
061 – Carcinogenicidad del Consumo de Carne Roja y de la Carne Procesada
El Centro Internacional de Investigaciones sobre el Cáncer (CIIC) forma parte de la Organización Mundial de la Salud (OMS). Su misión es coordinar y realizar

El Centro Internacional de Investigaciones sobre el Cáncer (CIIC) forma parte de la Organización Mundial de la Salud (OMS). Su misión es coordinar y realizar

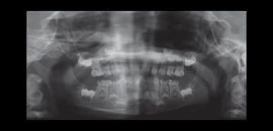
El Querubismo es un desorden infrecuente de herencia autosómica dominante, que se manifiesta en la infancia temprana, y se caracteriza por una progresiva proliferación ósea

La articulación temporomandibular (ATM) se define como el área en la que la mandíbula se articula con el hueso temporal del cráneo. Sin duda, es

La sialografía digital convencionalmente se ha considerado el “gold estándar” para la representación de la enfermedad ductal de la glándula salival. La sialografía digital puede

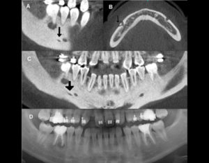
El granuloma central de células gigantes (GCCG) fue identificado por Jaffe en 1953 por primera vez. La Organización Mundial de la Salud (OMS) ha definido

La nanotecnología se ha expandido rápidamente en todas las áreas de la ciencia; ofrece formas alternativas significativas para resolver problemas científicos y médicos. En odontología,

El ameloblastoma es un tumor odontogénico epitelial poco común que es no mineralizado, localmente agresivo, y, en la mayoría de los casos, benigna. Este tumor

El foramen mentoniano (FM) es la abertura a través de la cual el van dentario inferior sale de la mandíbula y por lo general se

La apófisis estiloides es una delgada estructura ósea que sobresale hacia abajo y hacia delante de la superficie inferior del hueso temporal, anteromedialmente al foramen

El éxito del tratamiento pulpar en dientes primarios depende de la selección adecuada de casos, de un buen desbridamiento y de la elección adecuada del

Las causas del trauma maxilofacial varían entre los diferentes países y niveles socioeconómicos, pero incluyen principalmente los accidentes de tráfico, accidentes domésticos, caídas, lesiones deportivas,

La periodontitis es una enfermedad multifactorial de los cuales la placa bacteriana es reconocida como el principal agente etiológico en la iniciación y progresión de

La reabsorción radicular externa (RRE) se define como la pérdida de tejido dental mineralizado, estructuras tales como el cemento, la dentina, e incluso el hueso

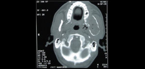
Los tonsilolitos o piedras son cálculos únicos o múltiples encontradas en las criptas amigdalinas que se encuentran de manera unilateral o bilateral. Un informe de

Mientras que la radiografía periapical es considerado como una herramienta de diagnóstico auxiliar importante en la odontología, la cantidad de radiación emitida durante el examen

La osteomielitis multifocal recurrente crónica (OMRC) es un trastorno inflamatorio aséptica poco común. Se caracteriza por lesiones óseas con presencia de dolor e inflamación con

El liquen plano es una enfermedad autoinmune mucocutánea, que se caracteriza por un proceso inflamatorio crónico inespecífico, lo que conduce a una intensa destrucción de

En los últimos años existe un mayor interés en el conocimiento de la morfología y las verdaderas dimensiones de las vías respiratorias superiores, esto debido

A pesar de que la morfología de los tejidos blandos que rodean los dientes desempeñan un papel fundamental en la estética sobre todo en el

Una diferenciación temprana y precisa de los tumores malignos de la lengua a partir de las lesiones benignas es fundamental para la planificación del tratamiento
© Copyright 2025