202 – Quiste dentígero mandibular

Paciente de sexo femenino de 40 años de edad acude al Instituto de Diagnóstico Maxilofacial para evaluación imagenológica de terceras molares.

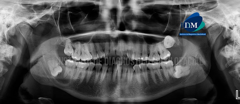
A la evaluación de la radiografía panorámica se aprecia un leve aplanamiento del contorno de ambos cóndilos mandibulares, apiñamiento dentario anterior, múltiples restauraciones, piezas 18 impactadas mesioangulada, la pieza 28 retenida en posición transversa, la piezas  38 impactada en posición horizontal en relación a la cara distal de la piezas  37. Siendo lo mas resaltante la presencia de una imagen radiolúcida de forma redondeada localiza en cuerpo mandibular derecho,  asociado a la pieza 48, que condiciona la perdida de lamina dura la raíz distal de la piezas  47 así como un desplazamiento del conducto dentario inferior hacia la basal mandibular. (Figura 1)

Posteriormente se realizó una tomografía volumétrica de haz cónico en la cual pudimos determinar que dicha entidad presenta un volumen de 1.295 cm3. En los cortes transaxiales y tangenciales evidenciamos un compromiso de la cima de reborde alveolar (por distal de la pieza  37), adelgazamiento de ambas tablas óseas a predominio de la lingual y confirmando lo previamente descrito en la radiografía panorámica. (Figura 2, Figura 3 y Figura 4)

En las reconstrucciones 3D pudimos evidenciar de manera ilustrativa esta entidad (color verde) en relación con la piezas 48 (color morado) y con el conducto dentario inferior (color blanco). Brindándonos una mejor percepción tridimensional de los previamente descrito. (Figura 5, Figura 6 y Figura 7)

Conclusión:

  • Quiste dentígero asociado a la pieza 48.

Paráfrasis:

El quiste dentígero es una entidad patológica que se presenta en maxilar o mandíbula, es una cavidad ósea revestida por epitelio presentando contenido líquido en su interior, relacionado a la corona de un diente no erupcionado. El sitio de predilección es la mandíbula, asociado a los terceros molares y caninos no erupcionados principalmente.

Las características clínicas son: expansión cortical, deformidad facial, obstrucción de la erupción dental, desplazamiento dentario y dolor. Radiográficamente se presenta como una cavidad ósea unilocular radiolúcida, delimitada por un borde radiopaco bien definido, con la presencia de un diente incluido.

Histológicamente está revestido por epitelio escamoso estratificado no queratinizado, el quiste dentígero de larga evolución puede presentar cambios displásicos en su revestimiento epitelial.1-3 El diagnóstico diferencial incluye: queratoquiste, ameloblastoma uniquístico, tumor odontogénico adenomatoide y fibroma ameloblástico.

Bibliografía

  1. Enlace aquí
  2. Enlace aquí

Equipo de Investigación IDM

Casos relacionados

Deja una respuesta

Tu dirección de correo electrónico no será publicada. Los campos obligatorios están marcados con *