
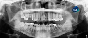
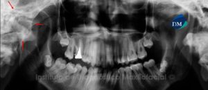
027 – Evaluación de Ateromas Carotideos Mediante Radiografía Panorámica y Ecografía Doppler
El accidente cerebrovascular sigue siendo uno de las principales causas de muerte y la principal causa de discapacidad a largo plazo en la mayoría de

El accidente cerebrovascular sigue siendo uno de las principales causas de muerte y la principal causa de discapacidad a largo plazo en la mayoría de

Paciente femenino, 17 años de edad acude al Instituto de Diagnóstico Maxilofacial (IDM) para su evaluación previo a tratamiento integral y colocación de implantes. A

Los tonsilolitos, también conocidos como cálculos amigdalinos, son estructuras calcificadas poco comunes que se desarrollan en las criptas de las amígdalas agrandadas, debido a una

La anquiloglosia, comúnmente llamada “lengua de corbata”, es una anomalía congénita caracterizada por un frenillo lingual corto, que puede llegar a restringir la movilidad de

Paciente femenino, de 73 años de edad es referido al Instituto de Diagnóstico Maxilofacial (IDM) por motivos prostodónticos. La paciente es edéntula parcial bimaxilar la

El cirujano maxilofacial debe hacer frente a unas complejas estructuras anatómicas y a un alto nivel de exigencias estéticas por parte del paciente por lo

Paciente masculino, 46 años de edad, con antecedente de traumatismo craneofacial hace dos meses, acude al Centro de ortodoncia, Radiología y Estética Facial (COREF) donde

Paciente masculino de 21 años de edad que es referido para el estudio imagenológico a consecuencia de una asimetría facial y limitación en la apertura

Paciente masculino, 17 años de edad acude al Instituto de Diagnóstico Maxilofacial (IDM) para su evaluación previo a tratamiento integral. A la evaluación de la

La alveolitis seca es la complicación postoperatoria más frecuente después de una extracción dental, con una frecuencia de aparición comúnmente entre el 1 al 5%

Paciente femenino, 56 años de edad acude a Imágenes Digitales (COREF) de Santo Domingo para evaluación tomográfica de la zona mandibular izquierda. Es referido al

Los tumores de los nervios periféricos más comunes son los schwannomas benignos y losneurofibromas. Uno de los sitios más comunes de schwannomas es la cabeza y región

Paciente femenino, 68 años de edad, es referido al Instituto de Diagnostico Maxilofacial (IDM) para evaluación imagenologica por presentar molestias a nivel de la articulación

En 1978 La Academia Americana de Odontopediatría introdujo el término “Nursing Bottle Caries” para definir una forma severa de caries asociada al uso prolongado del

Paciente masculino de 55 años de edad que es referido para el estudio imagenológico a consecuencia de un leve dolor a nivel del maxilar superior

Durante las últimas décadas, el desarrollo de las técnicas no invasivas de imágenes ha permitido la visualización sin precedentes de las estructuras anatómicas de la

Paciente femenino, 67 años de edad acude a Imágenes Digitales (COREF) en Santo Domingo para evaluación tomográfica de la zona del paladar, debido a que

Las enfermedades cardiovasculares (ECV) abarcan un conjunto de afecciones que incluyen: la fiebre reumática / cardiopatía reumática, enfermedades hipertensivas, enfermedades cardíacas isquémicas (coronaria), enfermedad cardíaca

El éxito del tratamiento de las reducciones de fracturas de los huesos del macizo craneofacial así como la disminución de la morbilidad posoperatoria. Para un

Paciente masculino, 13 años de edad es referido al Instituto de Diagnóstico Maxilofacial (IDM) para evaluación general y por leve molestias en el sector ántero
© Copyright 2025