El éxito del tratamiento de las reducciones de fracturas de los huesos del macizo craneofacial así como la disminución de la morbilidad posoperatoria. Para un paciente ambulatorio con sospecha de fracturas mandibulares una combinación de una radiografía panorámica junto a otras radiografías convencionales con diversas proyecciones permite una evaluación aceptable de las fracturas simples. Con los avances significativos en las modalidades de diagnóstico, La tomografía computarizada (CT) es el gold estándar para evaluar el esqueleto maxilofacial, en particular la región del tercio medio facial.
Las fracturas del ángulo, rama o cóndilo mandibular; una tomografía computarizada de haz cónico proporciona información adicional más útil que las radiografías convencionales. Sin embargo, en los centros de trauma, la TC se prefiere usarla para evaluar estructuras óseas faciales en las cuales se sospecha fractura conminuta o fracturas en el tercio medio o superior facial.
El diagnóstico preciso de las fracturas maxilofaciales requiere la evaluación radiográfica sistemática y organizada de cada estructura. Los diferentes cortes maxilofaciales que nos da la tomografía nos permite ver en los tres planos del espacio las estructuras anatómicas así como los trazos de fracturas que pudiesen existir, sobre todo aquellas que no son desplazadas.
Las fracturas no solamente pueden afectar a la estructura ósea que recibe el trauma, sino que se puede extender a otras áreas como un efecto secundaria del trauma primario. El estudio realizado por Simonds et al. sirve como un excelente ejemplo de la asociación entre las fracturas aisladas de la pared posterior del seno maxilar y fracturas mandibulares. Estos autores propusieron un mecanismo en el que la fractura del proceso coronoides desplazado en posición anteromedial perfora la pared del seno maxilar posterior, que es, probablemente, concomitante a la fractura mandibular. Sin embargo, el patrón y la etiología de las fracturas mandibulares asociados no se caracterizan completamente.
Además de los daños al seno maxilar, la apófisis pterigoides puede verse afectada también por las fracturas mandibulares, en especial la placa lateral, con un patrón característico. Aunque estas dos estructuras óseas se fracturan comúnmente en las principales fracturas del tercio medio facial que implican el cuerpo del maxilar o de complejo cigomaticomaxilar, fracturas de estas estructuras sin las grandes fracturas del tercio medio facial han recibido escasa documentación porque no hay indicaciones para la fijación de las fracturas en su lugar.
Cuando se produce un trauma mandibular es altamente probable que también exista alguna afección en la pared posterior del seno maxilar y a la apófisis pterigoides (placa lateral) elementos que corresponden a la fosa infratemporal, por el cual se necesita hacer una relación de ambas estructuras en el proceso de diagnóstico de fracturas por traumatismo craneofacial. Se sugiere realizar mayores investigaciones para validar mejor dicha relación. Por otro lado la tomografía cone beam, es el examen auxiliar de elección para el diagnóstico de fracturas post trauma craneofacial por su alta sensibilidad.
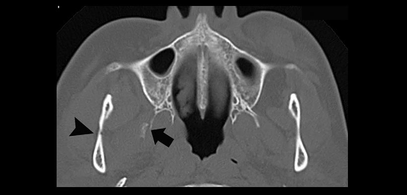
Figura 1. Fracturas típicas mandibulares con desplazamiento acompañado de una fractura del maxilar posterior en un paciente de 64 años de edad que sufrió una caída de escalera. Esto muestra las fracturas de la placa pterigoides, placa lateral (flecha) y de la mandíbula (punta de flecha).
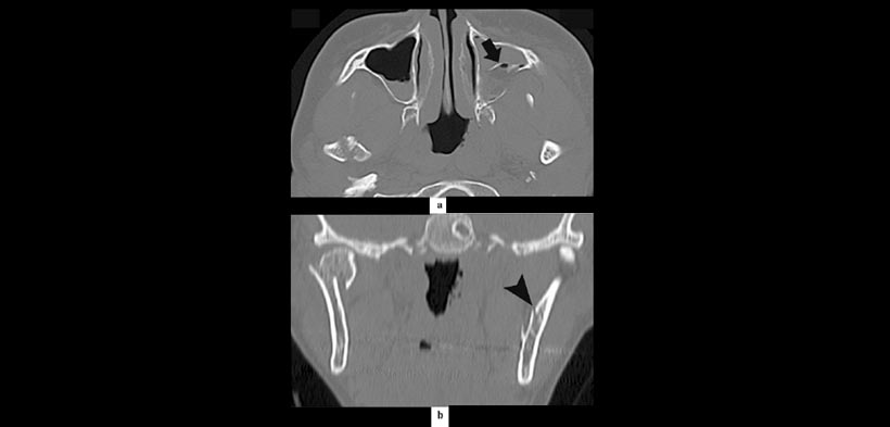
Figura 2. Patrón atípico de una fractura mandibular acompañado de una fractura maxilar posterior en un paciente de 29 años de edad involucrado en un accidente automovilístico. (a) muestra la fractura de la pared posterior del seno maxilar (flecha). (b) fractura sin desplazamiento en la rama mandibular asociados a la fractura anterior (punta de flecha).
Figura 3. Compromiso de la vía aérea debido a los tejidos inflamados parafaríngeas en un paciente de 36 años de edad. (a) Muestra fractura de la pared del seno maxilar y la placa lateral de la pterigoides (flecha) y (b) muestra fractura en el ángulo mandibular (punta de flecha).
Figura 4. Modelo propuesto del probable mecanismo de acción de fracturas maxilares posteriores. Fuerza lateral se producen en la mandíbula al momento del trauma (flechas) y se produce un desplazamiento en sentido medial del proceso coronoides y puede inducir fracturas maxilares posteriores y de la apófisis pterigoides simultáneamente con subluxación transitoria o la rotación de la articulación temporomandibular.
REFERENCIA:
Imai T, Sukegawa S, Kanno T, Fujita G, Yamamoto N, Furuki Y, et al. Mandibular fracture patterns consistent with posterior maxillary fractures involving the posterior maxillary sinus, pterygoid plate or both: CT characteristics. Dentomaxillofacial Radiology (2014) 43, 20130355.
Elaborado por : C.D. Luis Alberto Cueva Principe, Mg. Esp. C.D. Andrés Agurto Huerta






