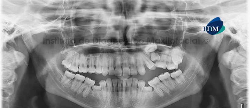
Paciente femenino, 18 años de edad, es referido al Instituto de Diagnóstico Maxilofacial (IDM) para descartar probable agenesia de premolares.
A la evaluación de la radiografía panorámica se aprecia persistencia de la pieza 6.5 que se encuentra en infraoclusión ocasionando la impactación de la pieza 2.5 y la divergencia radicular de las piezas 2.4 y 2.6. Así mismo se aprecia a las piezas 7.5 y 8.5 en persistencia y en infraoclusión asociados a la ausencia de los gérmenes dentarios de las piezas 3.5 y 4.5 (Figura 1)
A la evaluación de la tomografía volumétrica (CBCT) en cortes axiales (Figura 2), transaxiales (Figura 3) y tangenciales (Figura 4), se evidencia a la pieza 6.5 sumergida, impactada contra las piezas 2.4 y 2.6 ocasionando la divergencia radicular de las mencionadas piezas y la impactación del gérmen de la pieza 2.5, que a su vez se encuentra impactada en posición transversa con su segmento apical próximo a la tabla ósea vestibular y su segmento coronal ocasiona el desplazamiento de la tabla ósea palatina, el piso de fosa nasal y el piso del seno maxilar. Así mismo se aprecia a las piezas 7.5 y 8.5 sumergidas e impactadas contra las piezas 3.5 -36 y 4.5 – 4.6 respectivamente.
En las reconstrucciones 3D se observa claramente la persistencia y la infraoclusión de las piezas 6.5, 7.5 y 8.5, y la impactación en posición transveral de la pieza 2.5 (Figura 6)
Conclusión: Piezas 6.5, 7.5, 85 en persistencia y en infraoclusión severa.
Paráfrasis
Infraoclusión es un término clínico que describe a un diente bajo el plano oclusal y ocurre una vez que éste ha hecho erupción en la cavidad oral. Esta característica puede expresarse de dos maneras; en la primera, llamada también retención secundaria, el diente erupciona hasta una posición inicial de oclusión y luego cesa la erupción; en la segunda, es todo el proceso de erupción el que se encuentra alterado.
Se han utilizado diferentes terminologías para describir el fenómeno de retención secundaria: Anquilosis, erupción detenida, depresión, impactación, erupción incompleta, intrusión, reimpactación, reinclusión, retención secundaria y diente sumergido, creando una sensación de confusión acerca de este tema. El término utilizado en este reporte será de infraoclusión, pues es el que incluye al resto.
Brearley, et al sugirió una clasificación muy didáctica y aplicable:
Infraoclusión Leve: La superficie oclusal se localiza 1 mm aproximadamente por debajo del plano oclusal esperado para ese diente.
Infraolcusión Moderada: La superficie oclusal esta aproximadamente a nivel del punto de contacto del diente adyacente.
Infraoclusión Severa: La superficie oclusal se localiza por debajo del tejido gingival del diente adyacente.
Referencias:
- Larach X, Mallea P, Vargas M. Infraoclusión de molares temporales: Reporte de casos clínicos. Revista Dental de Chile. 2014; 105(3): 14-19.
Enlace aquí - Zúñiga-Tertre MP, Lucavechi-Alcayaga T, Barbería-Leache E. Distribución y gravedad de las infraoclusiones de molares temporales. RCOE 2004;9(1):53- 59.
Enlace aquí - Fregali M. Valoración y tratamientos de la anquilosis e impactaciones. Odontología sanmarquina 2001; 1 (8): 47-49.
Enlace aquí
Autor: C.D Luis Alberto Cueva, Mg Esp Andrés Agurto Huerta








