BIFOSFONATOS
Los bifosfonatos (BI) son análogos estructurales de los pirofosfatos naturales, por lo que al igual que éstos se unen fuertemente a la hidroxiapatita del hueso.
Las modificaciones moleculares hacen que los bisfosfonatos no puedan ser degradados por los osteoclastos, disminuyendo la reabsorción del hueso Los bifosfonatos son medicamentos que se utilizan para enfermedades tales como: osteoporosis, enfermedad de Paget, metástasis óseas, osteogénesis imperfecta, talasemia mayor, mieloma múltiple, la hipercalcemia reumatoide y algunos tumores maligno. El mecanismo de acción consiste en que los bifosfonatos inhiben a los osteoclastos, inhiben la resorción ósea y disminuyen el recambio óseo.
OSTEONECROSIS DE LOS MAXILARES
En 2003 se publicó la primera serie de casos de osteonecrosis de los maxilares (ONM) relacionados con la utilización de BI, posteriormente se publicaron otros estudios similares. En estas publicaciones, el 95% de los casos se manifestaron en pacientes con neoplasias que recibían tratamiento con zoledrónico y pamidrónico por vía IV a dosis elevadas, estimándose una incidencia acumulativa de ONM en pacientes oncológicos de 0,8-1,2%. Aunque también se han descrito algunos casos en pacientes con osteoporosis y enfermedad de Paget tratados con BI orales, la frecuencia de aparición parece menor; así, la American Society for Bone and Mineral Research (ASBMR) ha estimado el riesgo de ONM en pacientes con osteoporosis tratados con BI de entre 1/10.000 y 1/100.000 pacientes/tratamiento y año. Estudios posteriores pusieron de manifiesto que la frecuencia de ONM aumenta ligeramente en pacientes con antecedentes de extracción dental. El diagnóstico de osteonecrosis relacionada con los bifosfonatos es a través del examen clínico y la radiografía del paciente. El diagnóstico diferencial incluye a alteraciones como la osteoradionecrosis, osteomielitis crónica esclerótica, el carcinoma metastásico, la enfermedad de Paget y la osteopetrosis.
HALLAZGOS RADIOGRÁFICOS
Los hallazgos radiográficos tienen un gran papel en el diagnóstico. Los signos radiográficos más comunes fueron: “osteosclerosis” (esclerosante del margen alveolar y engrosamiento de la lámina dura). En los grados más avanzados de osteonecrosis se ven niveles más altos de la esclerosis, que son muy similares a la osteopetrosis. En las lesiones grandes se pueden evidenciar “estrechamiento del canal dentario inferior”. Otros hallazgos radiográficos con menor incidencia son: “osteólisis”, “reacción perióstica”, “fístula oro-antral”, “secuestros”, “radiolucencia periapical” y “la inflamación de los tejidos blandos”. Hasta donde sabemos, pocos trabajos han sido presentados sobre los hallazgos radiográficos de la osteonecrosis.
Es importante tener en consideración las complicaciones que se pueden presentar luego de la administración prolongada de bifosfonatos, siendo la más frecuente la osteonecrosis. En un inicio es difícil realizar su diagnóstico debido a que no existen manifestaciones clínicas, es aquí donde los exámenes radiográficos adquieren una alta relevancia debido a que los signos radiográficos son un indicio de la formación de una osteonecrosis y podemos realizar la prevención para evitar agravar las complicaciones que se puedan dar.
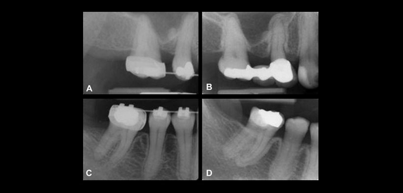
Figura 1. Radiografías periapicales de una paciente mujer que consume bifosfonatos, se muestra esclerosis ósea generalizada de espesor uniforme que implica la cresta alveolar y la lámina dura. Las figuras A y C muestran la condición previa a la terapia con bifosfonatos. Las figuras B y D muestran engrosamiento de la cresta alveolar y la lámina dura después de 2 años de terapia con bifosfonatos. No hay signos y síntomas clínicos en esta etapa inicial.
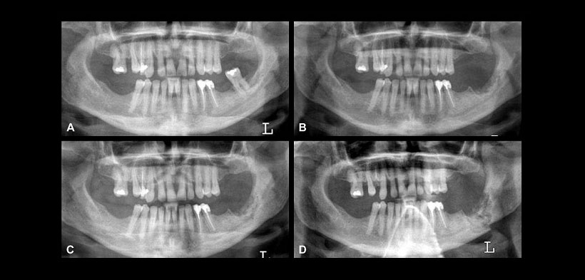
Figura 2.
A = Radiografía panorámica de una mujer con cáncer de mama tratadas con zoledronato que se presentó con dolor de la pieza 3.7.
B = Radiografía panorámica después de 7 meses de una extracción dental (en el sector de la mandíbula posterior izquierdo), no se evidencian signos de reparación ósea, y se muestran alteraciones óseas escleróticas del cuerpo de la mandíbula.
C = Radiografía panorámica después de 9 meses de una extracción dental (mandíbula posterior izquierda) se evidencia esclerosis progresiva del cuerpo mandibular izquierdo y del mandibular con la invasión en el canal mandibular izquierda.
D = Radiografía panorámica después de 19 meses de haberse realizado un curetaje, demuestra la progresión de la esclerosis de fractura patológica de la mandíbula.
Figura 3.
A = imágenes axiales de la mandíbula obtenido de una CBCT mostrando engrosamiento de la tabla vestibular y la región central de la densidad del hueso medular en el cuerpo mandibular izquierdo, la mucosa que recubre es clínicamente sana.
B = imagen de la reconstrucción multiplanar bidimensional que muestra la dimensión vertical de la región de osteosclerosis y la relación con el canal mandibular.
REFERENCIA:
Moeini M, Moeini M, Lotfizadeh N, Alavi M. Radiography Finding in the Jaws in Children Taking Bisphosphonate. Iran J Ped Hematol Oncol. 2013;3(3):114-8.
Elaborado por : C.D. Luis Alberto Cueva Principe, Mg. Esp. C.D. Andrés Agurto Huerta





