Las cavidades, depresiones y defectos óseos mandibulares a menudo se han descrito en relación con el desarrollo de las glándulas salivales. Fueron descritos por primera vez por Stafne en 1942 y ahora se acepta generalmente que tienen un origen en el desarrollo de las glándulas salivales. En este sentido, las glándulas submandibulares y sublinguales han sido más comúnmente investigado que la glándula parótida, que es la de mayor tamaño de todas las glándulas salivales.
Algunos investigadores han encontrado una asociación de tejidos grasos y los vasos sanguíneos con cavidades de los huesos mandibulares, mientras que otros han informado, mediante tomografía computarizada (TC) y la sialografía, que la cavitación es resultado de la compresión del tejido de la glándula salival durante el desarrollo de la mandíbula a partir de cartílago de Meckel. Los hallazgos en cadáveres han demostrado la posibilidad de
depresiones de las glándulas salivales en la región correspondiente aunque en menor frecuencia a nivel de la glándula parótida, aunque se han reportado tales defectos que se encuentra por arriba de la rama ascendente. Un defecto en el desarrollo de las glándulas salivales en la rama ascendente fue reportado por primera vez mediante el uso de la tomografía cone beam (CBCT), ellos
atribuyeron la formación del defecto de la rama a la falta de osificación de la mandíbula y no a una relación de desarrollo con la glándula salival. El defecto o
depresión en el presente caso parece haber sido más definida, singular, y situado en la rama más alta que la lesión descrita por Campos et al. Estos autores presentan los resultados obtenidos utilizando imágenes tanto panorámica y CBCT.
En base a la ubicación, la presentación, la edad y el sexo de los pacientes reportados con el defecto a nivel de la rama, llegamos a la conclusión de que generalmente se tratan de casos que podría estar relacionado con la glándula parótida, vasos sanguíneos, tejido graso, o la mayor parte probablemente una combinación de ambos tejidos (tejido graso y vasos sanguíneos). Tres de estos casos han sido reportados previamente en la literatura.
La sialografía se puede considerar debido a la proximidad de la glándula parótida a la lesión, y puede ser recomendado especialmente en la presencia de inflamación glandular.
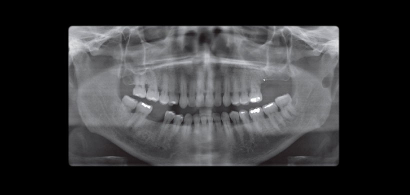
Fig 1. Radiografía panorámica muestra la depresión cortical bien en la rama ascendente izquierda.
Fig 2. Tomografía computarizada de haz cónico. Reconstrucción panorámica y vista muestran la depresión cortical bien en la rama. Tenga en cuenta la ubicación lingual de la concavidad.
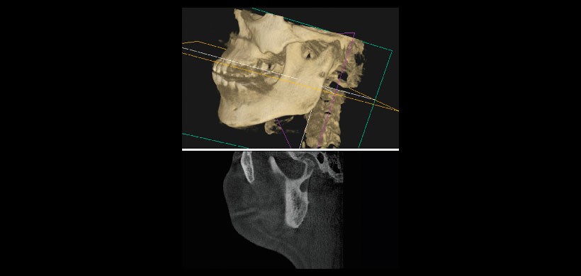
Fig 3. Tomografía computarizada de haz cónico. Reconstrucción en 3 dimensiones
de la mandíbula y el maxilar superior muestra la depresión lingual a través de la cara vestibular adelgazado o perforada de la rama mandibular izquierdo. Corte sagital del lado izquierdo muestra los detalles de la concavidad (parte inferior).
Fig 4. Tomografía computarizada de haz cónico. Vista axial muestra la depresión a nivel de la rama mandibular izquierda
Referencia:
1.- Chen CA, Ahn Y, Odell S, Mupparapu M, Graham DM. Developmental salivary gland depression in the ascending mandibular ramus: A cone-beam computed tomography study. Imaging Science in Dentistry. 2016;46(3):223-227. doi:10.5624/isd.2016.46.3.223.
Elaborado por : C.D. Luis Alberto Cueva Principe, Mg. Esp. C.D. Andrés Agurto Huerta.






