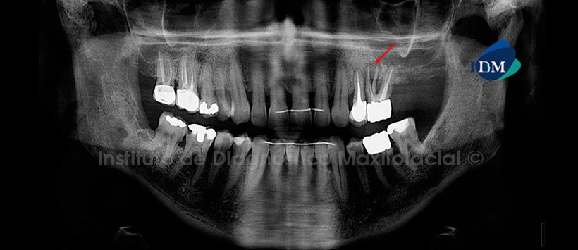
Paciente femenino de 55 años de edad que es referida por presentar dolor en la pieza 26. La radiografía panorámica nos muestra un trazo de fractura vertical en la raíz mesial de la pieza 26 que condiciona la separación y divergencia de los segmentos. Así mismo, se observa el material de obturación parcial de conductos y la presencia de un proceso osteolítico perirradicular. Por otro lado, se aprecia la alteración de la morfología de ambos cóndilos mandibulares, múltiples restauraciones coronarias, obturación de conductos radiculares, dispositivos radiopacos de fijación en el sector anterior y dilaceración radicular de la pieza 48 (Fig. 1).
La tomografía computarizada de haz cónico, mediante los cortes transaxiales, tangenciales y axiales, nos muestra claramente la presencia de una lesión osteolítica perirradicular de límites parcialmente definidos que ocasiona la erosión de la tabla ósea bucal asociada al engrosamiento de la mucosa sinusal. Así mismo, se evidencia la extensión de la lesión hasta la raíz de la pieza 25 (Fig. 2, 3 y 4).
El software Romexis nos brinda diferentes opciones de reconstrucción 3D, como por ejemplo las opciones módulo endo del MID y radiográfico matizado que son de mucha ayuda para la evaluación de estas entidades (Fig. 5).
Paráfrasis
Las fracturas radiculares no son algo inusual en la consulta dental. Muchas de ellas no son diagnosticadas o simplemente no reciben el tratamiento adecuado. El manejo de las fracturas verticales y horizontales es diferente, así como su forma de diagnóstico y su pronóstico. Ambas pueden involucrar cemento, dentina y pulpa; además, es posible que estén localizadas únicamente en el trayecto radicular (fractura radicular) o en la porción coronal, afectando a la raíz dental (fractura corono-radicular). La prevalencia de estas fracturas varía de 2% a 1%, dependiendo de si es un diente primario o permanente. Otro aspecto a evaluar es el compromiso de la tabla vestibular. En dientes primarios la frecuencia de fracturas es normalmente baja, probablemente debido a la alta elasticidad de los procesos alveolares, siendo más común la luxación dental en esta clase de dientes.
La fractura radicular vertical es una lesión que se extiende longitudinalmente a lo largo de la raíz dental, comunicando conducto con periodonto. Dentro los distintos tipos de fisura, a ésta corresponde el peor escenario, ya que no es restaurable protésicamente y su tratamiento de elección es la extracción. Existen varios métodos que ayudan al diagnóstico de fractura radicular vertical como la transiluminación, tinciones con colorantes como el azul de metileno, examen con microscopio y algunos otros procedimientos invasivos como la cirugía diagnóstica; además, la radiografía digital y la tomografía computarizada son de gran utilidad; estas últimas opciones diagnósticas presentan ventajas y limitaciones a considerar al momento de elegir la más conveniente, según las características del caso.
Referencias
- Medina C, Navarro MA. Fractura radicular vertical. Revista ADM. 2015; 72 (6): 329-332.
Enlace aquí - Dancur JE, Díaz A, Velazco G. Reparación espontánea de fractura radicular horizontal Duazary. 2010; 7(1): 79-83.
- García S. Fracturas radiculares verticales: diagnóstico y pronóstico clínico. 2011; 8(1): 54-57.
Enlace aquí
Autor: CD. Esp. Raúl Herrera Mujica, Mg. CD Esp. Andrés Agurto Huerta







