Las enfermedades cardiovasculares (ECV) abarcan un conjunto de afecciones que incluyen: la fiebre reumática / cardiopatía reumática, enfermedades hipertensivas, enfermedades cardíacas isquémicas (coronaria), enfermedad cardíaca pulmonar, enfermedades de la circulación pulmonar, enfermedad cerebrovascular (apoplejía), la aterosclerosis, otras enfermedades de las arterias, arteriolas y capilares. Es de interés la aterosclerosis (depósitos de grasa en las paredes de las arterias) ya que es la causa subyacente de la mayoría de los eventos cardiovasculares que muchas veces es una de las causas de mortalidad súbita.
Las enfermedades periodontales abarcan principalmente a la gingivitis y la periodontitis. Estas enfermedades inflamatorias implican la afección de tejidos blandos y duros que rodean y soportan los dientes en la boca.
MECANISMOS DE ASOCIACIÓN
Los principales mecanismos de asociación entre la enfermedad periodontal y la enfermedad cardiovascular se mencionan en la tabla 1.
ROL DE LAS BACTERIAS BUCALES EN LA ENFERMEDAD CARDIOVASCULAR
La cavidad oral de un recién nacido no contiene bacterias. Es sólo después de algún tiempo que es rápidamente colonizado por microorganismos, la cavidad oral acoge a más de mil millones de bacterias, la región en la cavidad oral con la más alta saturación de la flora microbiana es la bolsa periodontal. La flora microbiana tiene acceso anatómica cerca de la vasculatura del periodonto, contribuyendo así a la difusión extra-oral de bacterias a sitios como el corazón. En la periodontitis, no es la dilatación de la vasculatura periodontal y un aumento en el área superficial vascular, que promueve la bacteriemia, sino son los patógenos bacterianos los que entran en el torrente sanguíneo se adhieren al endotelio, a partir de una cadena de eventos que comienzan con la disfunción endotelial, progresando a la inflamación y finalmente llega a la aterosclerosis.
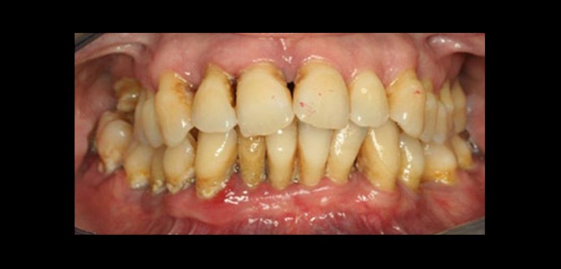
La bacteriemia durante el curso de la infección oral puede resultar en la invasión bacteriana de la vasculatura endotelial, Se ha demostrado que las cepas de Porphyromonas gingivalisdesencadenan la absorción endotelial a través de los macrófagos para estimular la formación de células de espuma en presencia de LDL. Varias cepas de bacterias orales incluyendo Streptococcus mutans, Streptococcus sanguinis, Aggregatibacter actinomycetemcomitans y P. gingivalis se han encontrado en las muestras de pacientes que tenían válvulas cardiacas. Algunos estudios también han demostrado que el aumento de los anticuerpos a bacterias implicadas en la periodontitis está presente en pacientes con enfermedades cardiovasculares (fig1).
La salud periodontal está vinculada de una forma directa a las enfermedades cardiovasculares (ECV), en específico a la ateroesclerosis, esto significa que si existe un deterioro de la salud periodontal como una gingivitis o peor aún una periodontitis, existe un alto factor de riesgo a futuros eventos cardiovasculares que pueden comprometer la vida del paciente. Los estudios han demostrado que ese riesgo se ve aumento en una 20% en pacientes que sufren periodontitis.
Tabla 1. Principales mecanismos de asociación entre la enfermedad periodontal y la enfermedad cardiovascular.
Figura1. Paciente que padece de periodontitis crónica, en la cual existen bolsas periodontales, recesión gingival y mineralización de la placa dental. Se evidencia la gingiva eritematosa muestra de una mayor vasculatura, existe una alta probabilidad de que las bacterias orales y sus productos metabólicos afectan directamente el endotelio mediante la estimulación de la formación de placas ateroscleróticas.
REFERENCIA:
Amehd U, Tanwir F. Association of periodontal pathogenesis and cardiovascular diseases: A literature review. Oral health Prev Dent. 2015; 13: 21-27
Elaborado por : C.D. Luis Alberto Cueva Principe, Mg. Esp. C.D. Andrés Agurto Huerta




