La nariz es la estructura facial más prominente y las fracturas faciales se dan más comúnmente sobre la pirámide nasal. La pirámide nasal es una estructura compleja que consta de los dos huesos nasales y los dos procesos frontales del hueso maxilar. Una fractura nasal puede afectar a cualquier parte de la pirámide nasal pero las paredes nasales laterales, el dorso nasal y el tabique nasal generalmente requieren la mayor atención al evaluar una fractura de pirámide nasal.
Aunque el examen clínico se considera un procedimiento estándar para el diagnóstico de las fracturas nasales, hematomas y edema de los tejidos adyacentes. También se necesitan exámenes auxiliares de imagen para el diagnóstico definitivo de fracturas en el tercio medio facial. Aunque un examen radiográfico de rutina es la herramienta de diagnóstico principal de fracturas, no es muy precisa y es difícil determinar de qué lado se fracturó en las radiografías convencionales. La tomografía computarizada (CT) ha sido considerada como la técnica ideal y es el procedimiento de elección para el diagnóstico de fracturas faciales complejas, fracturas, especialmente de mitad de la cara. Sin embargo, las técnicas de TC son relativamente altos, no son fácilmente disponibles y proporcionan una dosis alta de exposición de radiación al paciente. Debido a la proximidad de los ojos y la glándula tiroides, siempre existirá un mayor riesgo sobre éstos tejidos. Además, las técnicas de TC no se pueden utilizar libremente en las mujeres embarazadas y las secciones coronales de TC no se pueden proporcionar a los pacientes con traumas a nivel de las vértebras cervicales ni tampoco se puede utilizar en pacientes especiales no cooperativos. Estas consideraciones hacen que sea necesario incorporar nuevas técnicas de alternativa para la TC.
La ecografía es una técnica no invasiva, de bajo costo que ha demostrado ser útil para revelar fracturas de diferentes áreas de la cara, tales como el hueso nasal, suelo de la órbita, de la pared anterior del seno frontal y fracturas cigomático, también es posible la evaluación de la sutura media palatina durante su expansión ortodóncica. Estudios previos han evaluado el uso de la ecografía en la detección de fracturas de huesos nasales en caso de que. Sin embargo, la sensibilidad y especificidad de la ecografía no ha sido probado en el diagnóstico de fracturas óseas nasales.
El uso de la ecografía en la evaluación de las fracturas se ha incrementado. Teniendo en cuenta las ventajas del ultrasonido, tales como la ausencia de radiación y facilidad de uso. Los últimos estudios concluyen que el ultrasonido puede ser una técnica alternativa principal en el diagnóstico de las fracturas de hueso nasal, especialmente en mujeres embarazadas y niños. Además, la evaluación intraoperatoria de reposicionamiento del hueso nasal sólo se puede realizar mediante ecografía. En los casos de sospecha de traumatismo óseo facial compleja, se debe realizar un examen CT. Sin embargo, para obtener resultados aceptables utilizando la ecografía, se necesitan más estudios para investigar la fiabilidad de ésta técnica en la evaluación de las fracturas del hueso nasal.
Fig. 1. (a-c) Ecografía en un paciente con traumatismo de la pirámide nasal con posible fractura.
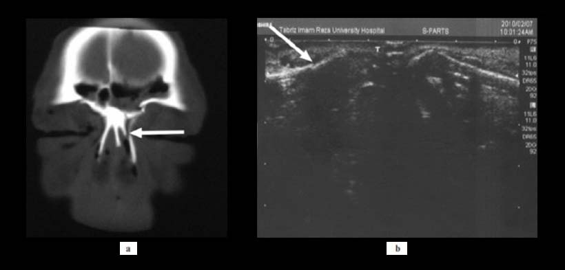
Fig. 2. Una mujer de 40 años con fractura de hueso nasal unilateral (flechas blancas). (a) vista CT y (b) Ecografía que detecta la fractura del hueso nasal.
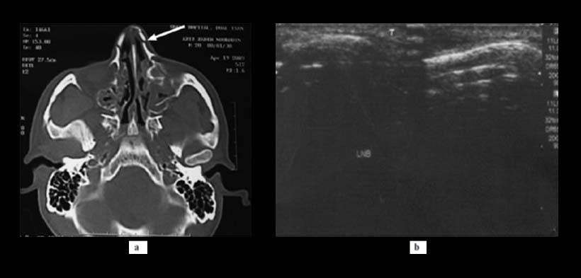
Fig. 3. Un hombre de 25 años de edad con una fractura de hueso nasal izquierda (flecha blanca). (a) Vista CT y (b) sonograma que no mostró la fractura del hueso nasal izquierdo.
REFERENCIA:
Javadrashi R. Comparison of ultrasonography with computed tomography in the diagnosis of nasal bone fractures. Dentomaxillofacial Radiology. 2011; 40: 486–491. doi: 10.1259/dmfr/64452475.
Elaborado por : C.D. Luis Alberto Cueva Principe, Mg. Esp. C.D. Andrés Agurto Huerta





