En 1978 La Academia Americana de Odontopediatría introdujo el término “Nursing Bottle Caries” para definir una forma severa de caries asociada al uso prolongado del biberón. La caries de infancia temprana afecta a un gran número de dientes, es de rápida evolución, ocasiona extensa destrucción coronaria, afecta superficies dentales consideradas de bajo riesgo; y es probablemente una de las condiciones más graves y costosas en la salud de los infantes. Los estudios de prevalencia a nivel mundial han mostrado cifras variables, hasta el 15% en países desarrollados, pero en países en vías de desarrollo, como el nuestro, estas cifras ascienden al 70%, De acuerdo algunos estudios la prevalencia de caries de infancia temprana en el Perú oscila entre 31.5% y 93%.
La terminología de la enfermedad es variable y para llegar a un consenso general, el Centro de Prevención y Control de Enfermedades de Estados Unidos (CDC por sus siglas en inglés), promovió una conferencia en Atlanta, en el año 1994, en la cual se recomendó el uso del término Early Childhood Caries (ECC) o Caries de Infancia Temprana (CIT) por ser el que mejor refleja la etiología multifactorial de la enfermedad.
ETIOLOGÍA Y FACTORES DE RIESGO
La característica de la etiología de la caries de infancia temprana, radica en la influencia de factores únicos en los infantes, relacionados a la implantación temprana de los microorganismos cariogénicos, a la inmadurez del sistema de defensa del huésped, así como a los patrones del comportamiento asociados a la alimentación y la deficiente higiene oral en los infantes. Los factores socioculturales presentan una marcada influencia en la instauración, progresión y severidad de la enfermedad; adicionalmente, ciertos condicionantes externos, como la conducta del niño, el nivel de conocimiento y actitud de los padres, malnutrición y la presencia de enfermedades crónicas o procesos infecciosos específicos como la otitis, se han relacionado con un mayor riesgo de caries dental en infantes.
CLINICA
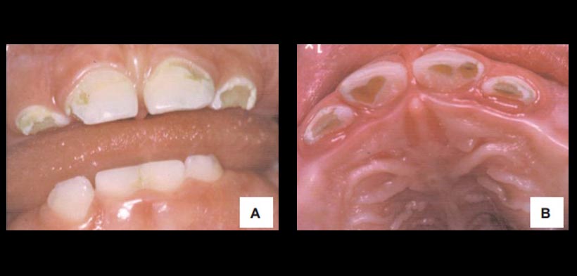
La caries de infancia temprana inicialmente se desarrolla en superficies lisas, progresando rápidamente y produciendo un grave impacto en la dentición. El esmalte de los dientes deciduos tiene un grosor y calcificación menor que el de los dientes permanentes, lo cual favorece el rápido avance de las lesiones. Las piezas dentarias deciduas más afectadas son: los incisivos antero-superiores, porque son los primeros en erupcionar, además de estar más expuestos a los azúcares de la leche y/o a los alimentos que consumen los niños cuando son alimentados con biberón o leche materna. Las lesiones presentan un patrón simétrico (derecha a izquierda y superior e inferior), con excepción de los incisivos inferiores, ya que se encuentran protegidos por la lengua. Existe una clasificación para ver el grado de severidad de la CIT (ver tabla 1)
A pesar de la actual reducción global de los índices de caries, la enfermedad es aún un problema en países en vías de desarrollo como el nuestro. La colonización precoz porSreptococcus mutans a la cavidad bucal, asociada a una dieta rica en carbohidratos fermentable, prácticas inadecuadas de alimentación e higiene bucal, así como la inmadurez del sistema de defensa del huésped, son factores primordiales para la instalación de caries de infancia temprana. Es importante hacer una evaluación del riesgo de caries, y esta debe incluir factores sociales, actitudinales, microbiológicos, ambientales y clínicos, para tener éxito en la reducción de su prevalencia. A pesar del gran avance en el conocimiento de la CIT en los últimos años, aún se necesita un trabajo importante para entender mejor los factores biológicos y socio-demográficos, con el fin de determinar las estrategias de prevención para el tratamiento de esta enfermedad.
Tabla1. Clasificación de la caries de infancia temprana.
Fig. 1. Caries de infancia temprana: A) Estadio moderado: alteración temprana de las superficies lisas vestibulares de los dientes antero- superiores, manteniéndose sanos los inferiores. B) aspecto de la superficie palatina.
Fig. 2. Caries de infancia temprana: estadio avanzado.
REFERENCIA:
Dos Santos Junior et al. Early childhood caries and its relationship with perinatal, socioeconomic and nutritional risks: a cross-sectional study BMC Oral Health 2014, 14:47.
Achahui A, Albinagorta M, Arauzo S, Cadenillas A, Céspedes G, Cigüeñas P, et al. Early Childhood Caries: diagnosis and identification of risk factors. Odontol Pediat. 2014; 13(2): 119-137.
Elaborado por : C.D. Luis Alberto Cueva Principe, Mg. Esp. C.D. Andrés Agurto Huerta





