132 – Tratamiento de la reabsorción radicular interna idiopática perforante: controles radiográficos

Indice del articulo

La reabsorción radicular interna (RRI) es una afección inflamatoria que resulta en la destrucción progresiva de la dentina intra-radicular a lo largo de los tercios medio y apical de las paredes del conducto radicular debido a la acción osteoclástica. Es relativamente raro en la ocurrencia, y la etiología y la patogénesis de la lesión no han sido completamente establecidos en comparación con la reabsorción radicular externa.

La RRI puede ser asintomática y puede presentarse en exámenes radiológicos de rutina. El paciente podría experimentar síntomas de pulpitis en la etapa inicial. En una etapa posterior, el sistema del conducto radicular puede llegar a ser necrótico y el paciente podría eventualmente desarrollar síntomas de periodontitis perirradicular.

La exactitud diagnóstica de la reabsorción radicular interna se basa en el examen radiográfico convencional, siendo ésta limitada por el hecho de que las imágenes producidas sólo proporcionan una representación bidimensional del objeto tridimensional. La imagen radiográfica es incapaz de revelar la ubicación y la naturaleza del defecto de reabsorción, así como el grosor de la dentina del conducto radicular restante. Además, las estructuras anatómicas podrían superponerse y la imagen podría ser distorsionada. La introducción de la tomografía computarizada de haz cónico (CBCT) en endodoncia ha mejorado el diagnóstico radiográfico y el manejo de las lesiones por reabsorción. CBCT proporciona información como el tamaño, la forma y la naturaleza de la lesión, incluyendo perforaciones de raíz.

Este relato de caso describe el manejo exitoso de una IRR perforada idiopática asociada con dos dientes anteriores.

Varios informes de casos y estudios han confirmado la utilidad de CBCT en el diagnóstico y tratamientos de lesiones de reabsorción radicular. Aunque el diagnóstico de la RRI se realiza principalmente con base en la radiografía periapical, faltan ciertas informaciones. En el caso presentado, la complejidad de la lesión reabsortiva con presencia de perforación fue claramente visible en las imágenes en la CBCT. Esta valiosa información demostró ser extremadamente útil en el diagnóstico, haciendo un plan de tratamiento adecuado.

El presente reporte de caso tenía la intención de compartir información sobre el manejo de la reabsorción radicular interna idiopática, el uso de CBCT en el proceso de toma de decisiones y MTA como el material de elección para tratar la perforación de la raíz. Diagnosticar los tipos de lesión de reabsorción de la raíz es un desafío ya que la presentación clínica y radiográfica podría ser similar. La tomografía volumétrica ha sido muy beneficioso en la evaluación y el manejo de la perforación de la reabsorción interna de la raíz. En la reabsorción radicular interna, cuando el tratamiento endodóncico es adecuado, la lesión puede detenerse y la evidencia de curación ósea se puede ver radiográficamente.

Figura 1: A) Radiografía preoperatoria; B) Revisión de un año de la pieza  22; C) Postoperatorio del diente 11 lleno de MTA; D) Nueve meses de revisión después de la cirugía del diente 11

Figura 2: A) Corte axial que demuestra la perforación de la superficie palatina de la raíz de la pieza 1.1; B) Corte axial que demuestra perforación de la superficie bucal de la raíz; C) Corte axial que muestra una perforación de la tabla ósea vestibular; D) Corte sagital mostrando la localización y extensión de la lesión reabsortiva.

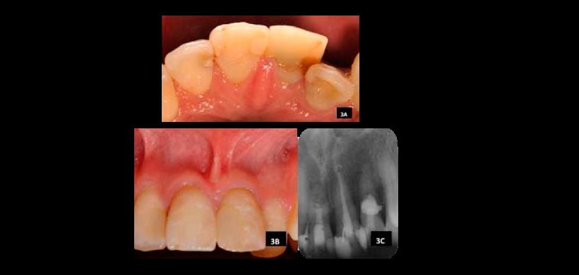
Figura 3: A) Vista palatina de los dientes 11 y 22; B) Vista bucal de la pieza 11 y 22; C) Radiografía periapical tres años después de la terminación del tratamiento

Referencia:

  1. Abdullah, D., Eziana Hussein, F., & Abd Ghani, H. (2017). Management of Perforating Idiopathic Internal Root Resorption . Iranian Endodontic Journal12(2), 257–260.
    Enlace aquí
Picture of C.D. Luis Alberto Cueva
C.D. Luis Alberto Cueva
Cirujano Dentista titulado de la Universidad Particular de San Martín de Porras. Miembro del Staff del Instituto de Diagnóstico Maxilofacial (IDM). Miembro del Colegio Odontológico del Perú. Cirujano Dentista en el Ministerio de Salud (MINSA). Autor del Artículo Científico en Colonización Microbiana de la cavidad bucal en Neonatos nacidos en el Instituto Nacional materno Perinatal, así como los factores que la condicionan. Rev. Peru. Investig. Matern. Perinatal. 2014; 3 (1): 8-12. Idioma Portugués cursado en el Centro Cultural Brasil - Perú CCBP.

Casos relacionados

Deja una respuesta

Tu dirección de correo electrónico no será publicada. Los campos obligatorios están marcados con *