La anquiloglosia, comúnmente llamada “lengua de corbata”, es una anomalía congénita caracterizada por un frenillo lingual corto, que puede llegar a restringir la movilidad de la lengua (Lalakea y Messner, 2003). La anquiloglosia puede estar asociada a síndromes, pero comúnmente tiene una presentación no sindrómica con una incidencia de hasta el 10%. Hay mucha controversia con respecto a esta condición., a continuación las mencionaremos:
- Existe diferencia de opinión en cuanto a su definición, significación clínica, necesidad de la intervención quirúrgica y el tiempo de tratamiento. Los otorrinolaringólogos, cirujanos maxilofaciales, pediatras, logopedas y otros profesionales tienen diferentes opiniones de voz en relación con los diversos aspectos de la anquiloglosia (Messner y Lalakea, 2000; Lalakea y Messner, 2003).
- La condición varía según el grado de severidad (Jang et al, 2011). Las consecuencias clínicas de anquiloglosia incluyen dificultades de lactancia en infantes, trastornos del habla, diversos problemas mecánicos y sociales relacionados con la movilidad restringida de la lengua (Fletcher y Meldrum, 1968; Horton et al, 1969; Messner y Lalakea, 2000).
- En la anquiloglosia, la postura de la lengua puede ejercer una presión hacia adelante y hacia abajo en la mandíbula con diferentes consecuencias para el desarrollo facial (Fletcher y Meldrum, 2000). Varios informes clínicos sugieren que anquiloglosia puede producir mordida y protrusión mandibular, maloclusiones como mordida abierta anterior (Tuerk y Lubit, 1959; Whitman y Rankow, 1961; Horton et al, 1969).
- Existen factores asociados con la anquiloglosia incluyendo hendiduras mandibulares, úvula bífida cartílago tiroides subdesarrollado. También se ha observado junto con síndromes como el síndrome de paladar hendido ligada al cromosoma X, el síndrome de Kindler, Vander Woude y el síndrome de Opitz.
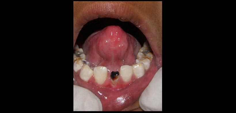
- Una variante muy rara es la anquiloglosia en el cual existe fusión del frenillo lingual con el frenillo labial mandibular, esta entidad se ha reportado en un niño asociado con oligodoncia de la dentición molar temporal. En el presente caso, anquiloglosia se asoció con anodoncia parcial del sector de los dientes permanentes del sector antero inferior.
SEVERIDAD: la clasificación de Kotlow (1999):
- Clínicamente aceptable, rango normal de libre movimiento de la lengua: mayor que 16 mm
- Clase I: anquiloglosia leve, 12 a 16 mm
- Clase II: anquiloglosia moderada, de 8 a 11 mm
- Clase III: anquiloglosia severa, 3 a 7 mm
- Clase IV: anquiloglosia completa, a menos de 3 mm.
La anquiloglosia es la restricción de movimiento de la lengua debido a una anomalía congénita en el frenillo lingual, es necesario saber la etiología, las implicancias clínicas y alternativas de tratamiento de esta afección para su adecuado manejo. Se presenta un caso de un tipo inusual de anquiloglosia que no puede ser clasificado utilizando el sistema de clasificación actual de anquiloglosia, en el que sólo la punta de la lengua se fusiona con el frenillo labial del arco mandibular y se asocia con la falta de dientes permanentes en el sector antero inferior, se sugiere mayores estudios de correlacion con respecto a la perdida prematura de dientes o ausencia congénita de dientes en el sector antero inferior y la posible causa de que puedan agravar la anquiloglosia.
Fig. 1. Anquiloglosia; fusión de la punta de la lengua con el frenillo bucal en un paciente pediátrico con oligodoncia de los incisivos anteroinferiores.
Fig. 2. La radiografía panorámica muestra la falta incisivos centrales inferiores y el incisivo lateral izquierdo.
Fig. 3. Postquirúrgico del tratamiento de frenillo lingual.
REFERENCIA:
Chandrashekar L, Kashinath R, Suhas S. Labial Ankyloglossia Associated with Oligodontia: A Case Report. Journal of Dentistry. 2014; 11(4): 481-484.
Elaborado por : C.D. Luis Alberto Cueva Principe, Mg. Esp. C.D. Andrés Agurto Huerta





