El ameloblastoma es un tumor odontogénico epitelial poco común que es no mineralizado, localmente agresivo, y, en la mayoría de los casos, benigna. Este tumor representa aproximadamente el 10% de todos los tumores que se originan en el maxilar y la mandíbula. La etiología sugerido del ameloblastoma es que, o bien surge de la lámina dental o, más probablemente, que surge de las células basales del epitelio oral o de células que han sufrido diferenciación para imitar a los ameloblastos. La mayoría de los ameloblastomas se desarrollan en la región molar- rama mandibular con 70% y que en ocasiones se asocia con la tercera molar no erupcionado. Las variantes histopatológicas principales del ameloblastoma son los tipos foliculares y plexiforme, seguido por el acantomatoso y tipos de células granulares. Variantes poco frecuentes incluyen el tipo desmoplástico, células basales, keratoameloblastoma y el ameloblastoma papilliferous.
Los ameloblastomas son tratados por curetajes, la enucleación, además de legrado, o cirugía radical. Nakamura y otros informaron que la tasa de recurrencia posquirúrgica es del 7,1% después de la cirugía radical y el 33,3% después del tratamiento conservador. Sampson y Pogrel mostraron que casi el 31% de los tumores se repitió después de la cirugía conservadora, en 3 años de seguimiento, no ha habido recurrencia de los tumores.
Es bien sabido que ameloblastoma se evidencia radiológicamente como una lesión radiolúcida unilocular o multilocular ( apariencia de burbujas de jabón). Radiológicamente, las lesiones son expansivas, con adelgazamiento de la corteza en el plano bucal y lingual. En ocasiones, las radiografías convencionales revelan ameloblastomas uniloculares, asemejándose a quistes dentígeros o el tumor queratoquistico. La apariencia radiográfica del ameloblastoma puede variar según el tipo de tumor. La tomografía computarizada (CT) es generalmente útil en la determinación de los contornos de la lesión, su contenido, y su extensión a los tejidos blandos.
Los hallazgos inusuales de la TC pueden evidenciarse en aquellas lesiones de gran crecimiento y larga data que pueden causar desfiguración de las estructuras circundantes debido a la presión, sin la necesidad de invadir dichas estructuras. Arora, et al realizaron un reporte de caso de un ameloblastoma pleximorme localizada en el cuerpo ángulo y rama mandibular izquierdo, y cuyo crecimiento produjo la deformación de la hemimaxila de dicho lado, considerándose a este hallazgo como algo inusual (fig.1-4)(1).
El ameloblastoma es uno de los tumores odontogénicos más prevalentes, por ello es necesario el conocimiento básico de su naturaleza benigna pero a la vez agresiva. Los exámenes radiográficos son indispensables para llegar al diagnóstico, partiendo de una radiografía panorámica puede evidenciarse como un simple hallazgo radiográfico o cuando la lesión es de un tamaño importante, se consideran realizar otras proyecciones para su análisis tridimensional. La tomografía computarizada, puede ser una herramienta eficaz para la evaluación del ameloblastoma, sobre todo si la lesión ha tenido un gran crecimiento, la ventaja es que podemos visualizar la lesión, su relación con los tejidos blandos y su contenido. Los hallazgos inusuales también se evidencian mejor en una tomografía.
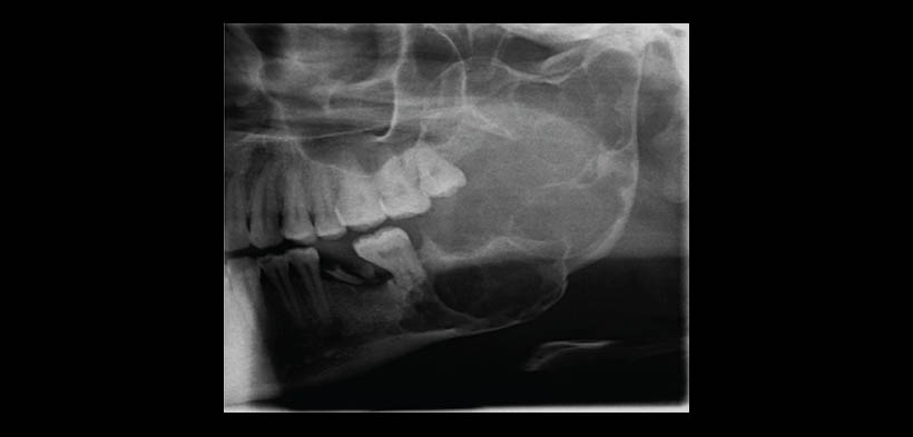
Fig. 1. Radiografía panorámica, muestra una lesión osteolitica bien delimitada localizada en el cuero, ángulo y rama mandibular izquierdo, se evidencia deformación de la apófisis coronoides.
Fig. 2. Tomografía computarizada (TAC) , vista coronal, se muestra la expansión de la tabla ósea vestibular.
Fig. 3. TAC, vista axial. Se visualiza el crecimiento de la lesión y la deflexión que produce en la arcada posterior izquierda.
Fig. 4. TAC, vista axial. Se visualiza el crecimiento de la lesión y la deflexión que produce sobre la apófisis pterigoides del lado izquierdo.
REFERENCIA:
1. Arora KS, Binjoo N, Modgil R, Negi LS, Kaur P. Atypical CT Findings in Plexiform Ameloblastoma. Case Rep Radiol. 2014;2014:623093.
Elaborado por : C.D. Luis Alberto Cueva Principe, Mg. Esp. C.D. Andrés Agurto Huerta.






