Paciente masculino de 64 años acude al Instituto de Diagnóstico Maxilofacial para la evaluación imagenológica de control.
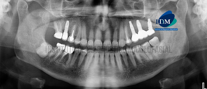
A la evaluación de la radiografía panorámica se evidencian múltiples implantes con prótesis sobre implantes, múltiples coronas protésicas, presencia de material de obturación de conducto en piezas 17 y 47, además de las piezas 15 y 46 material de obturación de conductos, espigos y corona protésica con proceso osteolítico en zona apical. Siendo lo mas resaltante la pieza 48, la cual esta retenida en posición mesioangulada con un aumento de la densidad radicular. (Figura 1)
En la evaluación mediante tomografía volumétrica de haz cónico se evidencia que dicha pieza además de estar retenida se encuentra orientada hacia lingual. Así mismo se evidencia una hipercementosis en ambos segmentos radiculares con un borramiento del espacio del ligamento periodontal, convergencia apical y finalmente se encuentra en estrecha relación con el conducto dentario. (Figura 2, Figura 3 y Figura 4)
En las reconstrucciones 3D se evidencio la estructura dentaria previamente descrita de manera ilustrativa. (Figura 5, Figura 6 y Figura 7)
Conclusión:
- Pieza 48 retenida con hipercementosis radicular y probable anquilosis dentaria.
Paráfrasis
El depósito de cemento secundario en el ápice radicular, más común de observar, es lento y sostenido a lo largo de la vida útil del diente. Su función es compensar el desgaste oclusal manteniendo a las piezas dentales en contacto determinando el plano de oclusión (Abramovich, 1999). Según su ubicación se denomina:
- Apical: al que se encuentra, mas frecuentemente, en el ápice y tercio apical de la raíz Su aspecto histológico puede ser de capas de cemento dispuestas en láminas ordenadas o irregulares con abundantes cementocitos, líneas de reposo oblicuas o incurvadas con respecto del eje mayor de la raíz, con vasos incluidos o bien tener el aspecto de los sistemas de Haver del tejido óseo compacto (Cabrini, 1980). Se considera que factores locales como falta de antagonista, traumatismo e inflamación periodontal crónica influyen en su aparición la que también puede ser ocasionada por la enfermedad de Paget (Thoma, 1984). Este tipo de hipercementosis puede hallarse en uno o varios dientes, siendo mas común en premolares, en personas adultas jóvenes y mayores; como la vitalidad pulpar no está comprometida suele ser un hallazgo casual por radiografía o extracción dentaria (Monahan, 1994).
- Cementosis difusa: que es más difícil de observar, se puede presentar con formas ovoide o esférica y estar ubicada en otra zona de la raíz, por ejemplo en tercios medio y cervical. Esta provoca una deformación definida, histológicamente semejante a la apical la cual ha sido relacionada con la enfermedad de Paget
Bibliografía:
Equipo de Investigación IDM









