial y la capa de tejido subcutáneo. La fascitis necrotizante está asociado con algunas enfermedades como la diabetes mellitus, enfermedad renal crónica, período postparto, alcoholismo, uso de drogas intravenosas, malnutrición, enfermedad vascular periférica y exposición a la radiación. El diagnóstico de fascitis necrotizante se basa en características que incluyen progresión fulminante, áreas necróticas y fácil separación de la superficie con capas de tejido subyacente.
Esta entidad puede emerger de una región local de una infección después de un trauma, que conduce a la entrada del sitio de la infección. La etiología exacta de un tercio de la fascitis necrotizante no es clara y si no es diagnosticada y tratada tempranamente, es potencialmente una enfermedad fatal. Esta situación se basa en la ausencia de hallazgos clínicos, la progresión rápida de la enfermedad y el retraso de la intervención quirúrgica. Por lo tanto, la experiencia en el diagnóstico y tratamiento de la fascitis necrotizante es bastante limitado. En la región de cabeza y cuello hay dos tipos de fascitis necrotizante que son la que comprometen el área cervical y la que afecta a la zona creaneofacial. Las tasas de mortalidad por fascitis necrotizante oscilan entre el 7% y el 20% dependiendo de la envergadura de la lesión cervical. Este reporte de caso se presenta debido a que, a diferencia de la mayoría de los demás casos, este es de origen no-odontogénico, inducida por una sialodenitis.
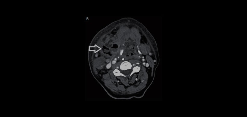
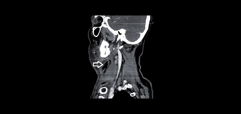
Paciente masculino de 66 años con quejas de fiebre, hinchazón en el cuello, enrojecimiento y falta de aliento. No se conoció diabetes o inmunodeficiencia en este caso. Al examen físico reveló una inflamación media que fue aproximadamente 10 cm de dimensión y era más grande de lado derecho del cuello. En el examen de laringoscopio las cuerdas vocales eran edematosas y tenían movimiento normal. La tomografía computarizada de cuello (CT) mostró sialoadenitis submandibular derecha y absceso inducida por un cálculo intraductal. (Figuras 1-3).
Como conclusión se llego al diagnóstico de Fascitis Necrotizante cervical, siendo la base del diagnóstico el estudio imagenológico que en esta ocasión se usó la Tomografía Computarizada.
Referencia: Enlace aquí
Autor. CD Eduardo Calle, Mg. Esp. Andrés Agurto





