
90 – Fractura de la espina nasal anterior (ENA)
Paciente femenino, 53 años de edad, es referido al Instituto de Diagnóstico Maxilofacial (IDM) para evaluación tomográfica de los rebordes edéntulos con fines de colocar

Paciente femenino, 53 años de edad, es referido al Instituto de Diagnóstico Maxilofacial (IDM) para evaluación tomográfica de los rebordes edéntulos con fines de colocar

Paciente masculino de 15 años de edad que es referido para la evaluación de los terceros molares. La radiografía panorámica nos muestra la presencia de

Paciente femenino, 24 años de edad, es referido al Instituto de Diagnostico Maxilofacial (IDM) para evaluación por golpe en la zona ántero superior. A la

Paciente femenino, 15 años de edad acude a Imágenes Digitales de Santo Domingo para evaluación tomográfica de los maxilares. Es referido al Instituto de Diagnóstico

Paciente masculino, 24 años de edad, es referido al Instituto de Diagnóstico Maxilofacial (IDM) para evaluación de la articulación temporo mandibular. A la evaluación de

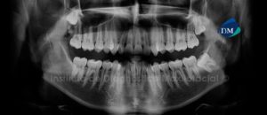
Paciente femenino de 55 años de edad que es referida por presentar dolor en la pieza 26. La radiografía panorámica nos muestra un trazo de

Paciente femenino, 20 años de edad acude al Instituto de Diagnóstico Maxilofacial (IDM) para su evaluación previo a tratamiento de ortodoncia. A la evaluación de

Paciente de 60 años de edad es referido al Instituto de Diagnostico maxilofacial (IDM) por evaluación para la colocación de implantes. A la evaluación de

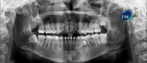
Paciente masculino, 66 años de edad, es referido al Instituto de Diagnóstico Maxilofacial (IDM) para descartar probable fractura a nivel de la pieza 3.6. A

Paciente femenino de 9 años de edad que es referida por presentar un aumento de volumen en el paladar duro, a nivel del sector anterior

Paciente femenino, 55 años de edad acude al Instituto de Diagnóstico Maxilofacial (IDM) para su evaluación previo a tratamiento integral y colocación de implantes. A

Paciente masculino, 12 años de edad acude a Imágenes Digitales de Santo Domingo para evaluación tomográfica de ambos maxilares. Es referido al Instituto de Diagnóstico

Paciente femenino, 37 años de edad, es referido al Instituto de Diagnóstico Maxilofacial (IDM) para evaluación general. A la evaluación de la radiografía panorámica se

Paciente femenino de 63 años de edad es referido al Instituto de Diagnostico maxilofacial (IDM) por un aumento de volumen en la encía así como

Paciente femenino, 11 años de edad acude a Imágenes Digitales de Santo Domingo para evaluación tomográfica de la zona mandibular. Es referido al Instituto de

La osteomielitis multifocal recurrente crónica (OMRC) es un trastorno inflamatorio aséptica poco común. Se caracteriza por lesiones óseas con presencia de dolor e inflamación con

El liquen plano es una enfermedad autoinmune mucocutánea, que se caracteriza por un proceso inflamatorio crónico inespecífico, lo que conduce a una intensa destrucción de

En los últimos años existe un mayor interés en el conocimiento de la morfología y las verdaderas dimensiones de las vías respiratorias superiores, esto debido

A pesar de que la morfología de los tejidos blandos que rodean los dientes desempeñan un papel fundamental en la estética sobre todo en el

Una diferenciación temprana y precisa de los tumores malignos de la lengua a partir de las lesiones benignas es fundamental para la planificación del tratamiento
© Copyright 2025