El foramen mentoniano (FM) es la abertura a través de la cual el van dentario inferior sale de la mandíbula y por lo general se encuentra ya sea entre las raíces de los primeros y segundos premolares mandibulares o apical hasta el segundo premolar. El nervio mentoniano representa una de las ramas terminales del nervio mandibular y se divide en tres ramas que irrigan el labio inferior, las mejillas, el mentón y la encía vestibular de los incisivos mandibulares. Aunque la anatomía del nervio mandibular está bien establecida, se ha informado de algunas variaciones anatómicas que debe tenerse en cuenta para evitar complicaciones clínicas. Una de estas variaciones es el nervio mentoniano accesorio, que pasa a través de pequeños agujeros en el área que rodea el FM conocido como forámenes mentales accesorio (FMA).
El nervio mentoniano accesorio es una estructura anatómica relevante en la práctica odontológica, con especial importancia para la anestesia local y los procedimientos quirúrgicos que implican esta región, como genioplastia, rehabilitación quirúrgica después de un traumatismo mandibular, la remoción ósea del mentón, la resección de la raíz de premolares inferiores, y en particular la colocación de implantes dentales. La incidencia de complicaciones sensoriales permanente en el labio inferior después de la cirugía de implante dental en el área del FM es de un rango de 7 a 10%. La alteración sensorial y el dolor severo puede resultar si el nervio mentoniano accesorio l es dañadas total o parcialmente, y pueden dar lugar a complicaciones con un impacto significativo en la calidad de vida del paciente.
Las radiografías bidimensionales son el método de imagen más frecuente en el campo dental, en especial la radiografía panorámica, las radiografías intraorales como las periapicales son de aplicabilidad diagnostica y en las cuales también se pueden identificar las variantes anatómicas. Usando la radiografía panorámica Al-Jatib et al. reportó una presencia considerable de forámenes mentonianos accesorios (FMA); sin embargo, Toh et al. argumentó que la identificación de FMA es difícil de realizarse con las radiografías intraorales y la radiografía panorámica porque son generalmente menos de 1,0 mm de tamaño. En contraste, la evaluación tridimensional pre-quirúrgica mediante tomografía computarizada (TC) podría ser una herramienta más útil para determinar la presencia de FMA. En particular, la tomografía computarizada de haz cónico (CBCT) ofrece una resolución suficiente para permitir una evaluación precisa de los puntos de referencia óseos en la región maxilofacial (fig.1-3)(1).
Debemos tener en cuenta que las variantes anatómicas de la región maxilofacial son de relativa frecuencia. En ese sentido, en la presente revisión se pretende dejar en claro la alta prevalencia del foramen mentoniano accesorio o conocido por algunos autores como doble agujero mentoniano. Se evidencia la importancia de tener herramientas modernas que permitan identificar dichas variantes, así con una tomografía cone beam se puede visualizar la presencia o ausencia del foramen mentoniano accesorio que muchas veces no puede ser visualizada con una simple radiografía panorámica.
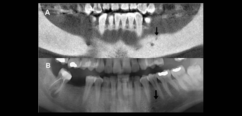
Fig. 1. Foramen mental en las radiografías panorámicas (A, B, C): continua (a), (c, d) separados, (b, e) difusas, y no identificados (f) (yosue y Brooks). Foramen mental en la TC de haz cónico (D): el agujero mentoniano izquierdo (f ‘) se visualizaron utilizando la reconstrucción para-panorámica correspondiente al paciente C.
Fig. 2. Foramen mental accesorio utilizando la reconstrucción para-panorámica desde la TC de haz cónico (A). Foramen mental accesorios visualizaron en la correspondiente radiografía panorámica (B).
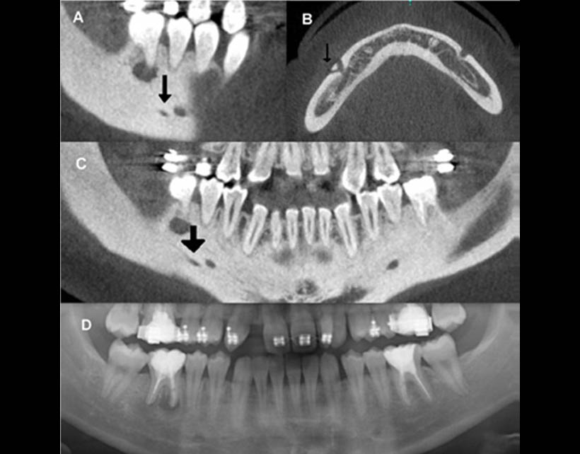
Fig. 3. La comparación entre las imágenes de TC de haz cónico (A, B, C), y la radiografía panorámica (D) de la mandíbula de un mismo paciente. La vista sagital (A), axial (B) y las reconstrucciones para-panorámica revelaron una rama accesoria posterior del nervio mentoniano emergentes a través de un agujero accesorio mentoniano. Nótese que sólo el agujero mentoniano se visualiza con la radiografía panorámica (D).
REFERENCIA:
1. Muinelo-Lorenzo J, Suárez-Quintanilla J-A, Fernández-Alonso A, Varela-Mallou J, Suárez-Cunqueiro M-M. Anatomical characteristics and visibility of mental foramen and accessory mental foramen: Panoramic radiography vs. cone beam CT. Med Oral Patol Oral Cir Bucal. 2015;20(6):e707–14.
Elaborado por : C.D. Luis Alberto Cueva Principe, Mg. Esp. C.D. Andrés Agurto Huerta.





