038 – de Lesiones Benignas y Malignas de las Glándulas Salivales mediante Ecografía

Indice del articulo

Los tumores de las glándulas salivales  no son tan comunes pues representan sólo el 2-4% de todas las neoplasias malignas de cabeza y cuello. La mayoría de ellos (80%) se encuentran en la glándula parótida, el 14% en la glándula submandibular y el resto en las glándulas sublinguales o glándulas salivales menores. En Europa, África y Asia, la ecografía en escala de grises (GSS) es ampliamente aceptado como el procedimiento diagnóstico de elección para evaluar la morfología de una posible masa tumoral de glándula salival, pero está infrautilizado en América del Norte, donde la resonancia magnética (RM) es casi siempre la única técnica que se utiliza en los casos en que se sospeche neoplasia de glándula salival.

Ecografía Doppler (CDS) puede detectar el número y distribución de los vasos sanguíneos en diversos tumores, existen diversos métodos de obtener una ecografía: Ecografía en escala de grises (GSS), Ecografía Doppler a color (CDS) y la ecografía Doppler espectral (SPD).

Ecografía en escala de grises (GSS)

Mediante el uso de GSS, es posible la evaluación de la ecogenicidad en comparación con el parénquima (hipoecoica o hiperecoico) que rodea la lesión, es posible identificar los limites (bien definidos o mal definidos), homogeneidad en comparación con el parénquima glandular circundante (homogénea o no homogénea) y forma (lobulada, regular o irregular). Es posible evaluar compromiso de los ganglios linfáticos regionales (asociada con linfadenitis o no.

Ecografía Doppler a color (CDS)

Los parámetros de la ecografía Doppler fueron escogidos para optimizar la detección de flujo sanguineo alrededor de los tumores.

Distribución de la vascularización

La distribución de la vascularización fue clasificada como perilesional, periférica o dispersa. El grado de vascularización puede ser clasificado subjetivamente según una escala de 4 puntos que van 0-3 tal como lo sugirió Schick et al:

Grado 0: No se visualiza vascularización tumoral.

Grado 1: Uno o dos vasos separados pueden ser detectados.

Grado 2: De tres a cinco  vasos sanguíneos pueden ser detectados.

Grado 3: Más de cinco vasos sanguíneos pueden ser identificados.

Ecografía Doppler espectral (SPD)

Es una mejor manera de visualización el flujo sanguíneo. Los tumores malignos  suelen tener una apariencia característica; Sin embargo, algunos tumores malignos simulan la morfología benigna. Ecografías mediante CDS e investigaciones mediante SPD proporcionan resultados prometedores en la diferenciación entre tumores benignos y malignos.

Es importante el conocimiento de la prevalencia de las patologías  tumorales de las glándulas salivales, asi como as técnicas de imágenes que se pueden aplicar para su evaluación. Pensamos que es importante para el diagnóstico e investigación el papel de los tres métodos diagnósticos ecográficos (GSS, CDS y SPD) y si podían predecir con exactitud la malignidad con el beneficio de coste, disponibilidad y no invasividad.

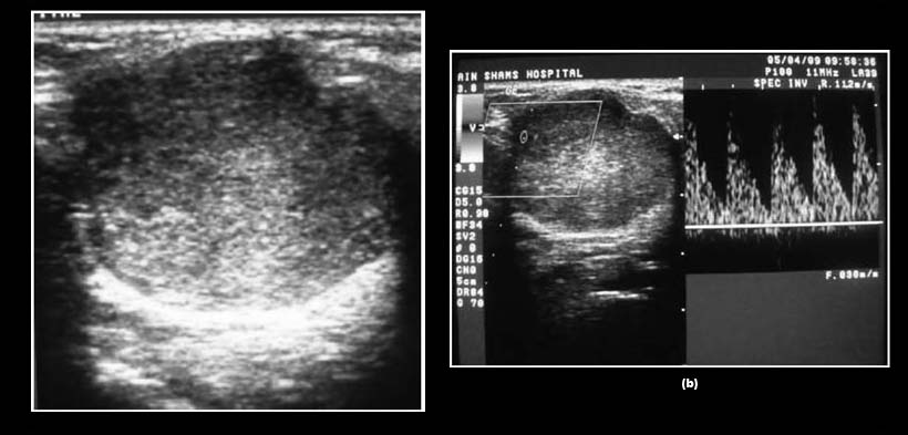
Fig. 1. (a) Ecografía en escala de grises (GSS) de la glándula parótida izquierda mostrando una masa lobulada bien definida hipoecoico homogéneo con refuerzo acústico posterior. (b) la ecografía Doppler a color (CDS) de la misma lesión que muestra Grado 1de  vascularización periférica, la ecografía Doppler espectral (SPD) muestra los mismos signos del flujo sanguíneo. El examen histopatológico reveló el diagnóstico de adenoma pleomórfico.

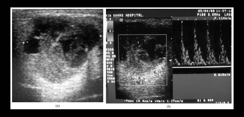
Fig. 2. (a) Ecografía en escala de grises (GSS) de una glándula parótida derecha ampliada que muestra una lesión hipoecoica bien definida, heterogénea, con múltiples áreas anecoicas y un componente sólido. (b) la ecografía Doppler a color (CDS) del mismo caso que muestra un Grado 3 vascularización dispersos, la ecografía Doppler espectral (SPD) muestra la velocidad sistólica máxima de 10,9 cm s21 (por debajo del nivel de umbral), de alto índice de resistencia de 0,89 (por encima del umbral nivel. El examen histopatológico reveló el diagnostico de carcinoma mucoepidermoide de la glándula parótida.

REFERENCIA:

SM El-Khateeb, AE Abou-Khalaf, MM Farid, and MA Nassef. A prospective study of three diagnostic sonographic methods in differentiation between benign and malignant salivary gland tumours. Dentomaxillofacial Radiology. 2011; 40: 476–485.

Elaborado por : C.D. Luis Alberto Cueva Principe, Mg. Esp. C.D. Andrés Agurto Huerta.

Picture of C.D. Luis Alberto Cueva
C.D. Luis Alberto Cueva
Cirujano Dentista titulado de la Universidad Particular de San Martín de Porras. Miembro del Staff del Instituto de Diagnóstico Maxilofacial (IDM). Miembro del Colegio Odontológico del Perú. Cirujano Dentista en el Ministerio de Salud (MINSA). Autor del Artículo Científico en Colonización Microbiana de la cavidad bucal en Neonatos nacidos en el Instituto Nacional materno Perinatal, así como los factores que la condicionan. Rev. Peru. Investig. Matern. Perinatal. 2014; 3 (1): 8-12. Idioma Portugués cursado en el Centro Cultural Brasil - Perú CCBP.

Casos relacionados

Deja una respuesta

Tu dirección de correo electrónico no será publicada. Los campos obligatorios están marcados con *