Los tonsilolitos o piedras son cálculos únicos o múltiples encontradas en las criptas amigdalinas que se encuentran de manera unilateral o bilateral. Un informe de revisión de la literatura determinó la ubicación exacta del tonsilolito, mostrando que en el 69,7% de los casos se localizan en el tejido de las amígdalas, el 21,2% en la fosa amigdalina y el 9% en el paladar blando. La prevalencia de tonsilolitos en la población en un margen de edad de 10 a 77 años es de hasta un 16%.
Los cálculos se componen de sales de calcio tales como hidroxiapatita, carbonato cálcico de apatita, oxalatos y otras sales de magnesio. Pueden variar en tamaño, midiendo desde un tamaño determinado solo microscópicamente hasta unos pocos centímetros de diámetro. Un estudio histológico que examinó amígdalas extirpadas, encontró que el tamaño microscópico estaba presente en un 8% de las muestras, mientras que el tamaño intermedio (hasta 7 mm) se encontró en 2% de las muestras. Los tonsilolitos pequeños suelen ser asintomáticos y tienen poca importancia clínica. Mientras los tonsilolitos de mayor tamaño, que son extremadamente raros, pueden medir varios centímetros de diámetro y dan como resultado una sintomatología clínica tales como disfagia, otalgia, la halitosis crónica y sensaciones de cuerpo extraño.
El diagnóstico diferencial de los tonsilolitos y sobre todo de los que tiene un tamaño importante incluyen: flebolitos, calcificaciones de los ganglios linfáticos, la tuberculosis, enfermedades granulomatosas crónicas, procesos estiloides alargadas, proceso hamular prominente, cuerpos extraños, dientes heterotópicos en tejido blando, absceso periamigdalino y neoplasias.
Hoy en día, una exploración clínica detallada al oído, nariz y garganta y una tomografía computarizada son suficientes para un diagnóstico adecuado. El tratamiento estará relacionado con el tamaño y los síntomas clínicos que produce el tonsilolito y por lo general consiste en la extracción de la piedra por legrado o amigdalectomía bajo anestesia general.
La mayoría de artículos publicados en relación a los tonsilolitos se centran en el tamaño que pueden llegar a tener, pero sólo unos pocos discuten la patogenia de la formación de estos cálculos. La mayoría de los autores creen que la amigdalitis crónica es un factor suficiente para la precipitación de sales y la consecuente formación de un tonsilolito. Sin embargo, algunos autores sugieren, alternativamente, que los tonsilolitos se forman como resultado de la estasis de saliva en los conductos eferentes de las pequeñas glándulas salivales accesorias localizadas en la cavidad oral. Hasta ahora, hemos encontrado sólo unos pocos informes que hacen referencia a un conducto accesorio de la glándula submandibular. Esta anomalía se define como una duplicación del conducto principal de Wharton y por lo general paralela a la misma. Su apertura puede ser en el orificio de la glándula junto con el conducto principal o separado en el suelo de la cavidad oral. En éste sentido Pirkl I, et al. realizaron un reporte de casos en el cual se evidencia un flujo salival al lugar de formación del tonsilolito(fig.1-4) (1).
Se reporta la presencia de un tonsilolito de gran tamaño asociado con el conducto accesorio de la glándula submandibular. Este hallazgo apoya la hipótesis de que la estasis de saliva puede conllevar a la formación del tonsilolito
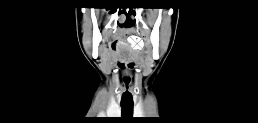
Fig. 1. Tomografía computarizada (TC) vista coronal que muestra una masa hiperdensa (T) en la región periamigdalino izquierdo. Mide aproximadamente 30x20mm (D1xD2).
Fig. 2. Imagen intraoral intraoperatoria que muestra la abertura del conducto salival accesorio (SD) de la glándula submandibular izquierda a nivel del polo inferior de la amígdala, (T) tonilolito.
Fig. 3. Extirpación de una masa calcificada (tonsilolitos) después de la amigdalectomía, la medición fue de 31 mm de longitud.
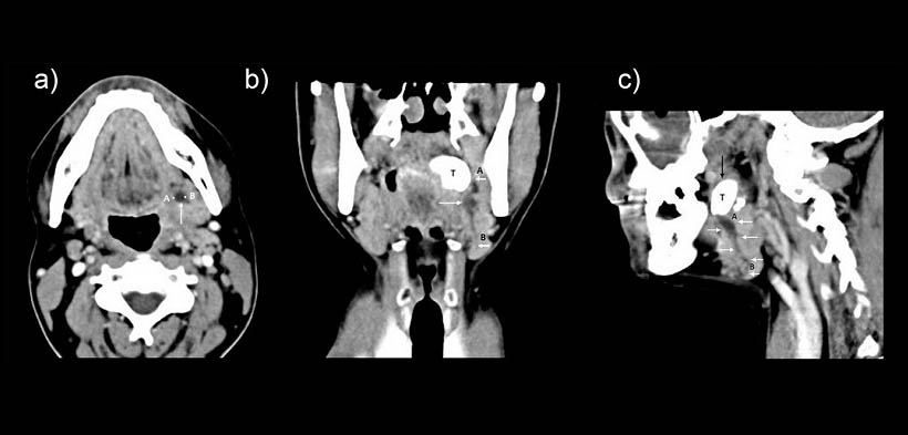
Fig. 4. (a) TC, vista axial que muestra una imagen hipodensa correspondiente al trayecto fistuloso de la parte izquierda (flecha blanca), comenzando en el polo inferior de la amígdala, que mide 6 mm de ancho (A-B). (b, c) vista coronal y sagital que muestran la masa calcificada (tonsilolito, flecha oscura), a nivel de la región periamigdalino izquierda con un trayecto fistuloso hipodensa (flechas blancas) que se extiende desde el polo amigdalar inferior (A) hacia la glándula submandibular izquierda (B), la medición del trayecto fistulosos es de 36 mm de longitud (A-B).
REFERENCIA:
1. Pirkl I, Filipović B, Goranović T, Šimunjak B. Large tonsillolith associated with the accessory duct of the ipsilateral submandibular gland: support for saliva stasis hypothesis. Dento Maxillo Facial Radiol. 2015 Oct;44(8):20150090.
Elaborado por : C.D. Luis Alberto Cueva Principe, Mg. Esp. C.D. Andrés Agurto Huerta.






