
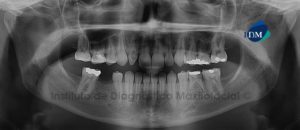
041 – Planificación y Tratamiento en Rehabilitación Oral con Prótesis sobre Implantes usando Análisis Cefalométrico
En los pacientes desdentados, que requieren una prótesis completa ya sea convencional o implanto soportada, los dientes artificiales se colocan en la prótesis completa por


















