Paciente de sexo masculino de 15 años de edad acude al Instituto de Diagnóstico por Imágenes para evaluación imagenológica debido a la ausencia clínica de la pieza 21.
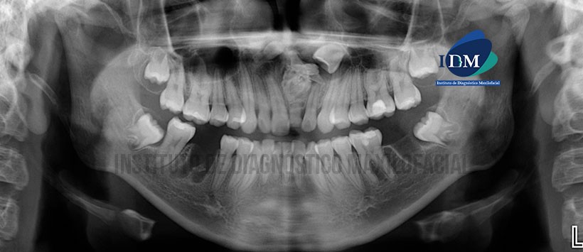
A la evaluación de la radiografía panorámica se aprecia las terceras molares en evolución intraosea, ausencia de piezas 36 y 46 con presencia de sus lechos alveolares en proceso de cicatrización, múltiples restauraciones y persistencia de la pieza 61. Sin embargo lo mas resaltante es la presencia de un odontoma compuesto de gran tamaño localizado en la zona anterosuperior, condicionando la correcta erupción e la pieza 21 y también se evidencio la presencia de una pieza supernumeraria en posición invertida próxima al odontoma. (Figura 1)
A la evaluación de la tomografía volumétrica de haz cónico (Figura 2, Figura 3 y Figura 4) se evidencio de dicho odontoma esta de manera equidistante en relación a ambas tablas oseas (lingual y vestibular) ocasionando un leve desplazamiento del conducto nasopalatino, también se pudo determinar que el segmento coronario de la pieza supernumeraria previamente mencionada esta orientada hacia la tabla osea vestibular. Adicionamente se halló otra pieza suernumeraria la cual impide la continuidad de la sutura palatina y su segmento coronario orientado hacia palatino. Finalmente la pieza 21 esta en una posición horizontal con el segmento coronario hacia vestibular presentando un aumento del espacio pericorornario lo cual indica una posible hiperplasia folicular vs una posible lesion quística en formación (quiste dengiero).
Finalmente en las reconstrucciones 3D se puede evidenciar los hallazgos previamente mencionado de manera ilustrativa y exacta. (Figura 5, Figura 6 y Figura 7)
Conclusión:
- Odontoma compuesto
- Dos piezas supernumerarias
- Pieza 21 impactada en posición horizontal, orientada hacia vestibular con un aumento del espacio pericorornario.
Parafrasis:
La presencia de dientes supernumerarios, erupcionados o no, puede causar varios problemas en la oclusión por impedir o retrasar la erupción normal de los dientes permanentes, o hasta ocasionar una erupción ectópica. También pueden causar reabsorciones dentarias, pericoronitis, síntomas neurológicos como parestesia y dolor, etc. Pueden presentarse como dientes únicos, múltiples o asociados a síndromes
El odontoma complejo es considerado una neoplasia benigna de origen odontogénico, que se caracteriza por tener tejidos dentarios desorganizados. Su etiología se debe a una alteración durante el periodo de inicio y proliferación de la odontogénesis (estadio de brote y casquete), estadios que se caracterizan por la inducción del ectodermo oral por el ectomesénquima.
Sus características clínicas son similares al odontoma compuesto, salvo que tiende a ser más común en la región de los molares, y el odontoma compuesto es más de la región anterior (incisivos, caninos). Radiográficamente se aprecia como una sombra radiopaca bien delimitada. Histológicamente aparece como una masa de tejido dentario con restos de matriz del esmalte, dentina, cemento y tejido pulpar dispuestos en forma desordenada en forma desordenada
Referencias:
- Flores R, Simon E, Yañez R, Torres D, Gutierres J “Odontoma compuesto asociado a canino permanente inferior incluido” Gaceta Dental 2013 120 -125
Enlace aquí
Dpto. de Investigación IDM









