La osteomielitis multifocal recurrente crónica (OMRC) es un trastorno inflamatorio aséptica poco común. Se caracteriza por lesiones óseas con presencia de dolor e inflamación con períodos de exacerbación y la mejora esporádica durante varios meses o años, puede ir acompañada de fiebre y lesiones de la piel. La etiología de la enfermedad es desconocida. Tradicionalmente afecta a niños y adolescentes. La opinión actual es que OMRC es la forma pediátrica y más grave del síndrome SAPHO (sinovitis, acné, pustulosis, hiperostosis, osteítis), la pustulosis palmoplantar (PPP) se asocia con CRMO en algunos casos, y la enfermedad inflamatoria intestinal crónica también es una ocurrencia común. La enfermedad fue descrita por primera vez por Giedion et al en 1972 y el término osteomielitis crónica multifocal recurrente fue acuñado por Bjorksten et al.
La OMRC afecta a las mujeres cuatro veces más que a los hombres, y tiene una edad media de aparición de alrededor de los 9 años de edad. La duración media de la actividad de la enfermedad es de 5 años. Las lesiones se encuentran con mayor frecuencia en las metáfisis de los huesos largos en particular, las metáfisis femorales distales; otros sitios incluyen las clavículas, las vértebras, pelvis, las costillas, la participación del esternón, la escápula y la columna vertebral son menos comunes. Las lesiones que afectan la mandíbula son raras.
Como se ya se mencionó la OMRC es poco común en los maxilares y en las radiografías panorámicas (fig.1) se puede confundir con otras patologías como la displasia fibrosa, osteomielitis esclerosante o periostitis osificante difusas crónicas. Las radiografías pueden mostrar osteolisis en las primeras etapas, pero luego se podrá evidenciar lesiones hiperostósicas y escleróticas pueden ser vistos en las etapas posteriores, las reacciones del periostio pueden ocurrir en cualquier etapa.
Las características radiográficas de la enfermedad no siempre pueden ser evidenciadas con la imagen convencional y como la condición es multifocal, la gammagrafía es el método de elección para la evaluación de los casos sospechosos de OMRC (fig.3). El hallazgo típico de la gammagrafía ósea es que se evidencia un incremento de la captación del radiofármaco en los sitios afectados.
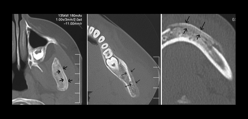
La tomografía computarizada (TC) es un método tridimensional eficaz para la evaluación de los cambios óseos, sin embargo implica la exposición de alta radiación en pacientes jóvenes. La tomografía volumétrica de haz cónico (CBCT), si está disponible, se debe considerar de primera elección por encima de la tomografía médica para la evaluación de posibles sospecha de OMRC, pues la información tridimensional tan precisa se obtiene a una dosis significativamente más baja (fig.2). La resonancia magnética (RM) es también una alternativa más segura, pero parece ser menos sensible a los cambios inflamatorios como los cambios óseos que se presentan en la enfermedad(1).
El conocimiento de las principales alteraciones infecciosas de los maxilares es de importancia para luego realizar un adecuado plan de tratamiento. En ésta sección presentamos las principales características clínicas y radiográficas de la osteomielitis crónica multifocal recurrente (OMRC). Se describe la presentación de un caso de CRMO que afecta a la mandíbula de una niña de 8 años de edad. También se describen los aspectos radiográficos que utilizan la tomografía computarizada (CT) de otros tres casos.
Fig. 1. Radiografía panorámica que demuestra la expansión de la rama izquierda (flechas) y un patrón trabecular alterado.
Fig. 2. Imágenes axiales de la tomografía computarizada cone beam (CBCT); todos los que muestran un patrón de » de hueso con hueso » (flechas)
Fig. 3. Gammagrafía ósea planar que muestra la captación de radionucleótido en la hemimandibula izquierda, lugar de la enfermedad.
REFERENCIA:
1. Monsour P a. J, Dalton JB. Chronic recurrent multifocal osteomyelitis involving the mandible: case reports and review of the literature. Dento Maxillo Facial Radiol. 2010 Mar;39(3):184–90.
Elaborado por : C.D. Luis Alberto Cueva Principe, Mg. Esp. C.D. Andrés Agurto Huerta.





