Las alteraciones morfológicas del cóndilo mandibular son ocasionadas por un número determinado de entidades, desde anomalías del desarrollo, pasando por las alteraciones que producen el trastorno temporomandibular e incluso llegar a patologías tumorales que modifican la morfología normal del cóndilo mandibular.
En ésta revisión nos enfocaremos a la evaluación de cóndilos mandibulares bífidos, trífidos y hasta tetráfidos. Los términos ” bífido ” y ” trífido ” se deriva de la palabra latina que significa una hendidura en dos y tres partes. En 1941, Hrdlicka describió por primera vez cóndilos mandibulares bífidos, encontró 21 muestras que tenías cóndilos bífidos en cráneos secos de la Institución Smithsonian, 18 de esos casos fueron unilaterales y 3 fueron bilaterales. En 1948, Schier publicó el primer caso clínico en un sujeto vivo con presencia de cóndilo bífido. En 1990, Szenpetery et al detectaron 7 cóndilos bífidos mandibulares de 2077 cóndilos (0,3%). Hasta donde sabemos, sólo dos estudios epidemiológicos se han llevado a cabo en sujetos vivos. En el 2008, Menezes et al examinó 50 080 radiografías panorámicas en una población brasileña y encontró sólo 9 casos de cóndilo mandibular bífido (0,018%). Posteriormente, en 2010, Miloglu et al examinó 10 200 radiografías panorámicas en una población turca y reportó 32 cóndilos bífidos cóndilos mandibulares (0,3%). El incremento de sus reportes durante los últimos años está probablemente motivado por la mejor caracterización morfológica provista por las nuevas técnicas de imágenes diagnósticas, se están detectando estas condiciones cada vez más a la vista de las técnicas de imagen avanzadas, especialmente la TC, TC de haz cónico (CBCT) y MRI.
La etiología exacta de cóndilo mandibular bífido o trífido es desconocida. Sin embargo, la teoría más adecuada es que es de origen traumático. Thomason y Yusuf reportaron dos casos de cóndilo mandibular bífido de manera unilateral posteriores a la fractura del cóndilo. Antoniades et al también presentaron un caso de cóndilo bífido unilateral que resultó después de una fractura condilar sagital. El trauma menor al centro de crecimiento del cóndilo mandibular puede posteriormente dar lugar a una variación morfológica como los cóndilos bífidos, trífidos o tetráfidos; la remodelación deficiente del cóndilo mandibular puede dar lugar a estas variaciones condilares. Además, el uso de drogas teratogénicas, tendencia genética, infecciones y la exposición a la radiación pueden ser también algunas causas responsables de estas variaciones.
El diagnóstico diferencial radiográfico de las anomalías morfológicas del cóndilo mandibular puede incluir varias condiciones, como las enfermedades degenerativas de la ATM, anquilosis fibrosa de la ATM, tumores benignos y tumores malignos primarios o metastásicos. Es importante evaluar la sintomatología, la historia del dolor, o una apertura bucal restringida añadida a ruidos articulares, pueden indicar problemas articulares degenerativas, la evaluación radiográfica será de carácter obligatorio para determinar el estado de las superficies articulares morfológicas de los condilos mandibulares, e indirectamente la relación del disco / cóndilo.
Fig. 1. Reconstrucción 3D de ATM con cóndilo trífido derecho, las depresiones o canales de eje antero posterior se aprecian delimitados a posterior por un surco de eje latero medial que separa la zona anterior. El borde condilar posterior se observa de aspecto más regular, determinando cuatro prominencias o lóbulos en el ápex condilar.
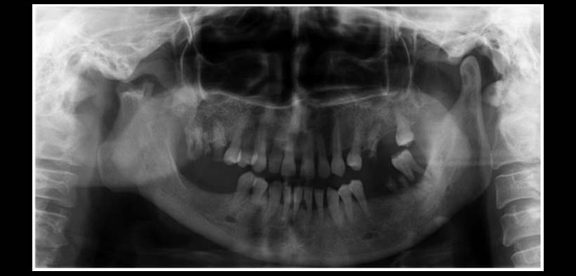
Fig. 2. Radiografía Panorámica que muestra una hipoplasia del cóndilo mandibular del lado derecho, mas alteración morfológica del cóndilo, se decide ampliar el estudio con una tomografía cone beam.
Fig. 3. Imágenes de la reconstrucción 3D de la TC, muestran el cóndilo en forma de corona y la concavidad entre las cabezas condilares.
REFERENCIA:
H Sahman, OA Eto, AE Sekerci, M Eto and Y Sisman. Tetrafid mandibular condyle: a unique case report and review of the literatura. Dentomaxillofacial Radiology. 2011; 40: 524–530.
Elaborado por : C.D. Luis Alberto Cueva Principe, Mg. Esp. C.D. Andrés Agurto Huerta.





